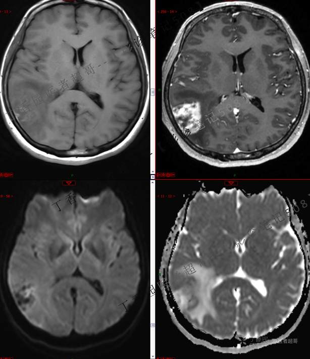
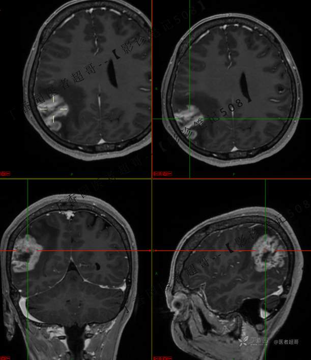
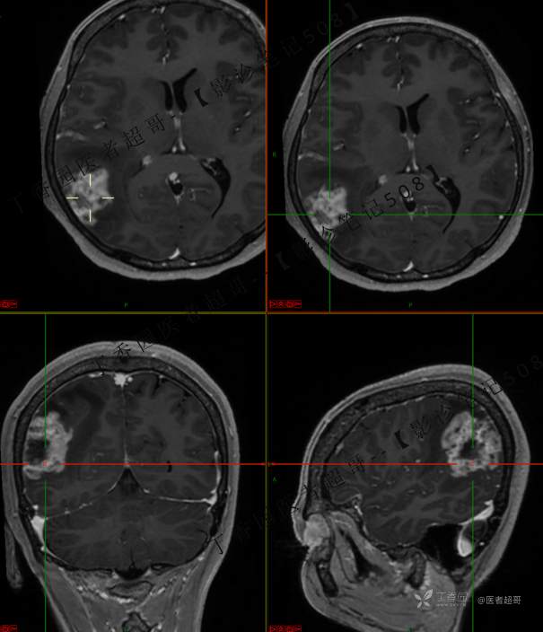
【影诊笔记508】同病异影,个人感觉有难度,欢迎分析,领丁当!有详细术程及病理!
患者性别:女
患者年龄:46岁
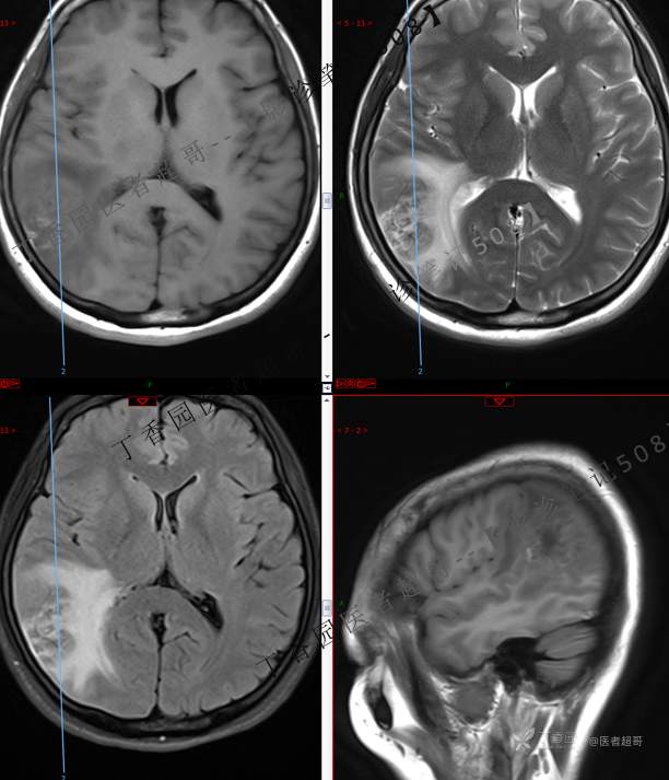
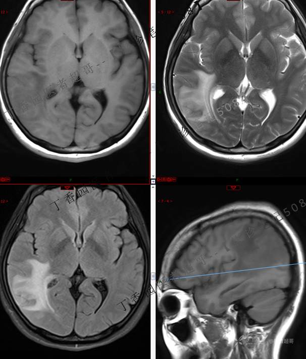
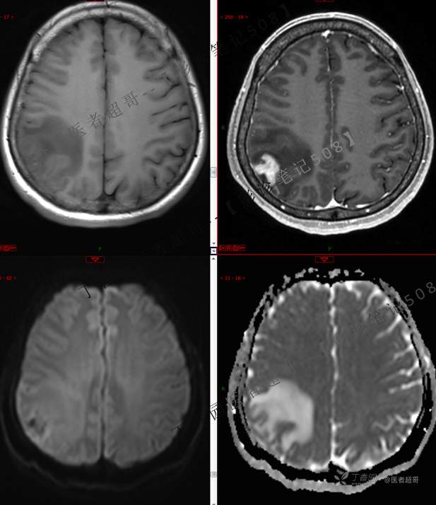
