【影诊笔记704】查体发现右肺肿物1年余,请诊断,有病理级术程!
病例信息
男,50岁
主 诉:查体发现右肺肿物1年余
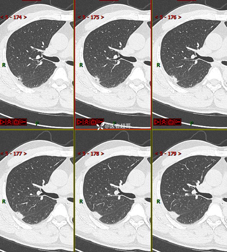
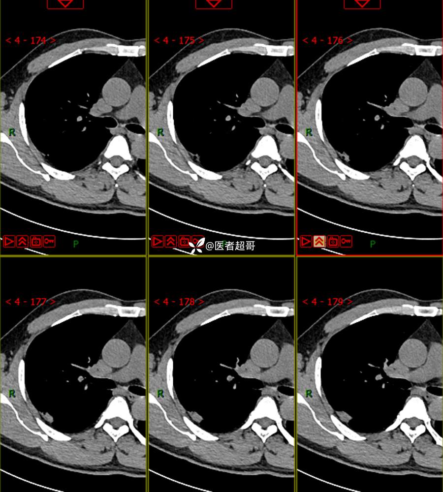
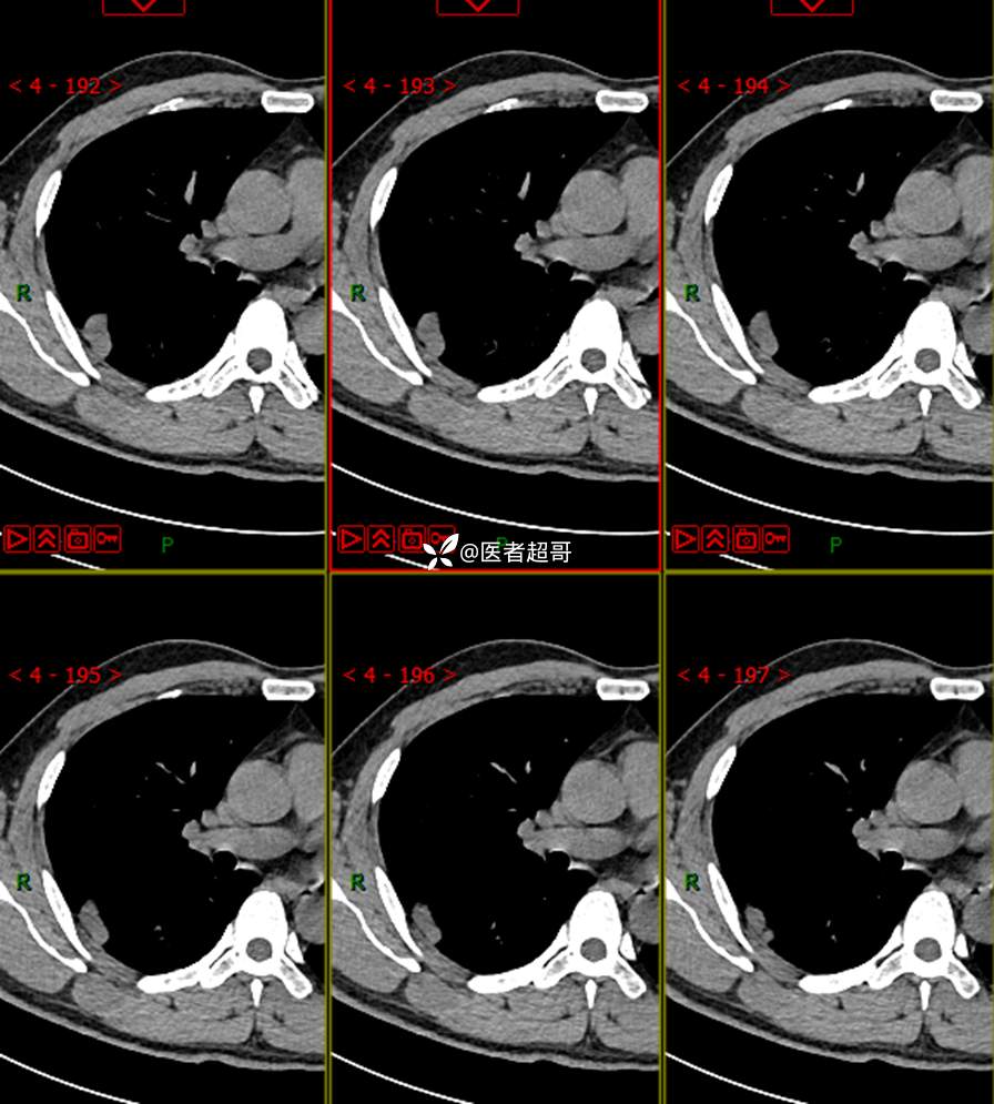
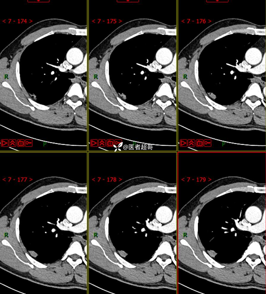
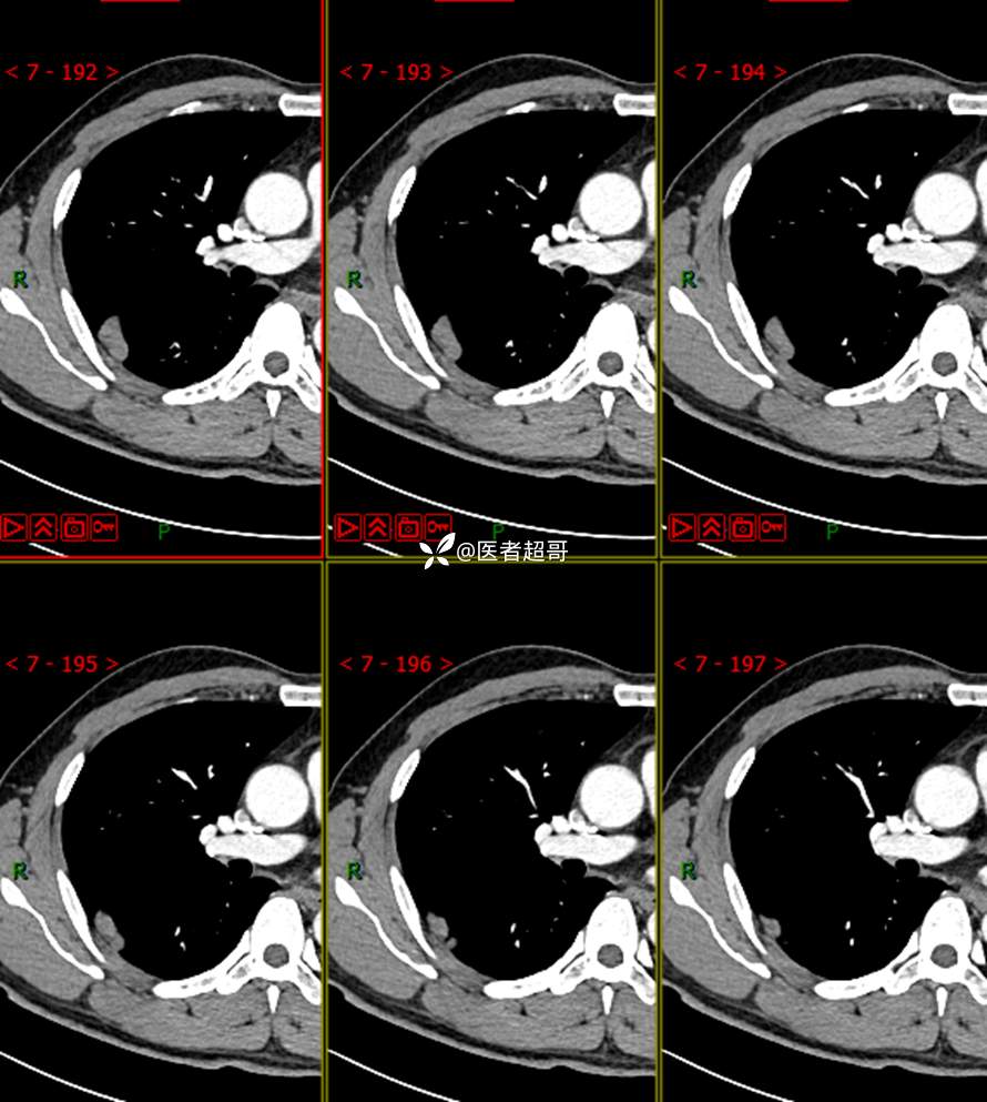
现病史:患者1年余前于体健中心行胸部X片发现右上肺叶密度增高影,无明显咳嗽,咳痰,无痰中带血及咯血,无胸痛及胸闷、气短,无发热、盗汗及全身乏力。无头痛、头晕,无腹痛、腹胀及恶心、呕吐,无声音嘶哑及呛咳,未行特殊治疗。后患者定期复查胸部CT,未见明显变化。2023-2-6患者于我院复查胸部CT:右肺上叶、下叶交接处胸膜下见实性结节影,最大截面约2.6cm×1.4cm,较前增大,建议行手术治疗。今为求进一步诊治,遂来我院就诊,门诊以“肺肿物”收入我院,患者自发病以来,神志清,精神可,饮食可,睡眠良好,大小便正常,近期体重未见明显增减。
既往史:既往体健,否认高血压、糖尿病、心脑血管病等疾病史,否认肝炎、结核或其他传染病史及密切接触史,预防接种史:新型冠状病毒疫苗接种:否 是是,否认药物及食物过敏史,否认外伤史,否认手术史,否认输血史,其它无特殊。
个人史:生于原籍,否认冶游史,无职业及毒物暴露史,吸烟史20年,10支/日,饮酒20年,100g/日。






























































