6月特别精彩病例|腹痛9天,加重3小时,呈持续性隐痛,期待你完美解析【病理已公布】
患者性别:女
患者年龄:22岁
简要病史:腹痛9天,加重3+小时,呈持续性隐痛,程度不剧,无畏寒、发热,无恶心不适,无腹泻,无阴道流血等
曾于当地医院就诊,予以口服抗生素 (具体不详) 治疗,共口服3天,症状未见缓解
辅助检查:
血常规:白细胞 9.99x109/L,中性粒细胞绝对值8.93x10^9/L,中性粒细胞百分数 89.40%,余 (一)
凝血常规检查:活化部分凝血活酶时间 21.9s;纤维蛋白原检测5.2g/L;余输血前四项、肝肾功能、电解质、随机血糖,降钙素原均正常
甲胎蛋白 28.69ng/ml,C-反应蛋白 59.50mg/L;AMH(抗缪勒管激素),HE4(人附睾蛋白4)、CA199、CEA、CA125、TSHHCG均正常
胸片:正常
心电图:窦性心动过速
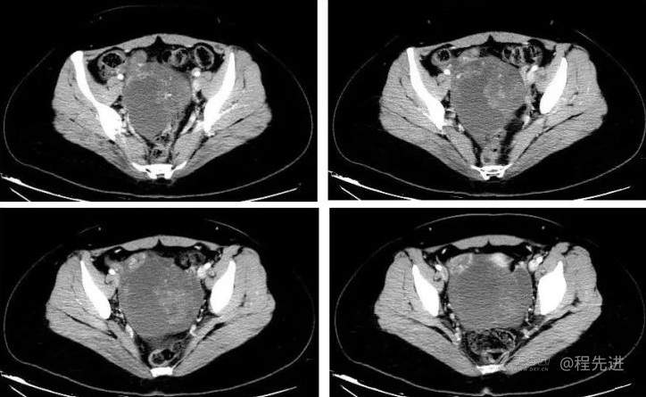
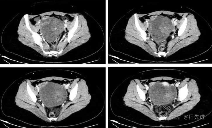
阴式彩超:子宫前位,大小47*51*28mm,形态规则内膜厚7mm。左侧类似卵巢大小32*27mm,右侧卵巢大小25*18mm,子宫偏右侧可见105*94*76mm混合回声包块,与右侧卵巢分界不清,有包膜,内以液暗区为主,夹杂可见范围约51*40mm不规则稍高回声团,隐约可见将类似左侧卵巢包裹其中。另子宫偏左侧可探及一大小38*32mm囊性肿块,边界清,壁薄光滑,内透声好,后壁效应增强。CDFI: 混合回声包块未见明显彩流。囊性肿块内未见明显血流信号。盆腔内子宫直肠窝探及23mm液暗区
提示:子宫偏右侧混合回声包块,疑占位性病变,炎性包块待排,子宫偏左侧囊性肿块,盆腔积液。




















