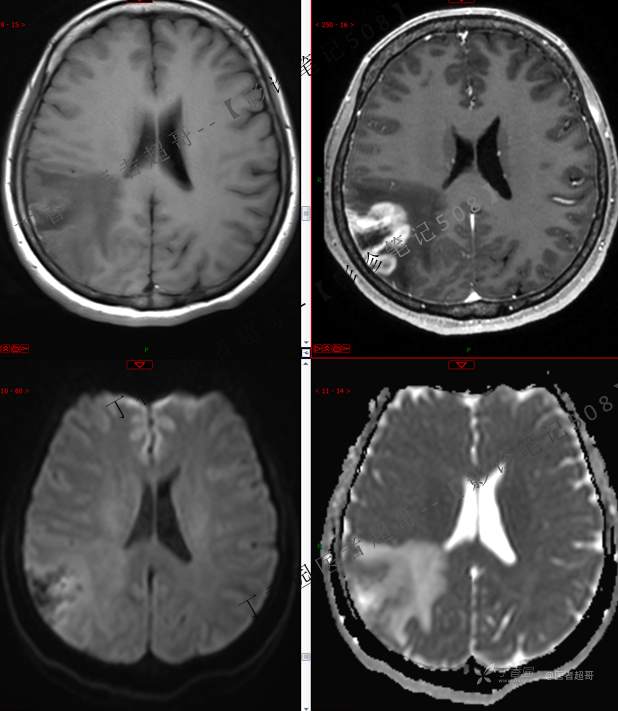
主 诉:突发一过性意识不清伴肢体抽搐5天余。
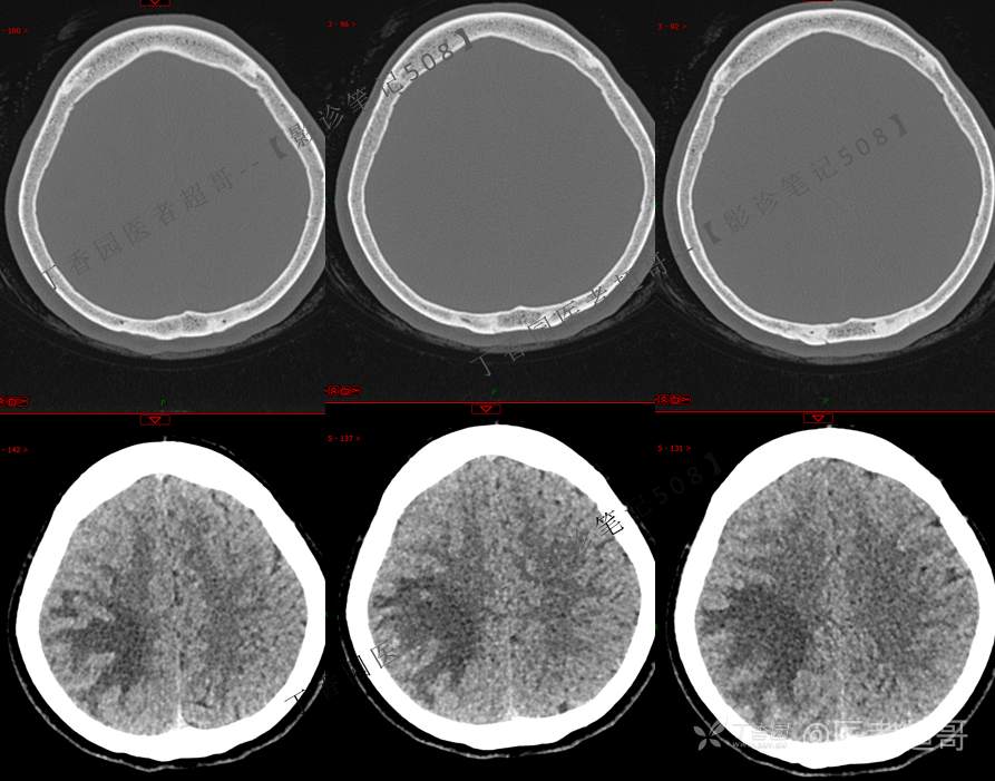
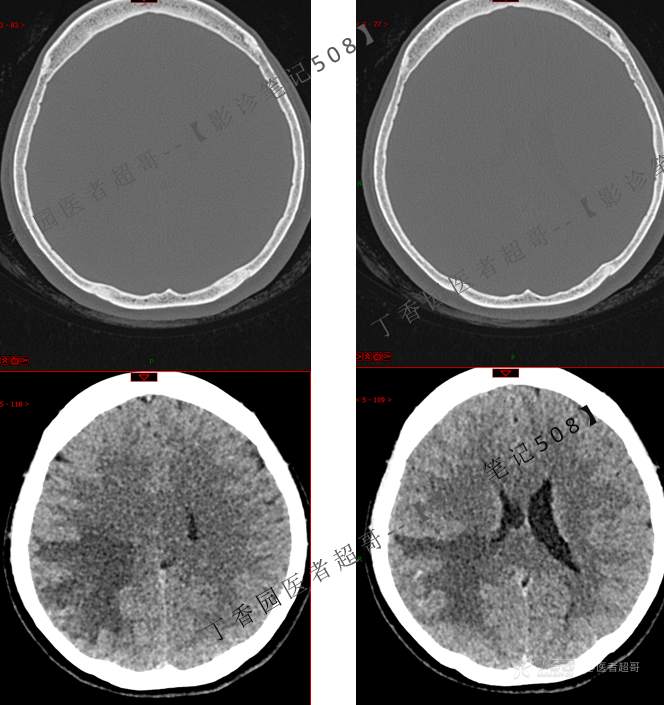
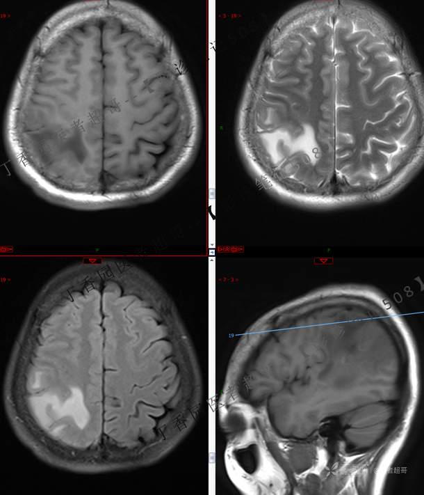
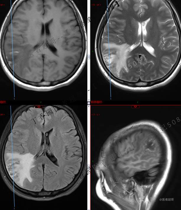
现病史:患者5天余前无明显原因及诱因出现一过性意识不清,伴肢体抽搐,持续约2-3分钟,后意识逐渐恢复,无明显头痛头晕,无恶心呕吐,无肢体抽搐,无呼吸困难,无二便失禁,后就诊于当地医院,行颅脑CT示“颅内占位性病变”,予以药物对症治疗,具体不详,门诊以“颅内占位性病变”,收入我科。患者自发病以来,未进饮食,近期体重无明显变化。
既往史:既往体健,否认高血压、糖尿病、心脑血管病等疾病史,否认肝炎、结核或其他传染病史及密切接触史,预防接种史:新型冠状病毒疫苗接种:否 是,否认药物及食物过敏史,否认外伤史,否认手术史,否认输血史,其它无特殊。


































































