规培和研究生教学片:老年女性,体检发现肝占位一周,看眼力---结果公布~
病例信息
性别:女
年龄:74岁
主诉:体检发现肝占位一周
现病史:患者约半一周前常规体检发现肝占位,无恶心,呕吐,呕吐后症状不缓解,无畏寒,发热,无黄疸,无反酸,腹泻,胸闷等症状。现为求进一步治疗,遂来我院,门诊以“肝占位”收住我科。 患者起病以来,患者神清,精神可,饮食可,大小便正常,体重未见明显减轻。
既往史:结肠癌
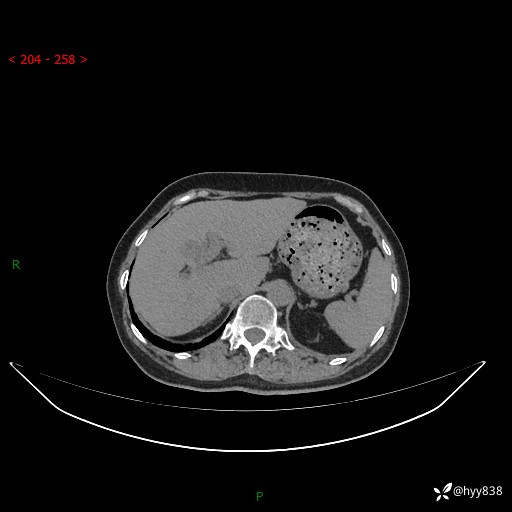
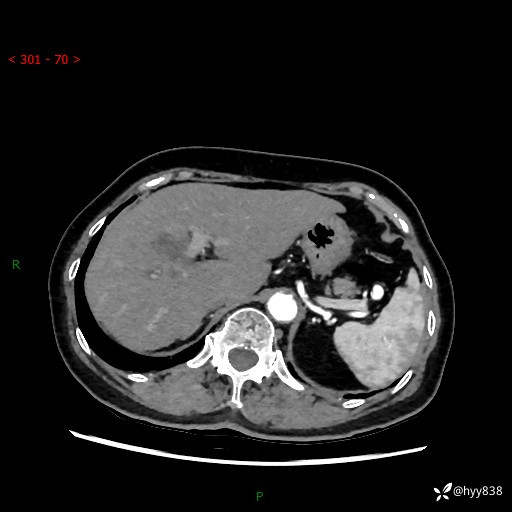
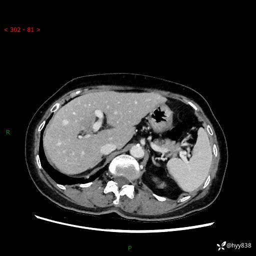
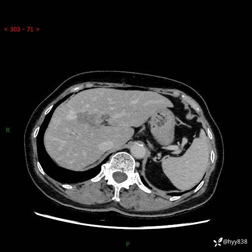
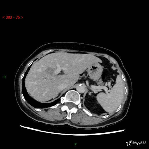
上腹部CT平扫+增强























病例信息
性别:女
年龄:74岁
主诉:体检发现肝占位一周
现病史:患者约半一周前常规体检发现肝占位,无恶心,呕吐,呕吐后症状不缓解,无畏寒,发热,无黄疸,无反酸,腹泻,胸闷等症状。现为求进一步治疗,遂来我院,门诊以“肝占位”收住我科。 患者起病以来,患者神清,精神可,饮食可,大小便正常,体重未见明显减轻。
既往史:结肠癌
上腹部CT平扫+增强























