2404胸部影像病例|定性难定病更难,难度系数★★★★★
病例信息
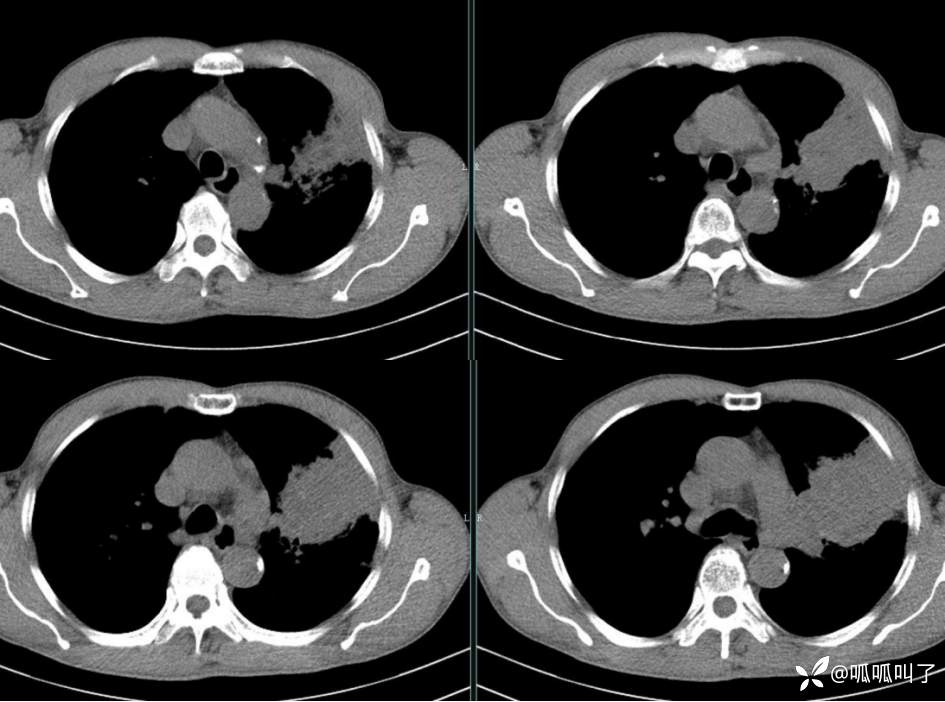
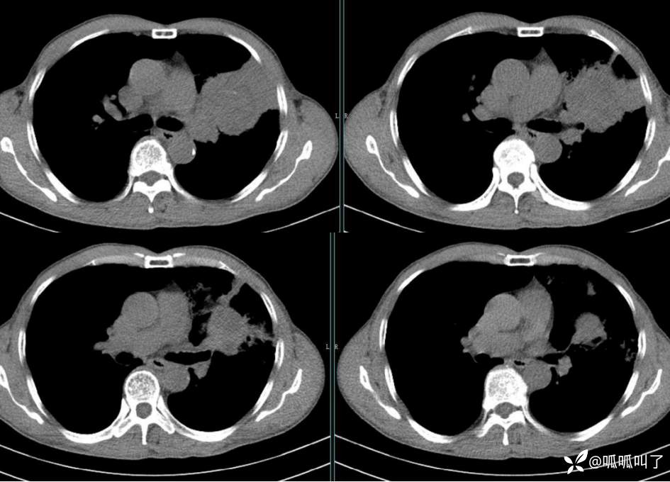
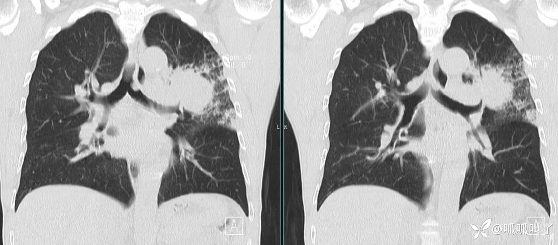
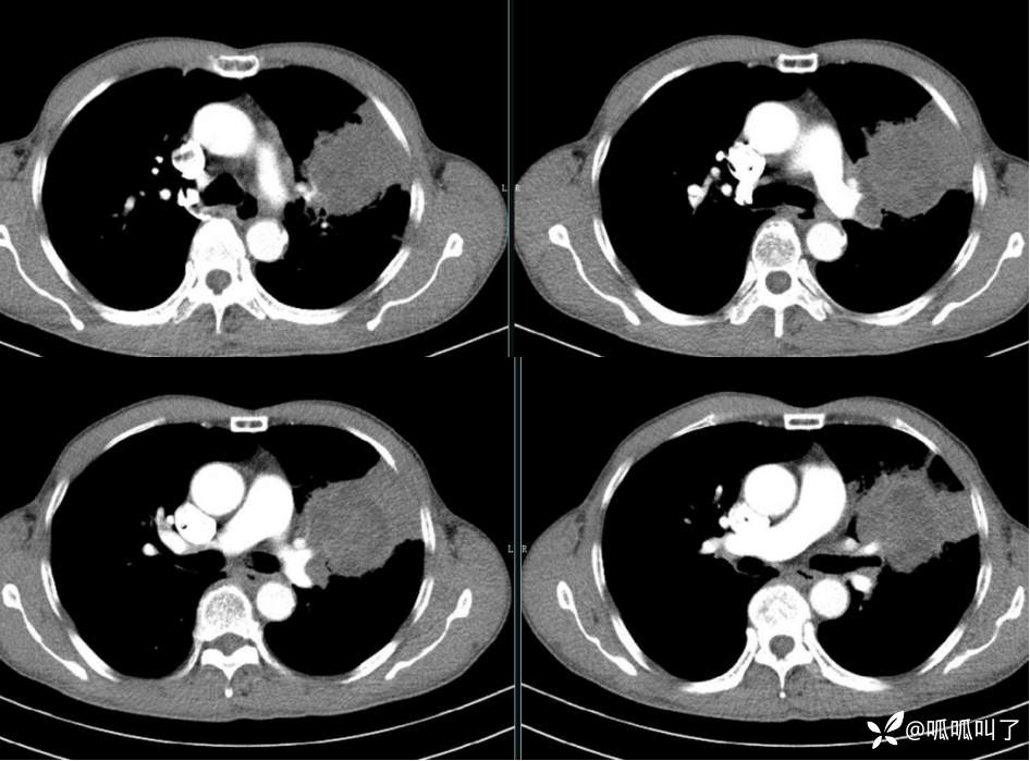
男性,57岁
主 诉:咳嗽、咳痰、左侧胸痛1周。
