dxy logo
首页丁香园病例库全部版块
搜索
登录

病例【影诊笔记625】纵隔占位,此部位少见病理类型,请分析,有病理……

影像核医学版版主 · 发布于 2024-01-19 · 来自 Android · IP 山东山东
1562 浏览
推荐、达人点赞 2 项荣誉
这个帖子发布于 1 年零 310 天前,其中的信息可能已发生改变或有所发展。

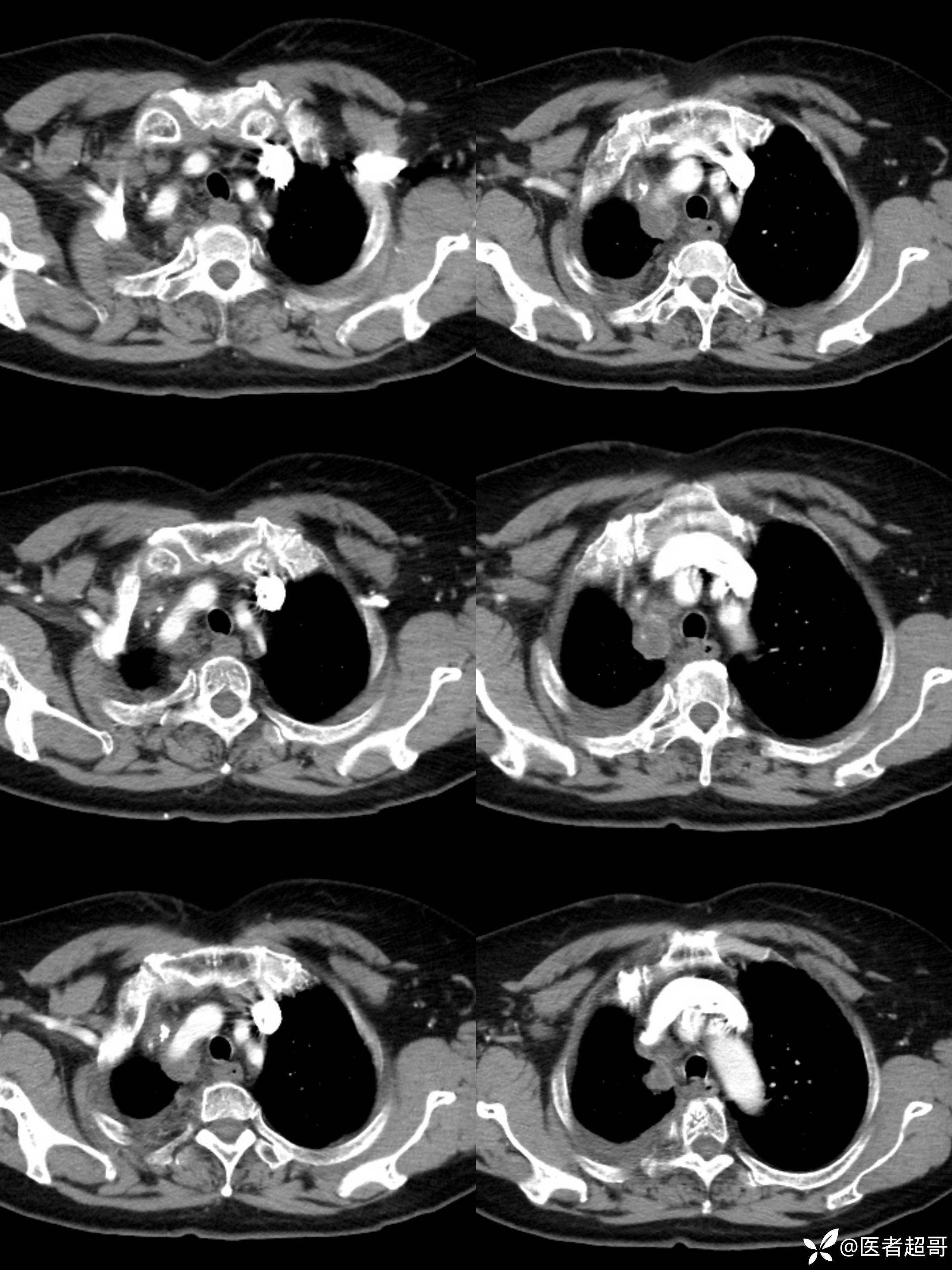
