[2404胸部影像病例] 正侧位胸片所见 分别是什么基本病变?如何诊断?
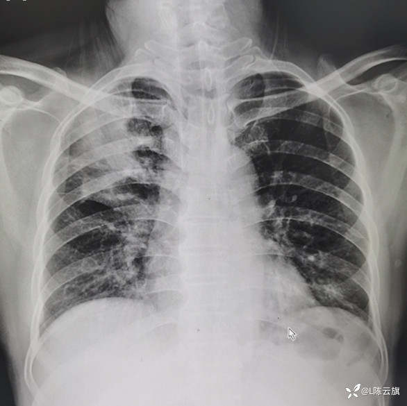
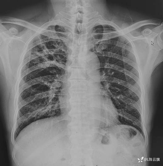
1、患者男,现在59岁,胸部正位片(一)是患者6年前以精神病收住院患者所照的胸片,当时的病史已不详;胸部正侧位片(二三)是现在新入院的照片,没有明确的呼吸道症状和病史!期间是否有过照片已查不到,但患者家属说未作过真正的系统治疗!
2、根据两次的胸片表现。你如何诊断?分别是什么基本病变?下周发布病变描述和CT图片!
3、结合CT所见结论是:①.6年前胸片(一)所见是 渗出性病变--平片表现 右上中肺野大片状密度不均阴影,两下肺野小量小斑点片状影;②.现在的胸片(二三)所见是 右上肺野较多量粗条索状密影,大部分边缘清楚,左下肺野小片阴影已消失,右下肺纹理明显增粗增强;③.CT片证实右上肺病变为纤维性病变,但仍有小部分边缘欠清;④.最后诊断为:右上肺结核大部分纤维硬结。
胸片(一)

胸片(二)

胸片(三)
















































