dxy logo
首页丁香园病例库全部版块
搜索
登录

病例中年女性,头晕1年余。看看什么是软,什么是见缝钻---结果公布~

影像核医学版版主 · 发布于 2024-03-29 · IP 湖北湖北
1587 浏览
这个帖子发布于 1 年零 240 天前,其中的信息可能已发生改变或有所发展。

病例信息

性别:女

年龄:47岁

简要病史:头晕1年余,间断恶心不伴呕吐

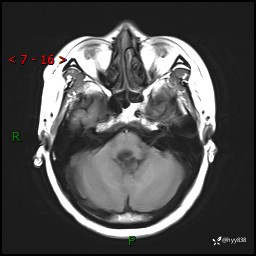
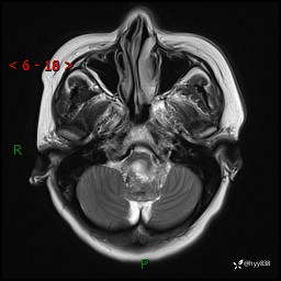
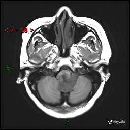
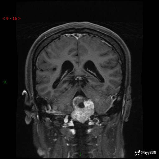
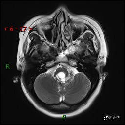
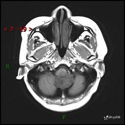
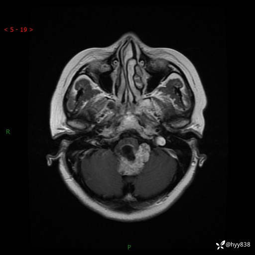
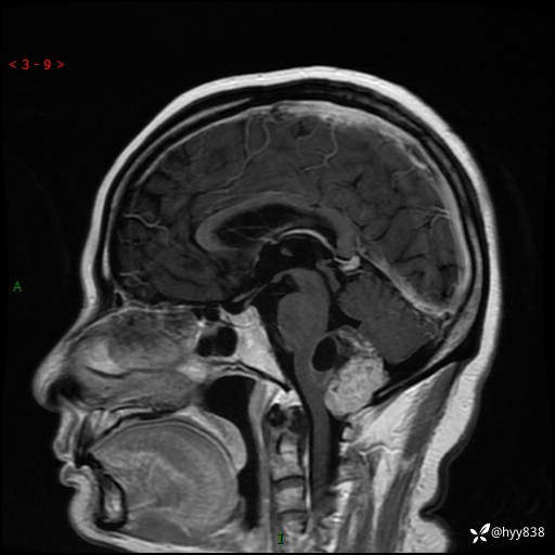
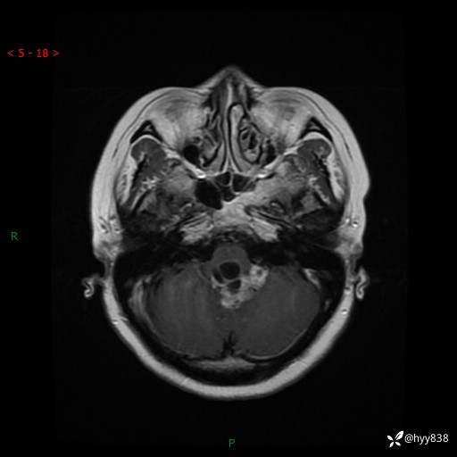
颅脑MRI平扫+DWI

img
img
img
img
img
img
img
img
img
img
img
img

增强(axi+cor+sag)

img
img
img
img
img
img
img
img
img

分析处理

轴内、轴外占位

治疗:手术

问题与讨论

病灶的影像特征

轴内或轴外肿瘤

该帖还没有疾病标签去添加
36 收藏12
同行评议(0)
已评议
不开通精选
开通精选
精选已授权,待上线
评议结果暂未公布
参与评议
去邀请
NaN
病例完整NaN
临床实用NaN
诊疗科学NaN
学术价值NaN

全部讨论(0)

默认最新
avatar
36
分享帖子
share-weibo分享到微博
share-weibo分享到微信
认证
返回顶部