dxy logo
首页丁香园病例库全部版块
搜索
登录

病例老年女性,发热来诊。如此“蜂窝煤”,治疗很棘手---结果公布~

影像核医学版版主 · 最后编辑于 2024-08-11 · IP 湖北湖北
5157 浏览
icon胡志勇HZY 等 2 位达人已点赞
这个帖子发布于 1 年零 72 天前,其中的信息可能已发生改变或有所发展。

病例信息

性别:女

年龄:53岁

简要病史:发热(门诊急诊患者)

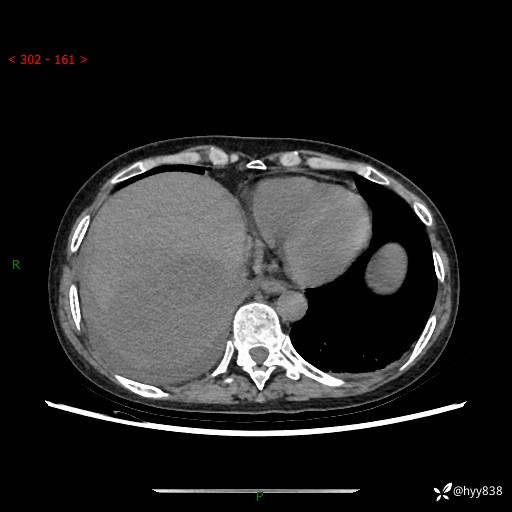
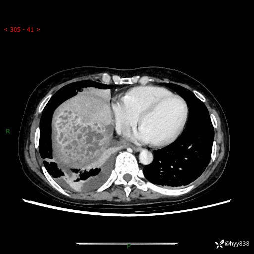
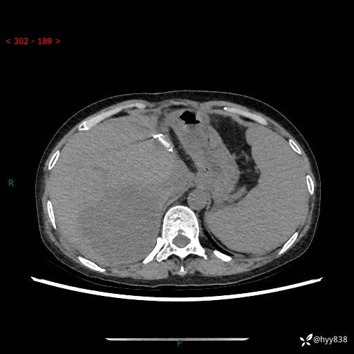
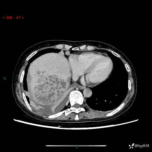
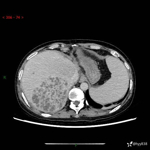
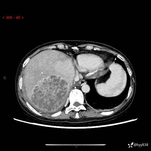
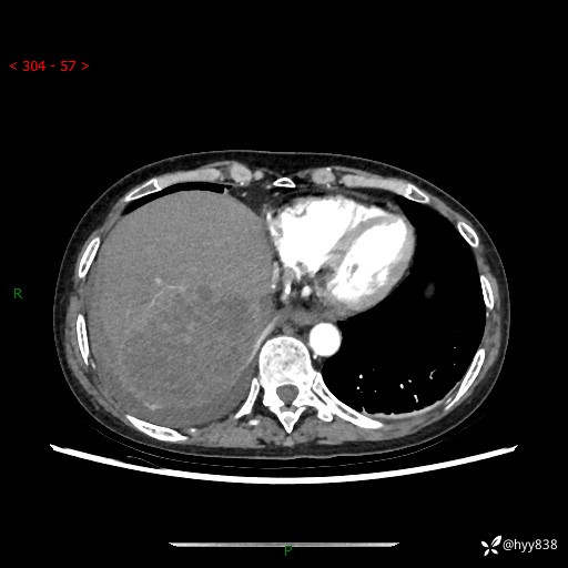
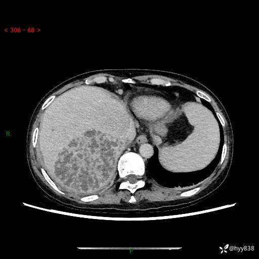
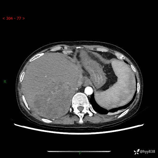
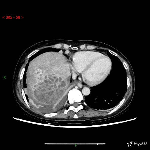
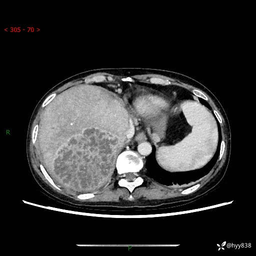