现病史:患者于1周前无明显诱因下开始出现咳嗽、咳痰,咳出黄白色粘痰,量较少,伴有左侧胸部疼痛,程度尚可忍受,无头晕、头痛,无畏寒、发热,无胸闷、心悸、呼吸困难,病后未特殊处理,至今未改善,遂今日来我院急诊科就诊,急诊科医师完善检查后拟"肺占位、肺炎"等收住我科。患者近3个月来精神、饮食、睡眠一般,体重未见明显下降。
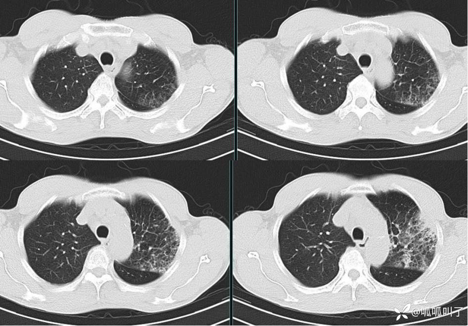
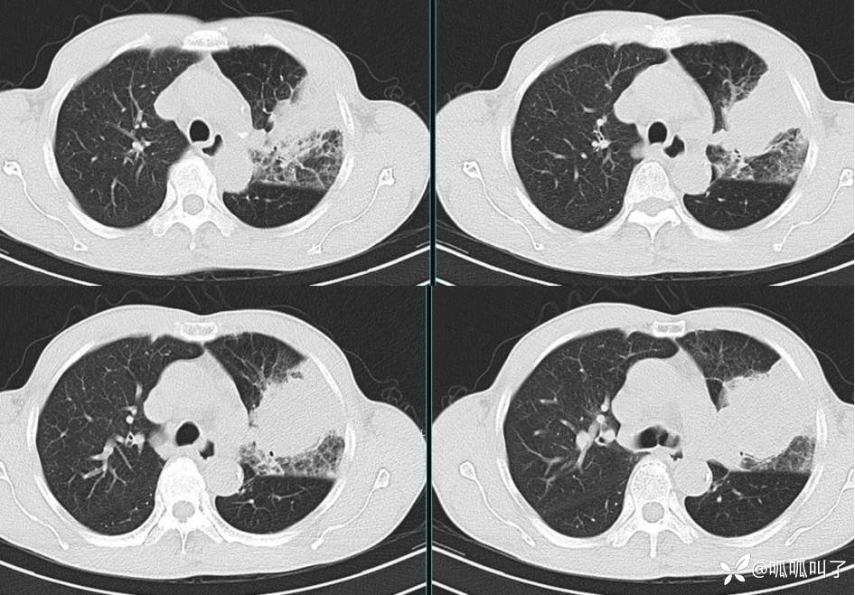
