dxy logo
首页丁香园病例库全部版块
搜索
登录

老年女性,体检发现。“月牙状”肺结节+纵隔多发肿大淋巴结,何解---(有结果)

影像核医学版版主 · 发布于 2024-11-20 · IP 湖北湖北
2980 浏览
icon华夏览雄 等 2 位达人已点赞
这个帖子发布于 1 年零 4 天前,其中的信息可能已发生改变或有所发展。

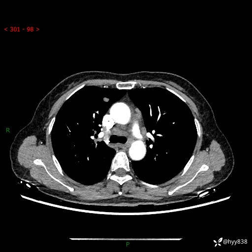
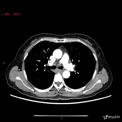
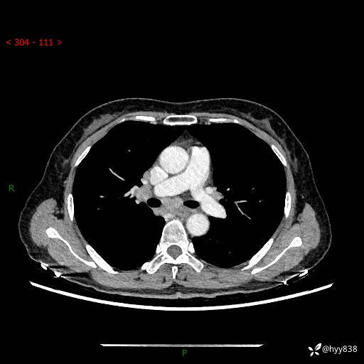
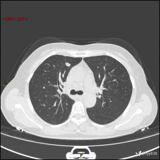
病例信息

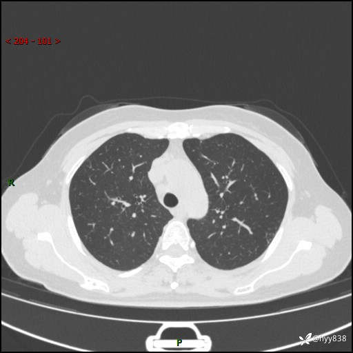
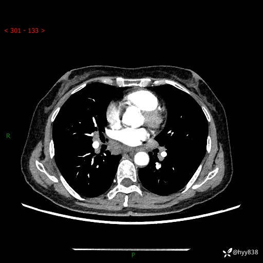
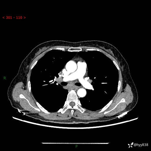
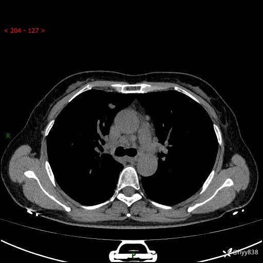
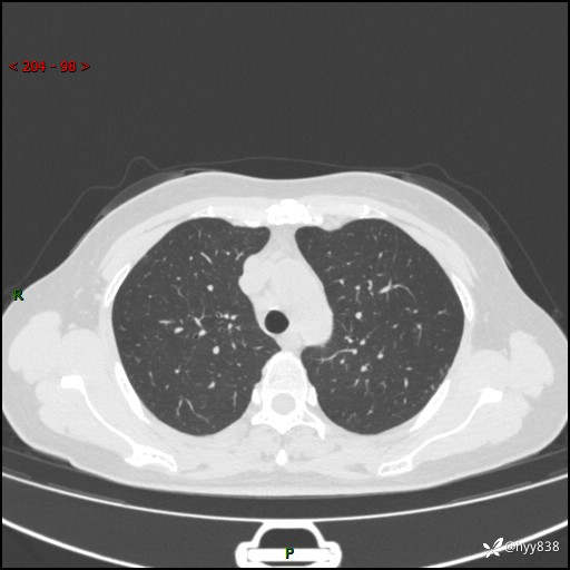
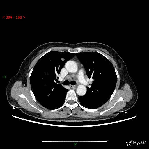
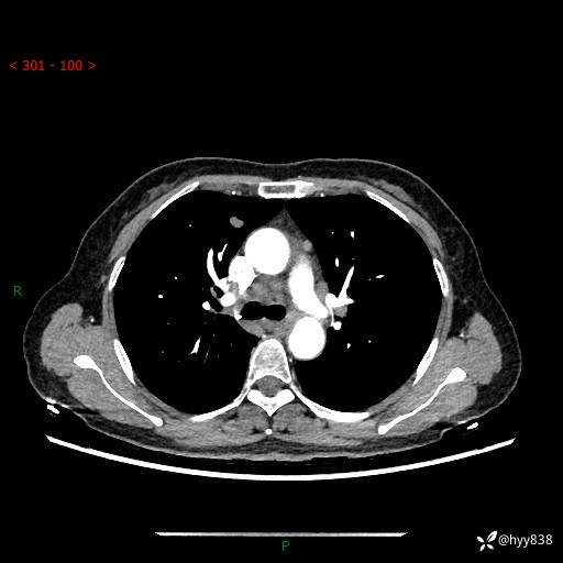
