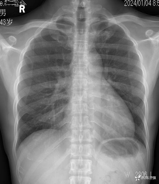
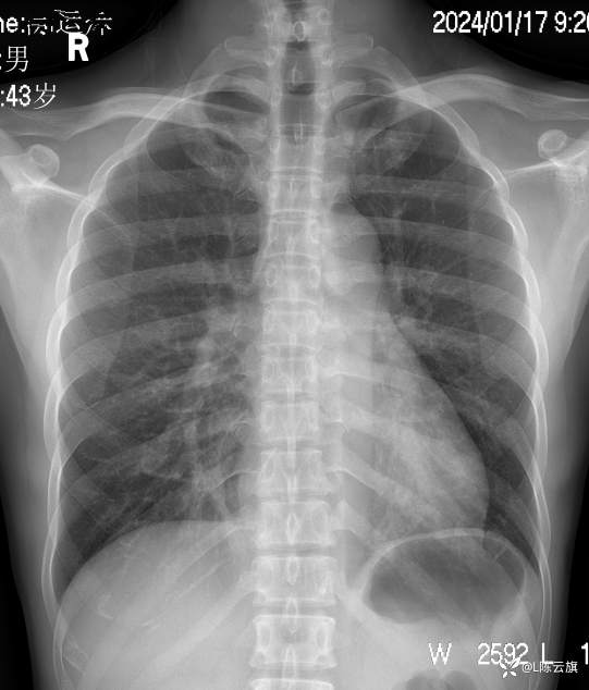
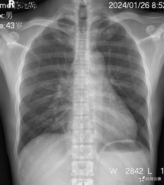
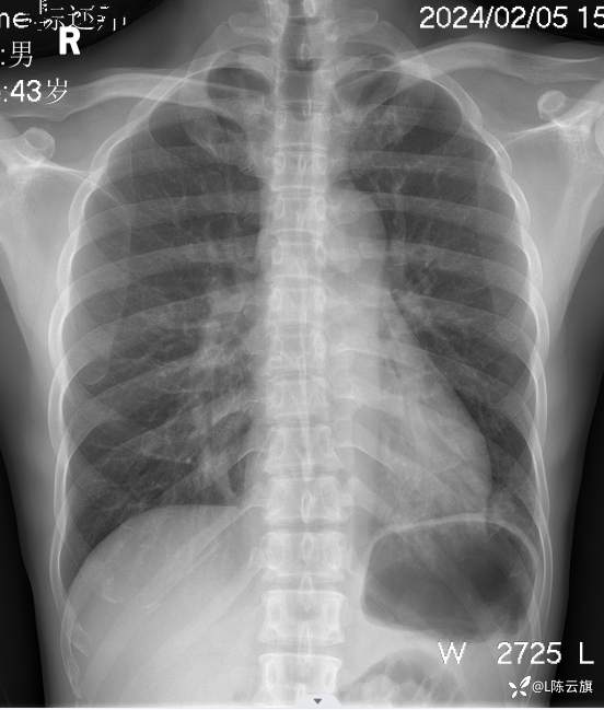
【2403胸部影像病例】 胸部平片你看到的这是什么基本病变?
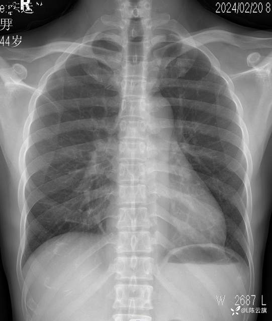
1、患者男,44岁,精神长期住院患者。近一年反复发热、咳嗽、咳痰,无其他症状。每次进行胸片检查发现肺部炎时,经治疗后病灶吸收,不久又复发。
2、是否可以试述一下病变在哪里?是什么基本病变吗?
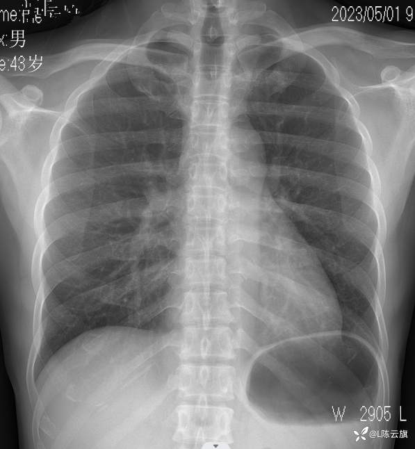
胸片1:

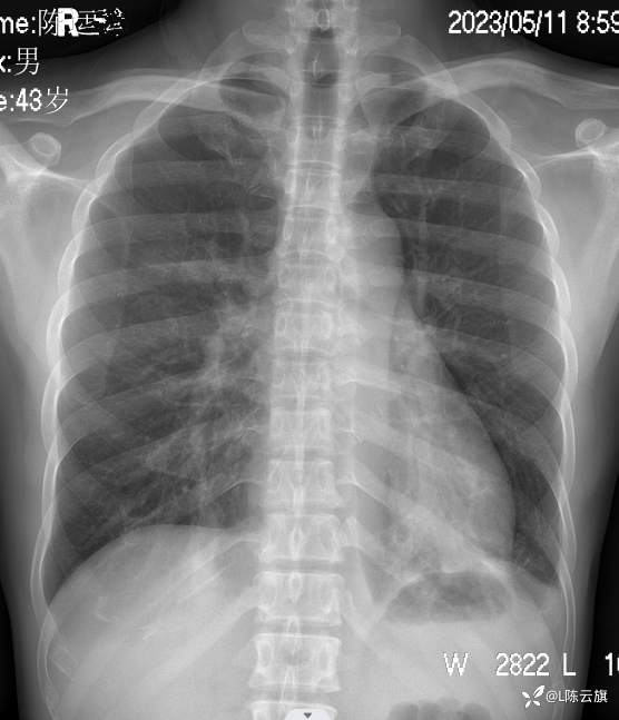
胸片2:

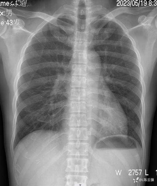
胸片3:

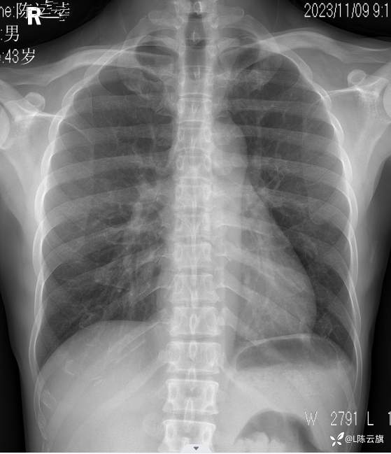
胸片4:

胸片5:

胸片6:

胸片7:

胸片8:

胸片9:

胸片10:

1、患者男,44岁,精神长期住院患者。近一年反复发热、咳嗽、咳痰,无其他症状。每次进行胸片检查发现肺部炎时,经治疗后病灶吸收,不久又复发。
2、是否可以试述一下病变在哪里?是什么基本病变吗?
胸片1:

胸片2:

胸片3:

胸片4:

胸片5:

胸片6:

胸片7:

胸片8:

胸片9:

胸片10:

