【腹盆】特别精彩病例|停经48天,腹痛6天
北落医沉 等 3 位达人已点赞病例信息
【患者信息】:女,30岁
【主诉】:停经48天,腹痛6天
【现病史及既往史】:患者于6天前开始无明显诱因出现右下腹及右侧腰部疼痛,呈阵发性胀痛,有时放射至背部及肩部,无肛门坠胀感无阴道流血,无发热,无头晕、乏力,无腹泻、尿频、尿急等不适,半天后腹痛自行缓解,未重视未就诊。
【检查】:
B-HCG435.50 mlU/ml↑
阴超:子宫内暂未见典型妊娠囊声像
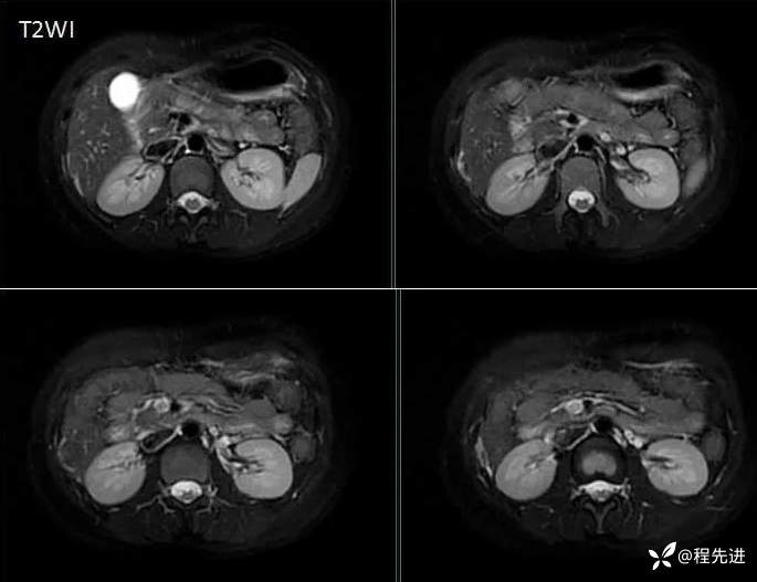
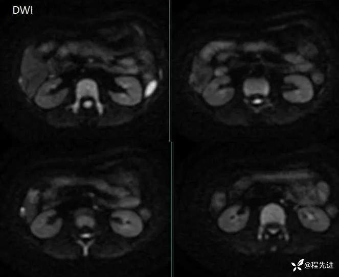
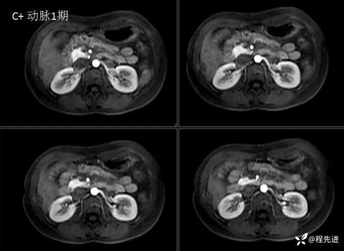
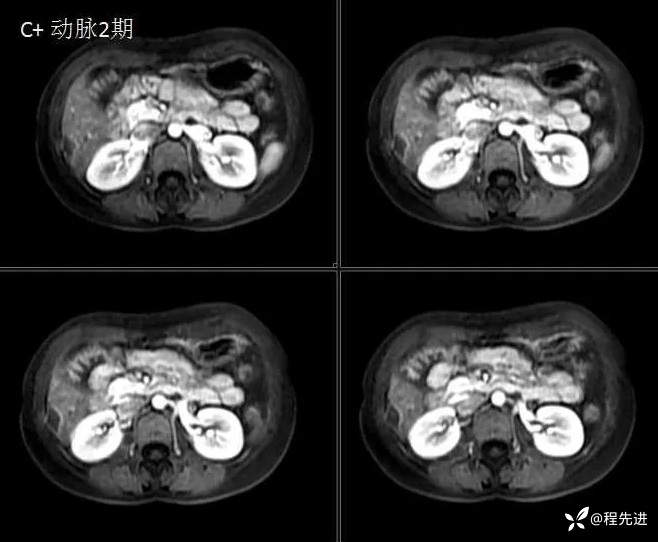
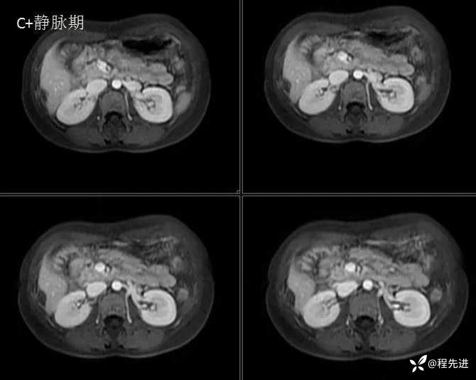
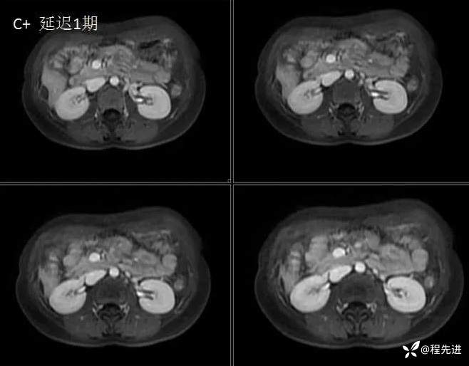
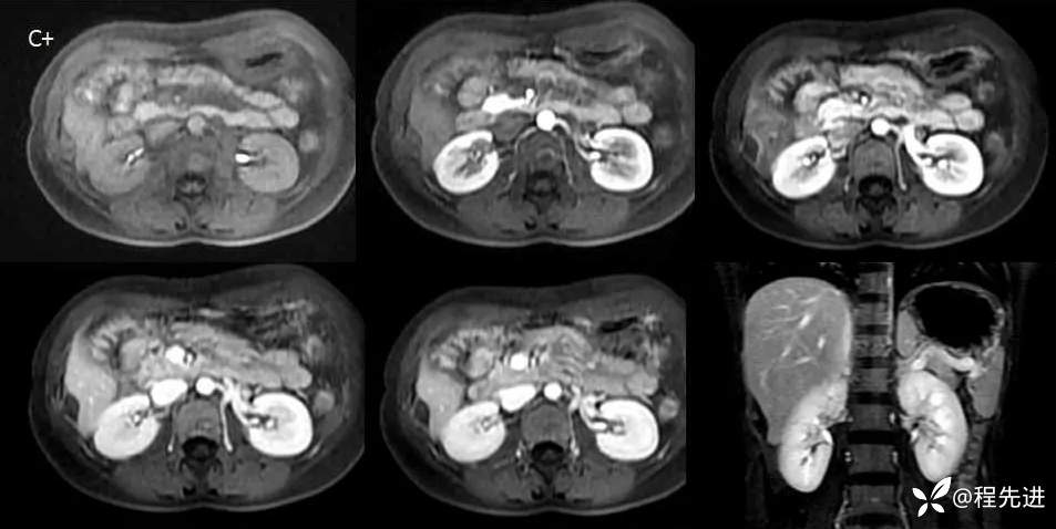
MRI检查:











北落医沉 等 3 位达人已点赞病例信息
【患者信息】:女,30岁
【主诉】:停经48天,腹痛6天
【现病史及既往史】:患者于6天前开始无明显诱因出现右下腹及右侧腰部疼痛,呈阵发性胀痛,有时放射至背部及肩部,无肛门坠胀感无阴道流血,无发热,无头晕、乏力,无腹泻、尿频、尿急等不适,半天后腹痛自行缓解,未重视未就诊。
【检查】:
B-HCG435.50 mlU/ml↑
阴超:子宫内暂未见典型妊娠囊声像
MRI检查:











