疑难/少见病例。偶发纵隔占位,结果出乎意料,等你挑战---结果公布~
患者性别:男
患者年龄:56岁
主诉:发现纵膈占位3月余
简要病史:患者于3月前因“前列腺增生”入院,行胸部CT提示纵隔占位性病变,无头痛,无心慌、胸痛、咳嗽、咳痰、呼吸困难、低热、盗汗,无腹痛、腹胀等不适,建议进一步诊治。现患者为求进一步诊治,来我院就诊,门诊以“纵隔占位”收入我科。 患者自起病以来,精神可,睡眠可,饮食可,大小便正常,体重无明显改变。
体格检查:(-)
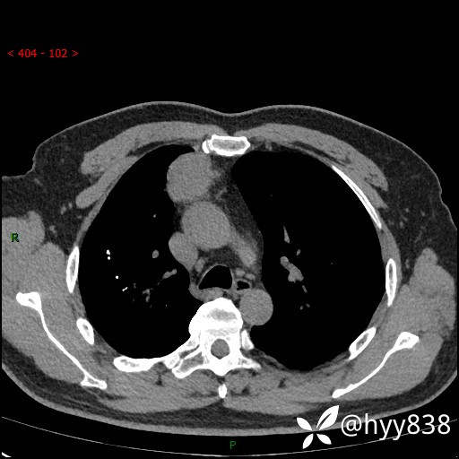
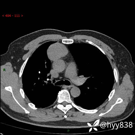
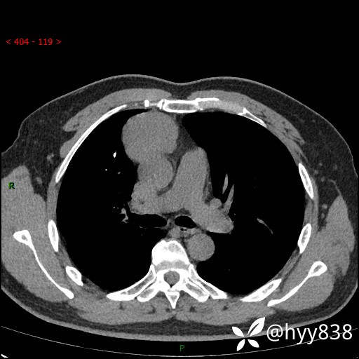
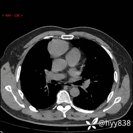
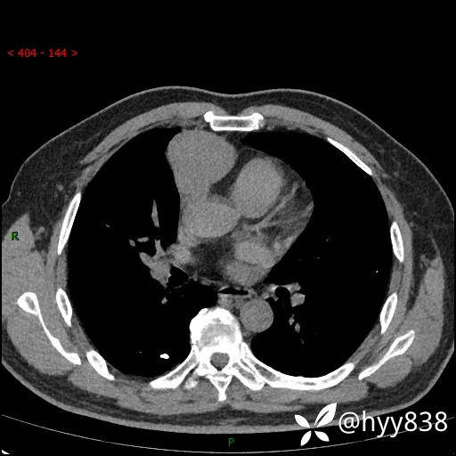
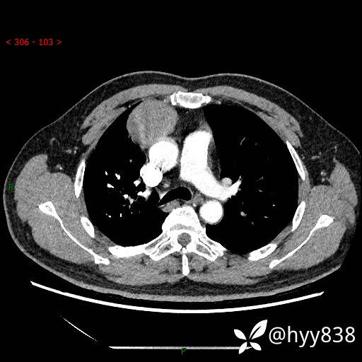
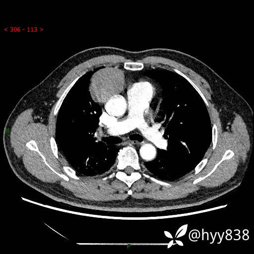
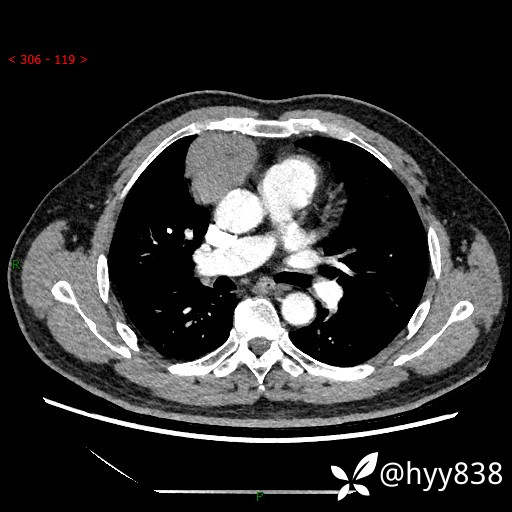
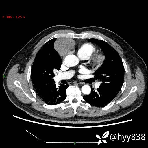
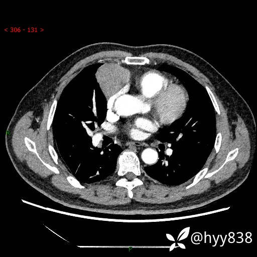
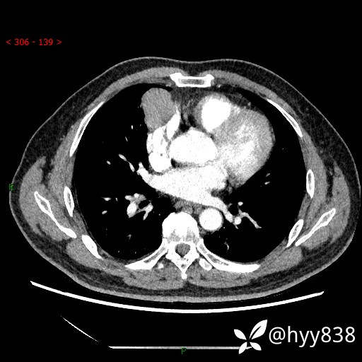
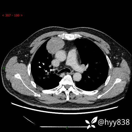
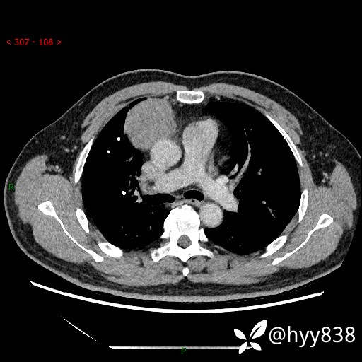
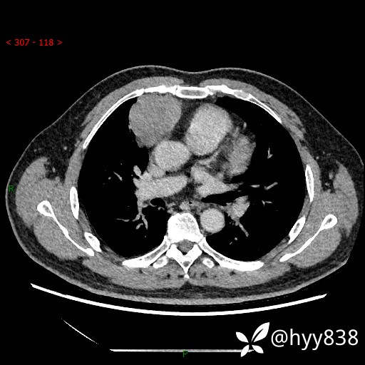
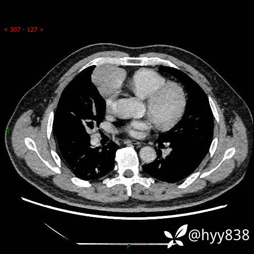
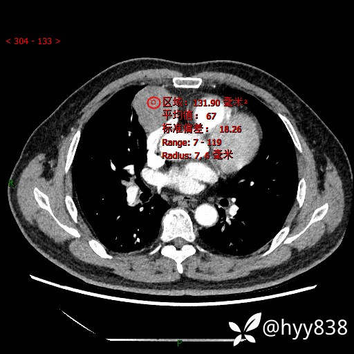
辅助检查:CT
临床诊断:纵隔占位
治疗经过:手术
讨论:病变性质?
胸部CT平扫







动脉期+静脉期











各期CT值


















