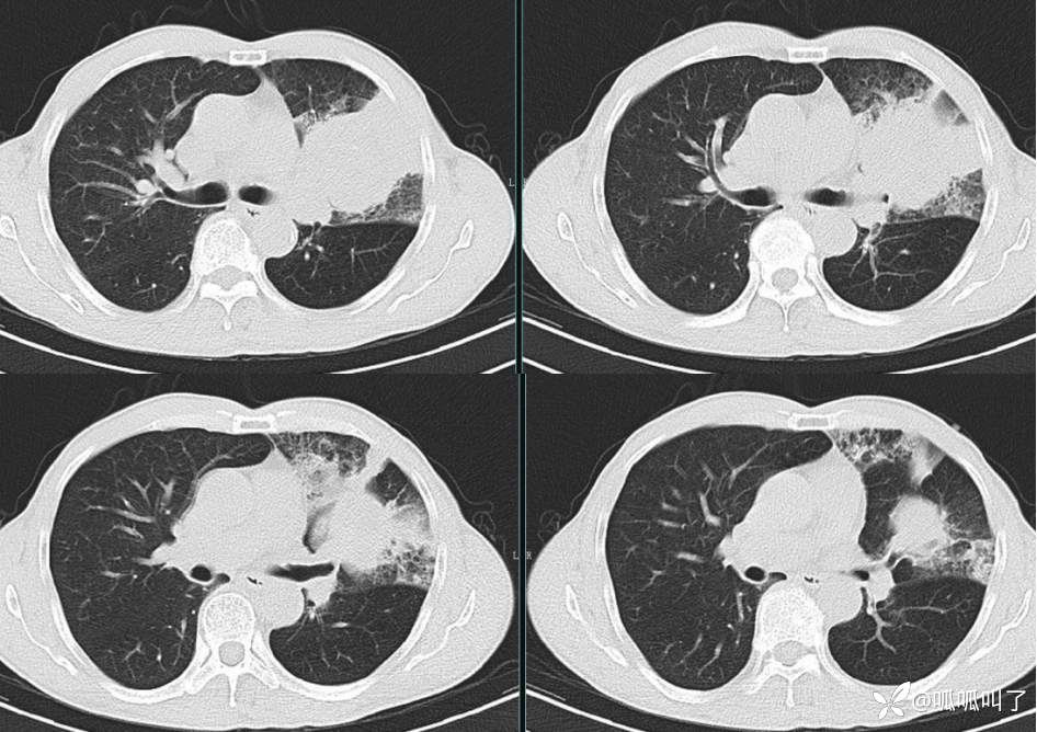
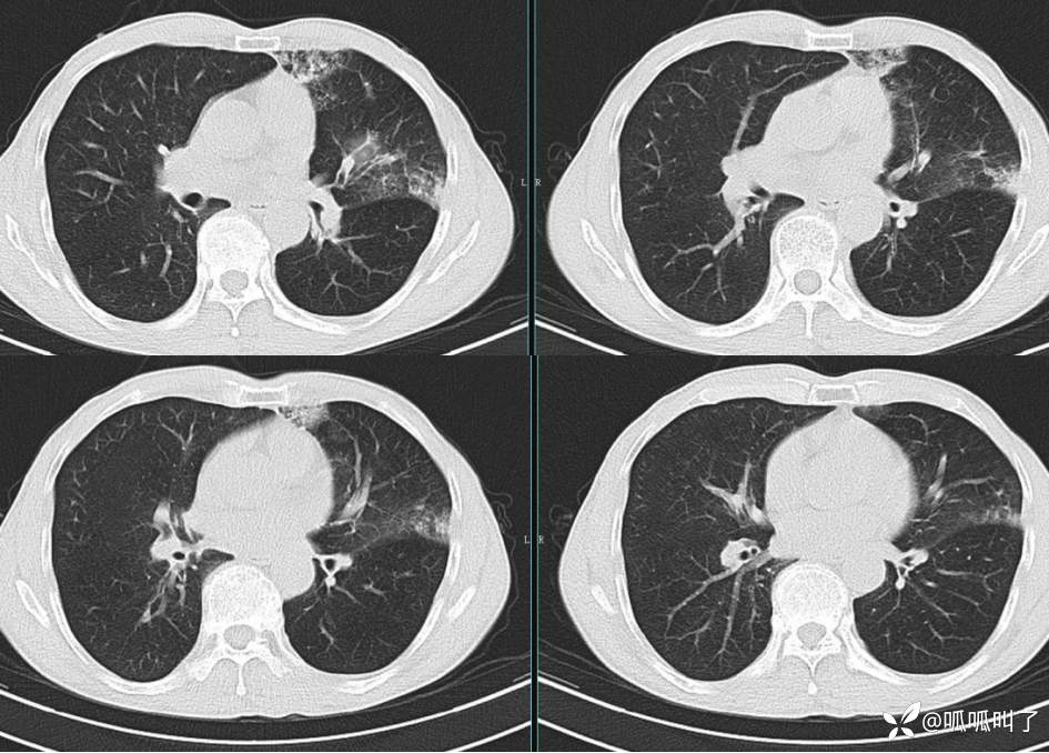
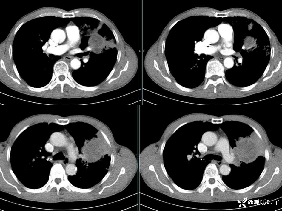
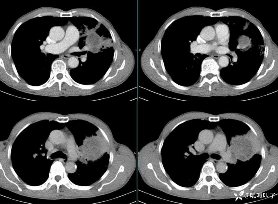
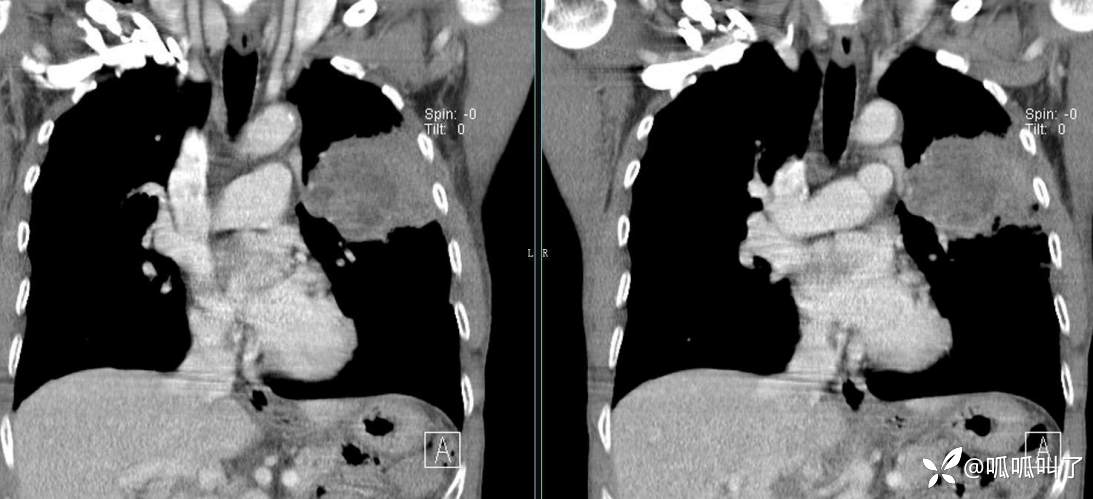
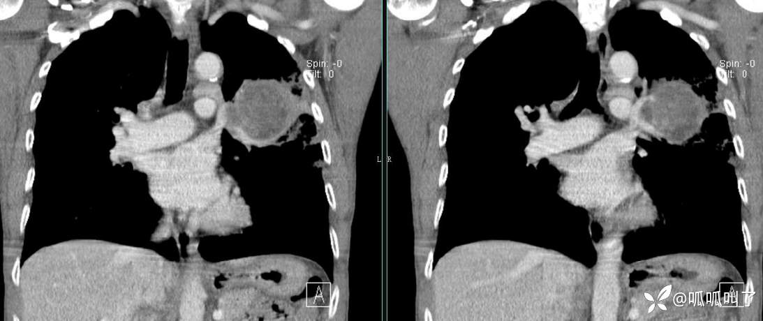
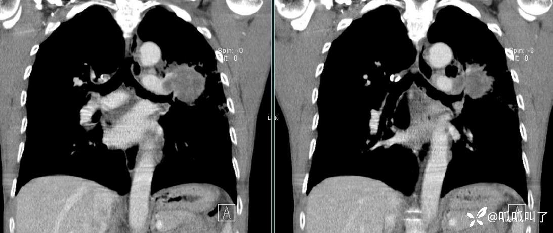
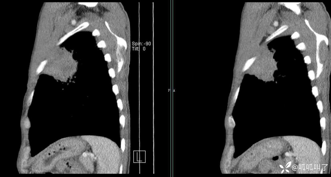
胸部CT平扫和增强:

















病例信息
男性,57岁
主 诉:咳嗽、咳痰、左侧胸痛1周。
现病史:患者于1周前无明显诱因下开始出现咳嗽、咳痰,咳出黄白色粘痰,量较少,伴有左侧胸部疼痛,程度尚可忍受,无头晕、头痛,无畏寒、发热,无胸闷、心悸、呼吸困难,病后未特殊处理,至今未改善,遂今日来我院急诊科就诊,急诊科医师完善检查后拟"肺占位、肺炎"等收住我科。患者近3个月来精神、饮食、睡眠一般,体重未见明显下降。
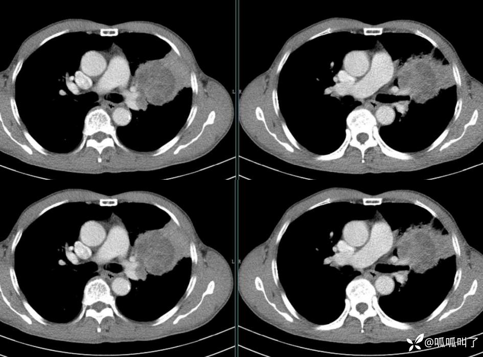
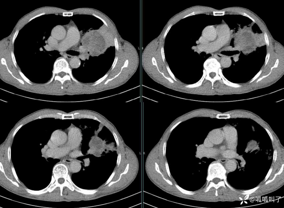
胸部CT平扫和增强:

















