【影诊笔记526】确诊淋巴瘤两年,发现双肺病变八月余,行肺部CT,请分析~~~
男,37岁 ;因“确诊淋巴瘤两年,发现双肺病变八月余”入院
患者两年前因右侧鼻塞流涕,涕中带血于外院确诊“鼻NK/T淋巴瘤”,后规律放化疗,一年前评估复发,再行放化疗
患者因萎缩性鼻炎行薄荷油滴鼻后右侧卧位史3年
实验室检查:白细胞计数:7.37×10^9/L;红细胞计数:3.01×10^12/L↓;血红蛋白:87g/L↓;中性粒细胞比率:87.6%↑;淋巴细胞计数:0.42×10^9/L

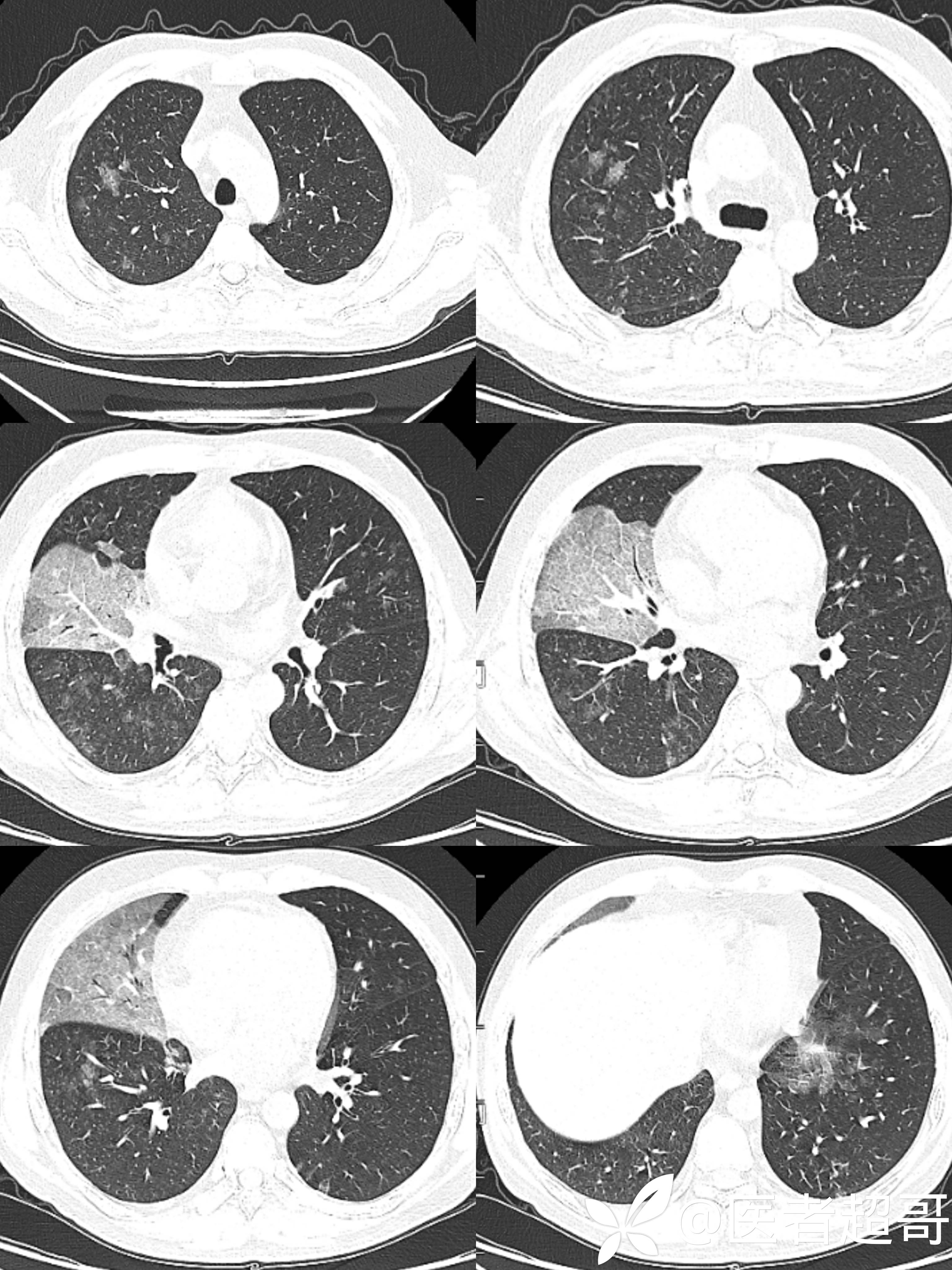
男,37岁 ;因“确诊淋巴瘤两年,发现双肺病变八月余”入院
患者两年前因右侧鼻塞流涕,涕中带血于外院确诊“鼻NK/T淋巴瘤”,后规律放化疗,一年前评估复发,再行放化疗
患者因萎缩性鼻炎行薄荷油滴鼻后右侧卧位史3年
实验室检查:白细胞计数:7.37×10^9/L;红细胞计数:3.01×10^12/L↓;血红蛋白:87g/L↓;中性粒细胞比率:87.6%↑;淋巴细胞计数:0.42×10^9/L