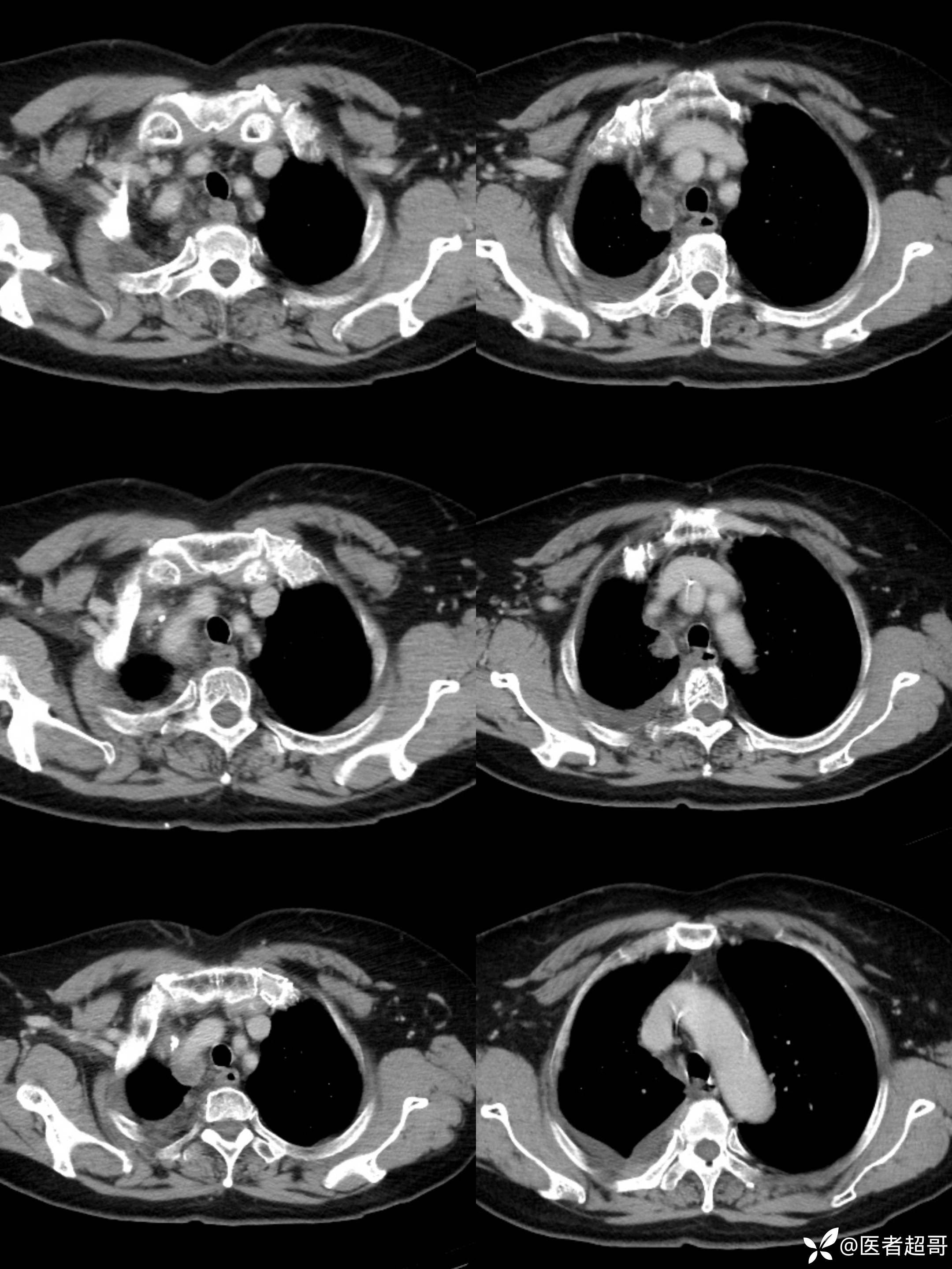
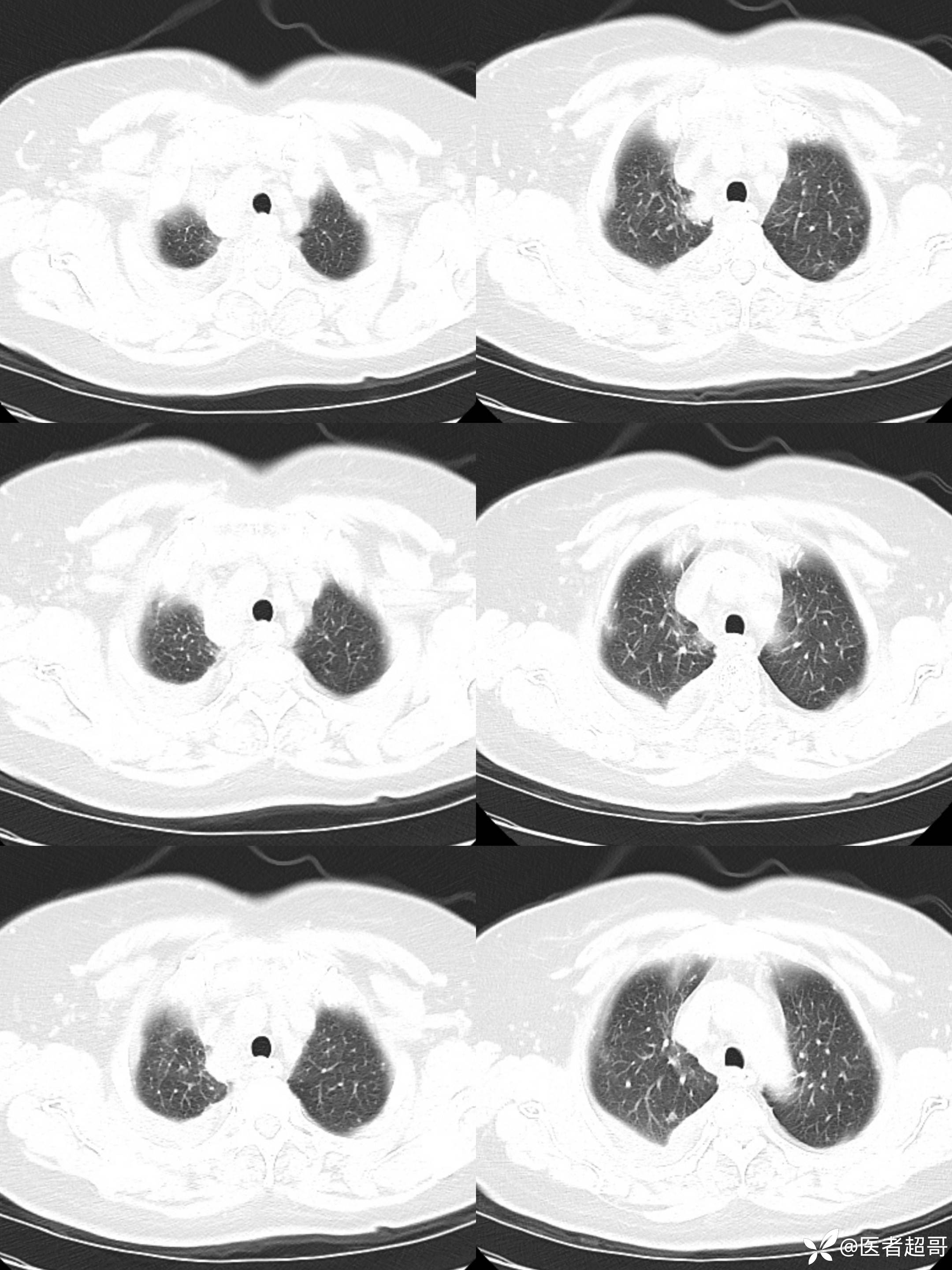
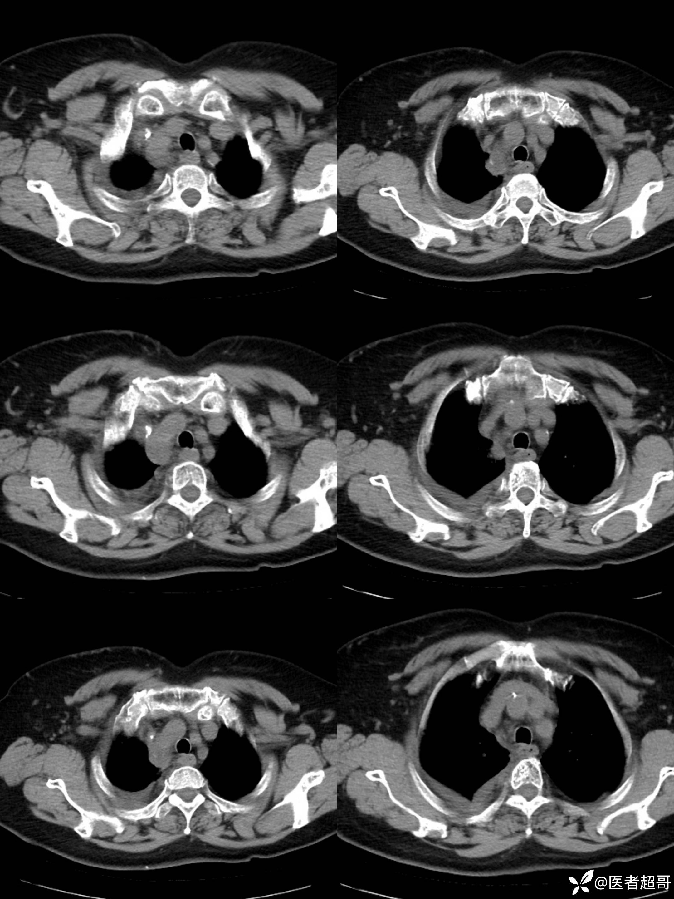
女65岁,患者于一月前无明显诱因突发右胸背部疼痛不适,呈阵发性疼痛

结核特异性细胞(TB-I) 阴性;超敏反应C蛋白(hsCR) 18mg/L ↑,其余血常规正常;

img


img


img


img
纵隔良性畸胎瘤 (1)
纠错
38 2 20
同行评议(0)
已评议
不开通精选
开通精选
精选已授权,待上线
评议结果暂未公布
参与评议
去邀请
NaN
病例完整NaN
临床实用NaN
诊疗科学NaN
学术价值NaN

全部讨论(0)

默认最新
avatar
38
分享帖子
share-weibo分享到微博
share-weibo分享到微信
认证
返回顶部