【影诊笔记705】查体发现肺肿物2月余,请诊断分析~~~
病例信息
女,40岁
主 诉:查体发现肺肿物2月余
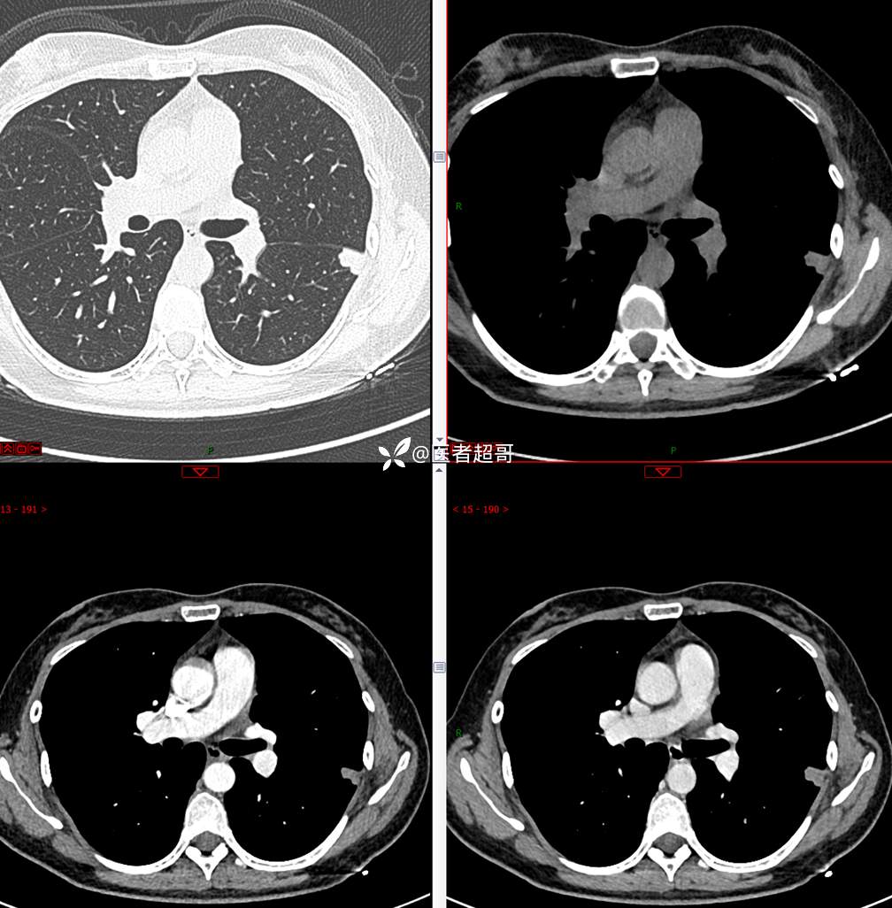
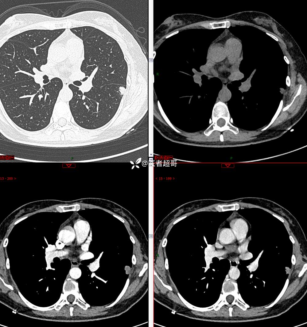
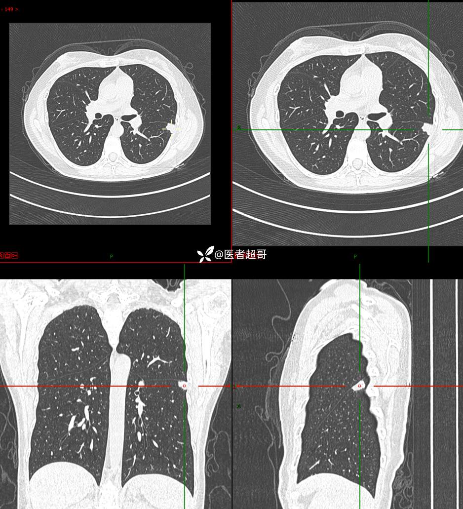
现病史:患者于2月余前行X线及胸部CT示:左肺结节。当时患者无明显不适,行抗炎治疗后复诊。于我院查胸部(肺)CT平扫示:左肺下叶实性小结节,请结合临床及原片,必要时进一步检查;双肺钙化灶右肺上叶微结节,建议随诊肝内钙化灶,门诊以“肺肿物”收入院。患者自发病以来,咳嗽咳痰,无痰中带血,无咯血,无胸闷胸痛,无心慌气短,无发热盗汗、无全身乏力,无头痛头晕,无恶心呕吐,无腹痛腹胀,无声音嘶哑及呛咳。患者自发病以来,神志清,精神可,饮食可,睡眠良好,大小便正常,近期体重未见明显增减。
既往史:既往体健,否认高血压、糖尿病、心脑血管病等疾病史,否认肝炎、结核或其他传染病史及密切接触史,预防接种史:新型冠状病毒疫苗接种:否 是是,有食物过敏史,具体不详,否认外伤史,2010年于我院行剖宫产手术,术后恢复可,否认输血史,其它无特殊。
个人史:生于原籍,否认冶游史,无职业及毒物暴露史,无烟酒及药物嗜好。





















