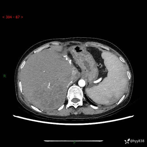
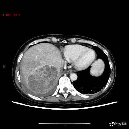
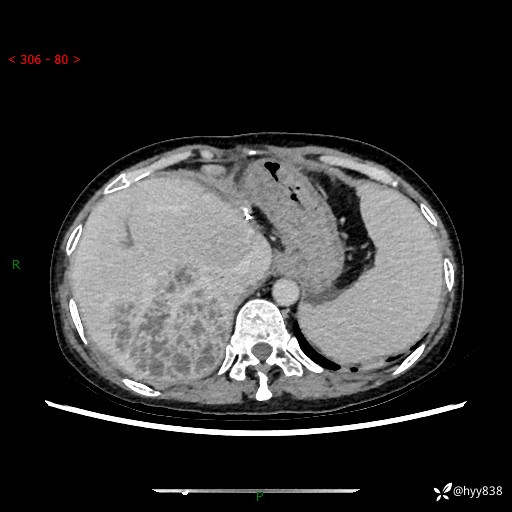
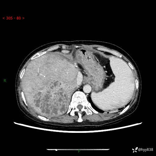
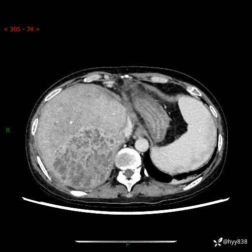
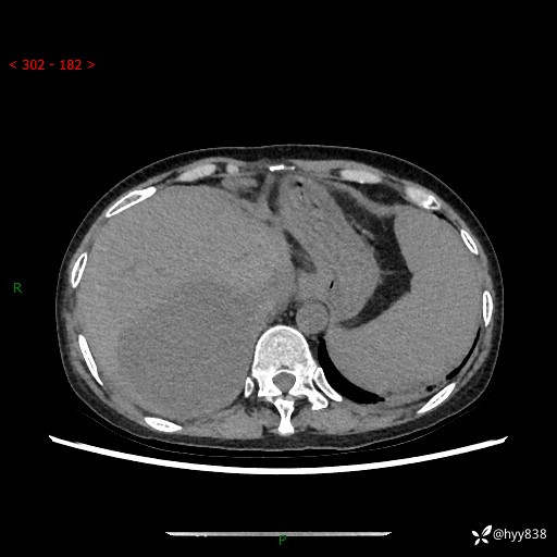
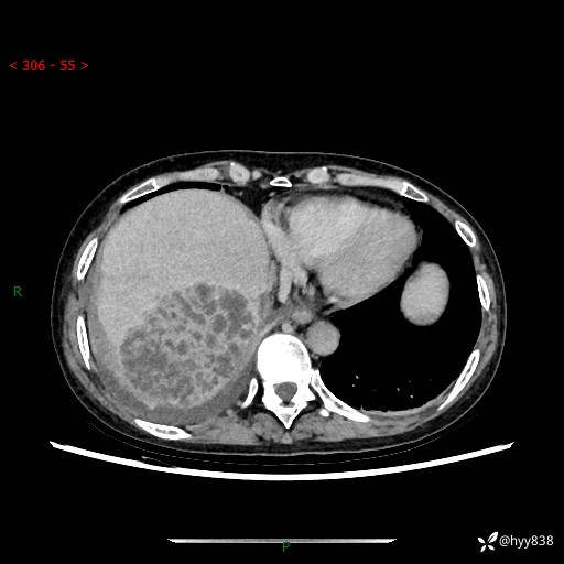
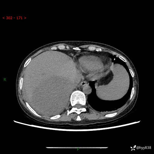
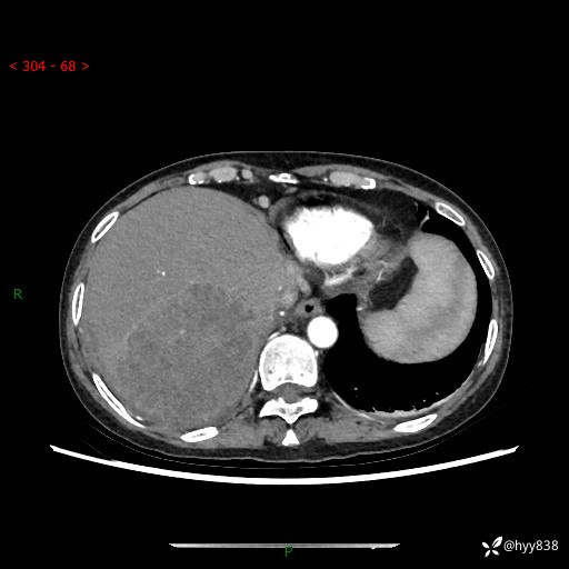
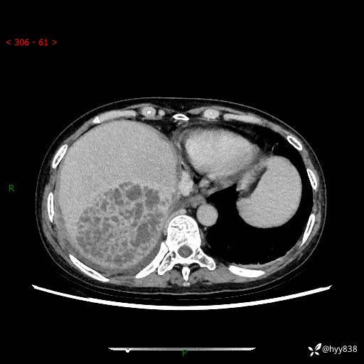
上腹部CT平扫

img
img
img
img
img
img
img
img
img
img
img
img
img
img
img
img
img
img
img
img
img
该帖还没有疾病标签去添加
33 10 23
同行评议(0)
已评议
不开通精选
开通精选
精选已授权,待上线
评议结果暂未公布
参与评议
去邀请
NaN
病例完整NaN
临床实用NaN
诊疗科学NaN
学术价值NaN

全部讨论(0)

默认最新
avatar
33
分享帖子
share-weibo分享到微博
share-weibo分享到微信
认证
返回顶部