2402胸部影像病例︱持续追踪的一个患者,时间轴较长,闭卷分析,请畅所欲言~~~
女性,57岁
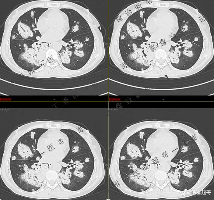
主 诉:发热伴咳嗽咳痰1周
现病史:1周前患者无明显原因及诱因出现发热,最高体温39.0℃,伴咳嗽后胸痛及全身酸痛,伴咳嗽,流涕,伴痰中带有血丝,鲜红色,无背板、头晕、头痛、恶心、呕吐,患者未就诊于医院,行“川贝止咳”,未服用抗生素,后于1天前就诊于我院门诊,现为行进一步治疗,入住我科,患者自起病以来,精神饮食可,大小便正常。
既往史:既往体健,否认高血压、糖尿病、心脑血管病等疾病史,否认肝炎、结核或其他传染病史及密切接触史,预防接种史:新型冠状病毒疫苗接种史,否认药物及食物过敏史,否认外伤史,否认手术史,否认输血史,其它无特殊。
个人史:生于原籍,否认冶游史,无职业及毒物暴露史,否认吸烟饮酒史。@丁香影像频道



















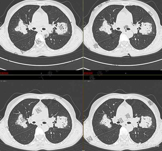
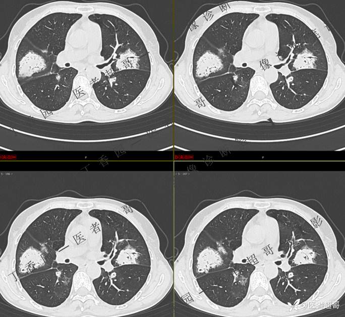
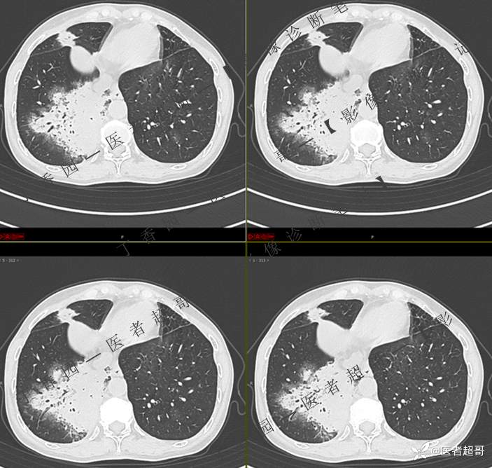
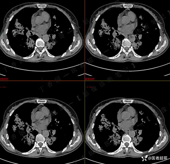
临床治疗一周后复查





进一步做了相关实验室检查







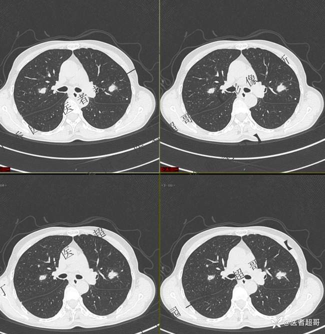
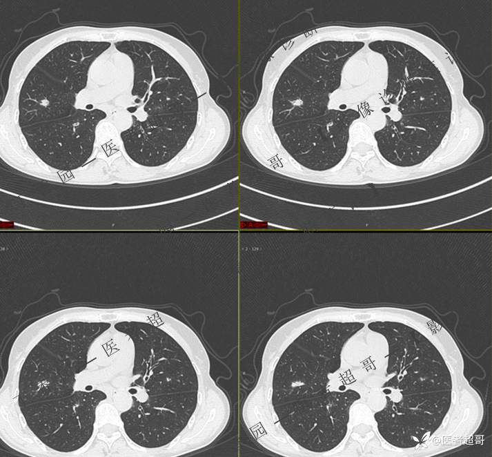
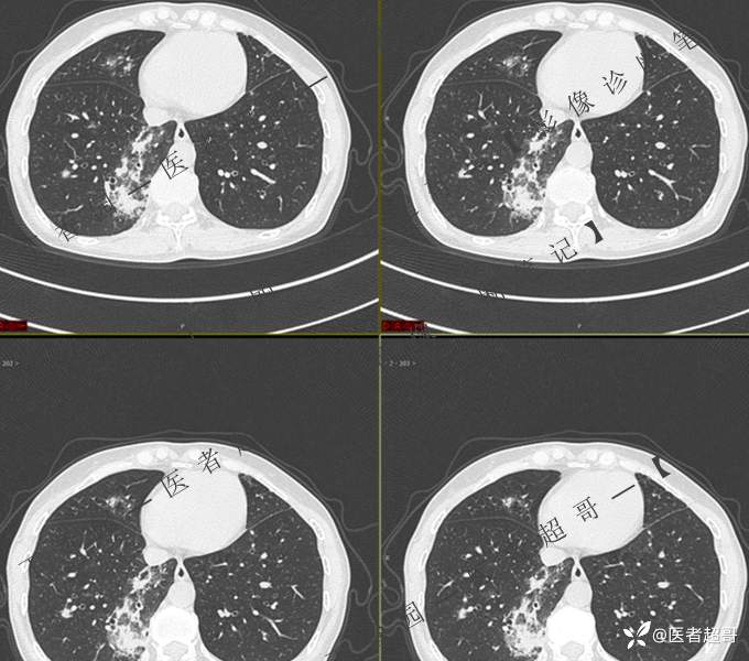
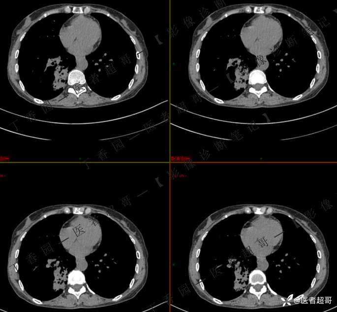
第一次检查

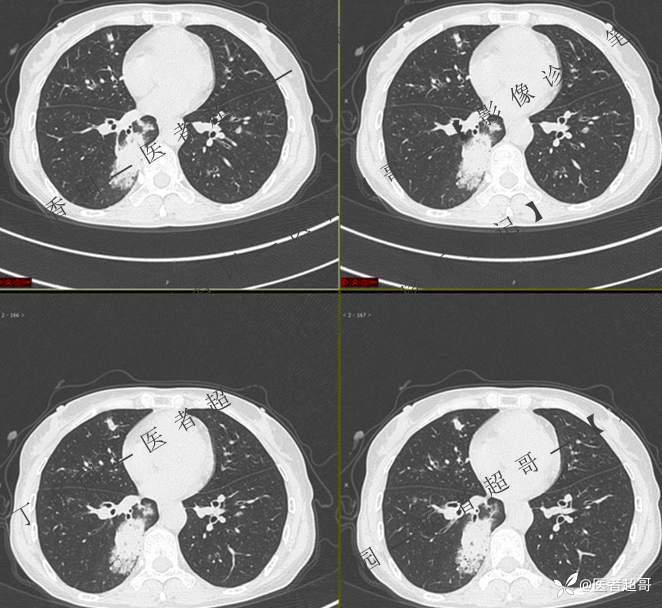
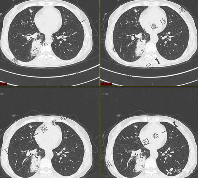
第二次检查

















































