dxy logo
首页丁香园病例库全部版块
搜索
登录

2402胸部影像病例︱疑难病例讨论,有病理结果!

影像核医学版版主 · 最后编辑于 2024-02-23 · IP 山东山东
3209 浏览
丁香风云榜、推荐 等 3 项荣誉
这个帖子发布于 1 年零 228 天前,其中的信息可能已发生改变或有所发展。

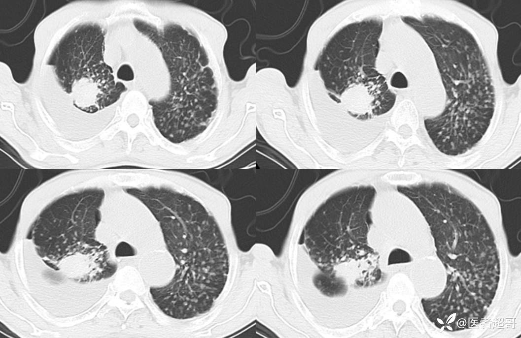
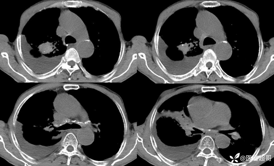
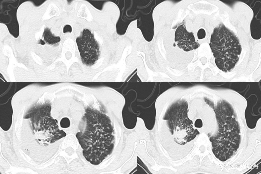
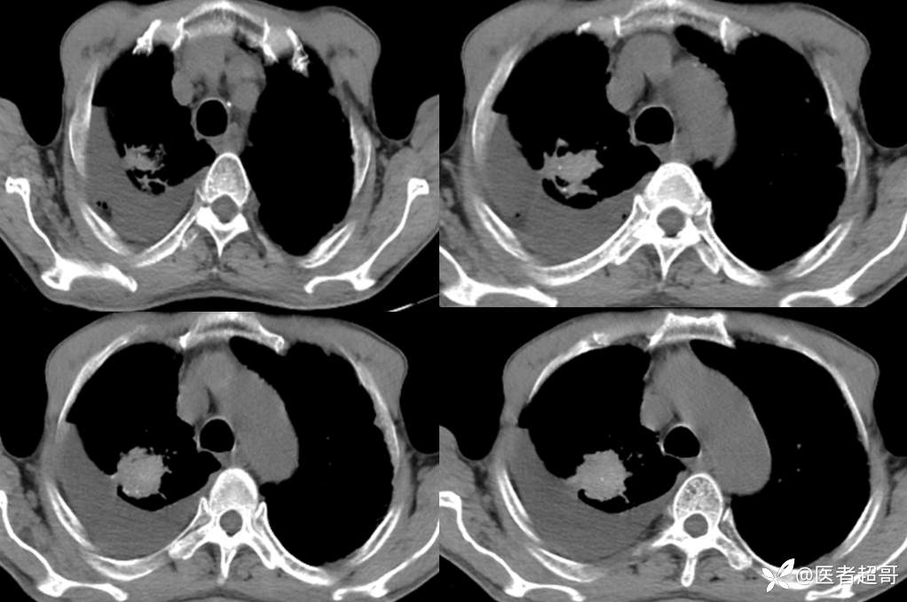
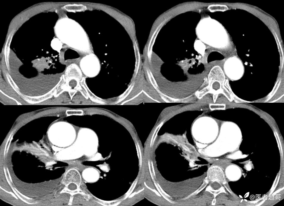
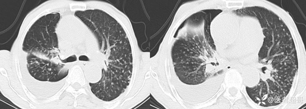
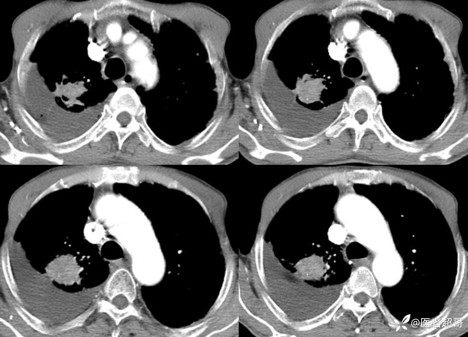
患者,男,72岁,农民,于2021年05月26日17时20分因"发作性精神行为异常10+天"入院。@丁香影像频道

img
img
img
img
img
img
img
img
肺炎支原体肺炎 (105)
纠错
48 3 30
同行评议(0)
已评议
不开通精选
开通精选
精选已授权,待上线
评议结果暂未公布
参与评议
去邀请
NaN
病例完整NaN
临床实用NaN
诊疗科学NaN
学术价值NaN

全部讨论(0)

默认最新
avatar
48
分享帖子
share-weibo分享到微博
share-weibo分享到微信
认证
返回顶部