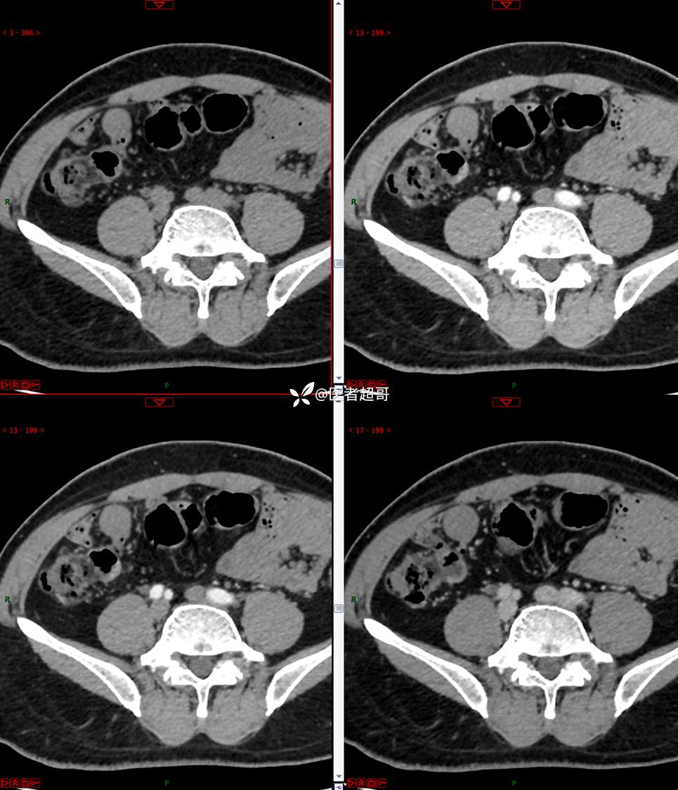
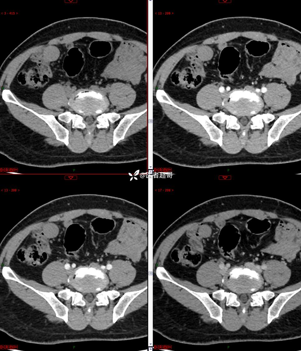
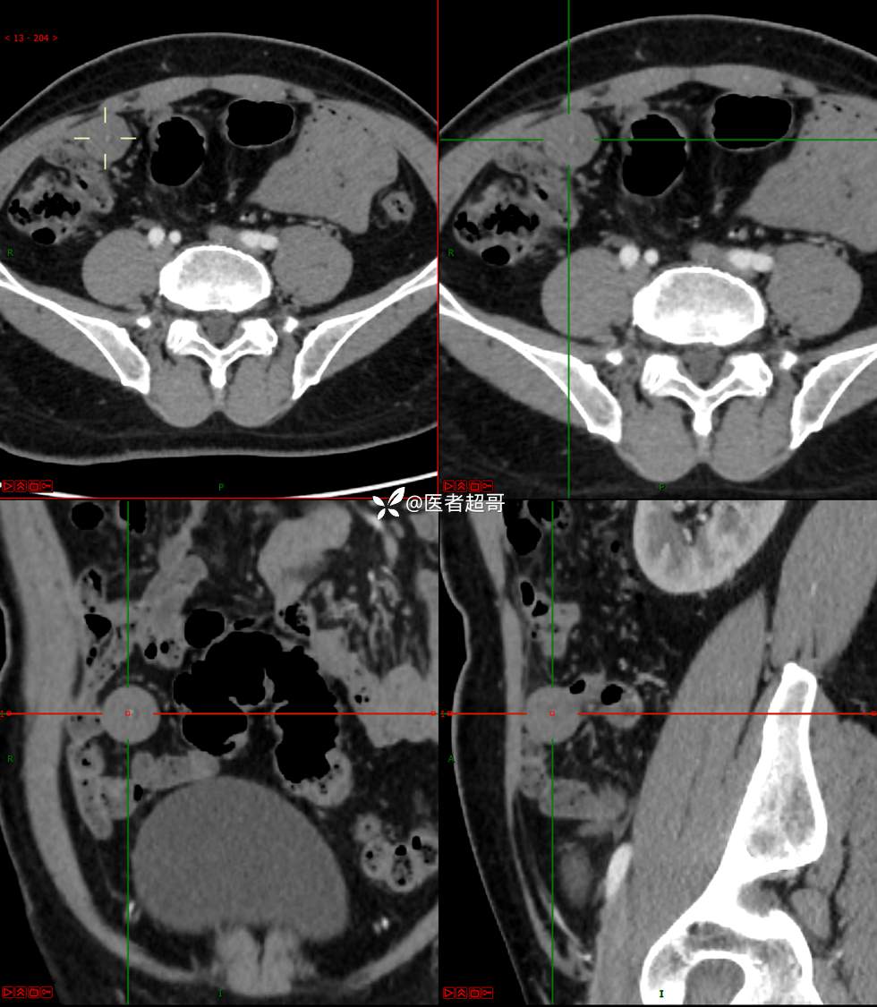
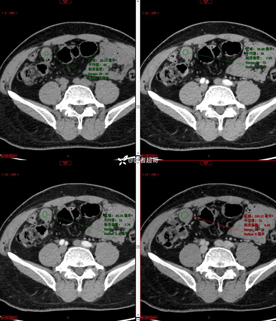
【影诊笔记747】结节不大,挺有意思的,做手术了,请赏析!
男,48岁 0200608 01
主诉:腹痛1月余。
现病史:患者1月余前无明显原因及诱因出现腹痛,脐周为著,为持续性隐痛,无发热,无恶心、呕吐,无腹泻,伴反酸,无胸闷、憋气,无呕血、黑便,至我院门诊就诊,查肝胆胰脾肾彩超诊断:肝胆胰脾双肾未见异常,下腹部实性团块,建议进一步检查,血淀粉酶46U/L,血常规未见明显异常,自服“肠炎宁”药物治疗,效果欠佳,现患者为行进一步治疗,门诊以“腹痛待查 腹腔肿物”收入院。患者自发病以来,神志清,精神可,饮食、睡眠可,大小便正常,体重较前无明显减轻。






















































