dxy logo
首页丁香园病例库全部版块
搜索
登录

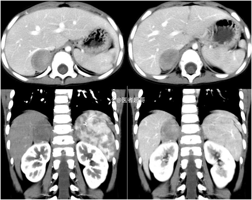
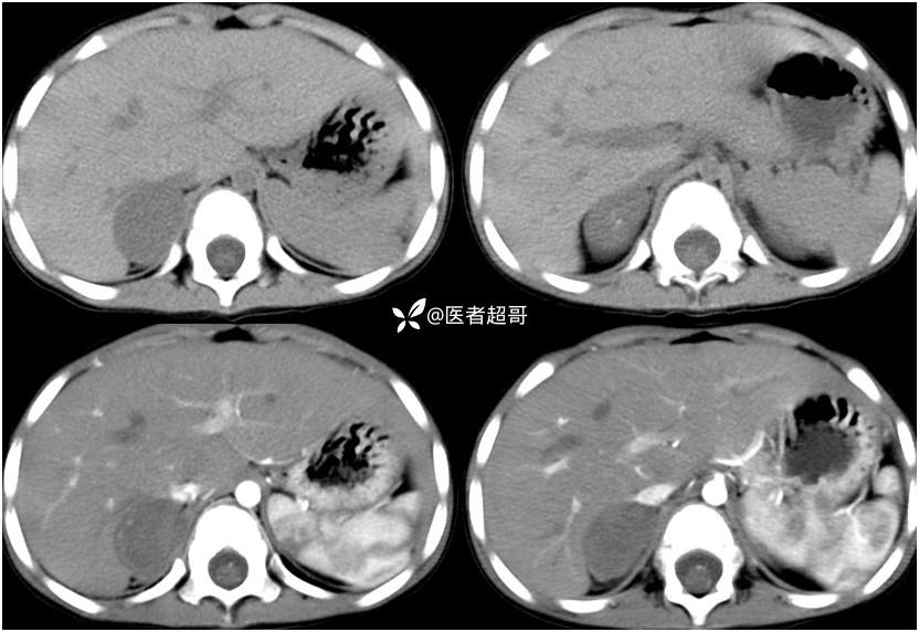
病例【影诊笔记713】男,3岁,发现肝占位入院?请诊断分析!

影像核医学版版主 · 发布于 2024-05-15 · IP 山东山东
1647 浏览
icon华夏览雄 等 2 位达人已点赞
这个帖子发布于 1 年零 192 天前,其中的信息可能已发生改变或有所发展。
肝脏疾病 (92)
纠错
35 4 20
同行评议(0)
已评议
不开通精选
开通精选
精选已授权,待上线
评议结果暂未公布
参与评议
去邀请
NaN
病例完整NaN
临床实用NaN
诊疗科学NaN
学术价值NaN

全部讨论(0)

默认最新
avatar
35
分享帖子
share-weibo分享到微博
share-weibo分享到微信
认证
返回顶部