dxy logo
首页丁香园病例库全部版块
搜索
登录

病例中年女性左下肺GGO,开还是不开?(有答案)

呼吸胸外版达人 · 发布于 2024-01-22 · IP 江苏江苏
3458 浏览
icon胡志勇HZY 等 2 位达人已点赞
这个帖子发布于 1 年零 307 天前,其中的信息可能已发生改变或有所发展。

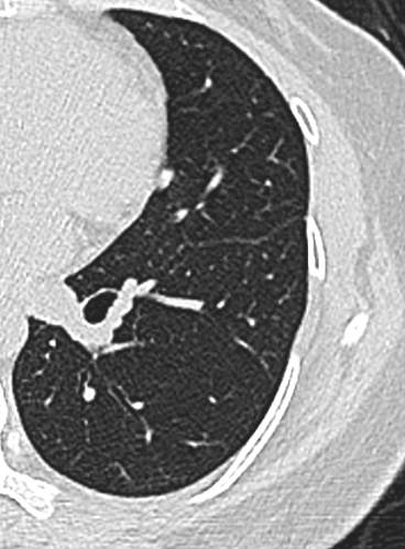
中年女性,既往体健。

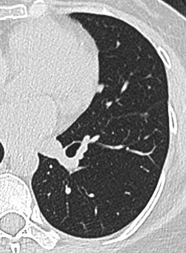
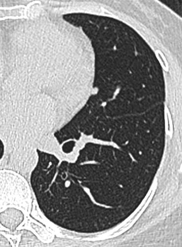
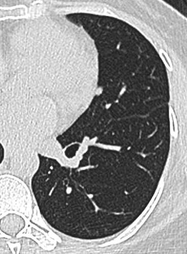
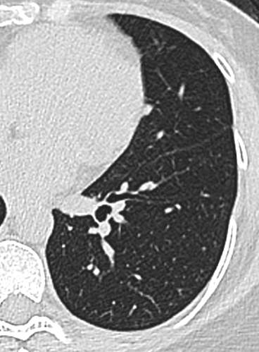
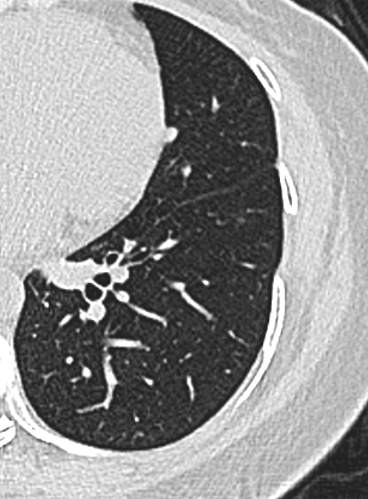
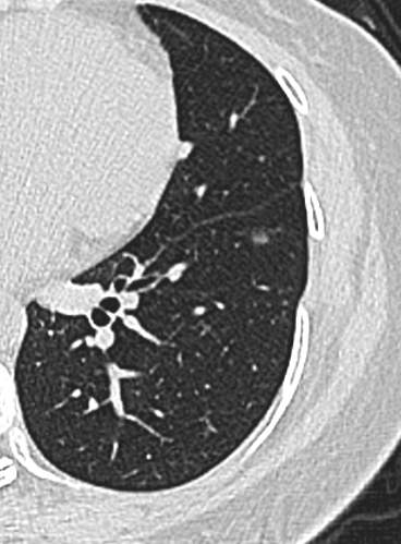
21年底左下肺,直径5.2mm:

img
img
img
img
img
img
img

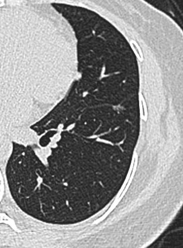
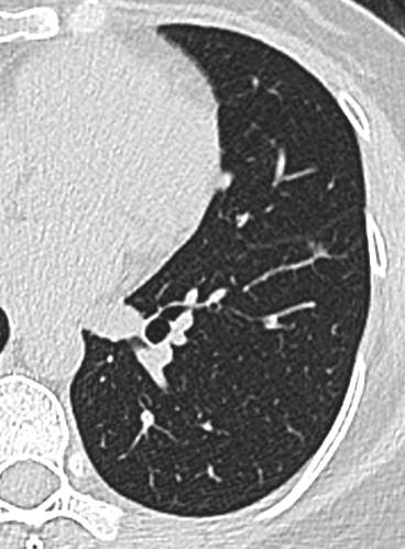
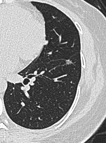
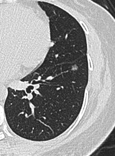
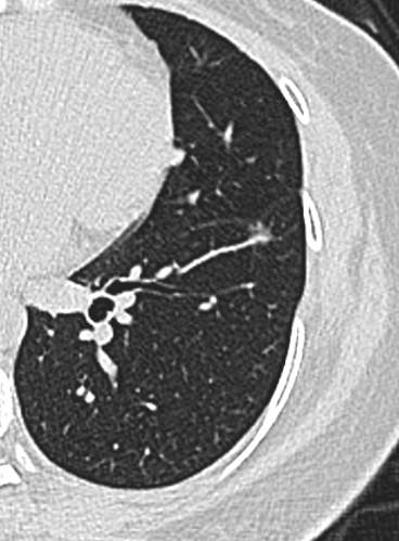
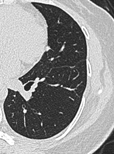
23年初复查CT左下肺GGO有所增大,直径:6.9mm

img
img
img
img
img
img
img
img

问题来了,一年多后复查GGO有增大,考虑恶性吗,需要手术吗,病理考虑什么?

肺磨玻璃样变 (24)
纠错
68 4 21
同行评议(0)
已评议
不开通精选
开通精选
精选已授权,待上线
评议结果暂未公布
参与评议
去邀请
NaN
病例完整NaN
临床实用NaN
诊疗科学NaN
学术价值NaN

全部讨论(0)

默认最新
avatar
68
分享帖子
share-weibo分享到微博
share-weibo分享到微信
认证
返回顶部