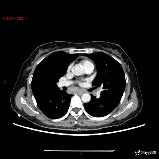
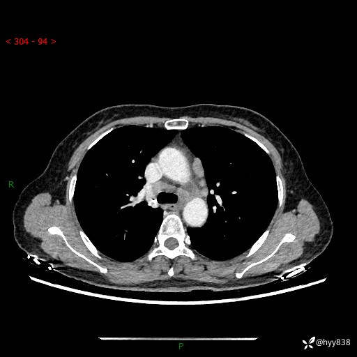
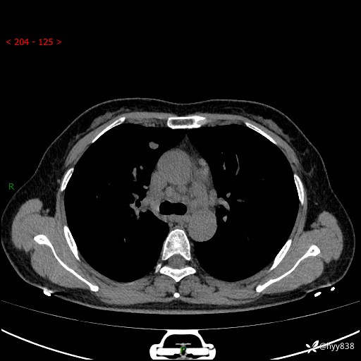
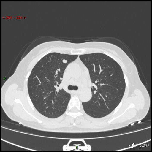
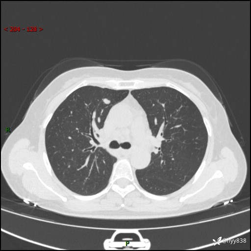
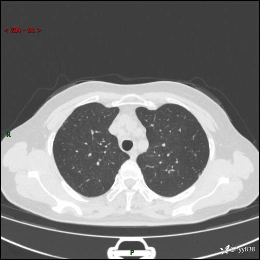
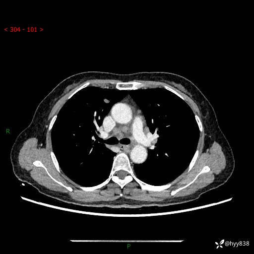
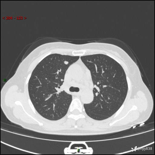
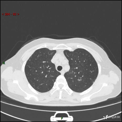
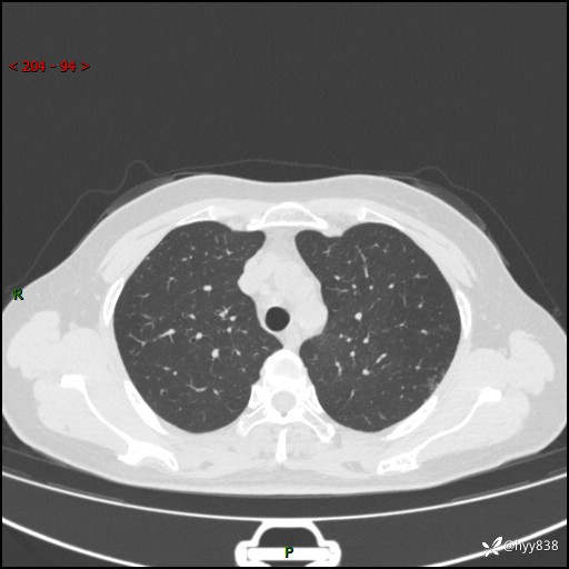
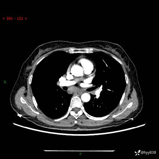
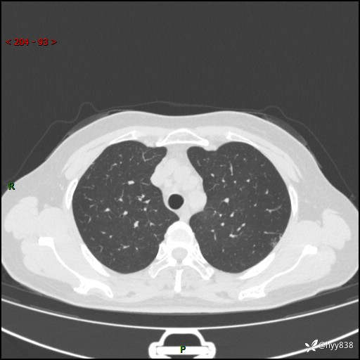
【患者信息】:58岁/女

【主诉】:体检发现肺结节

【检查】:胸部CT平扫+增强

img
img
img
img
img
img
img
img
img
img
img
img
img
img
img
img
img
img
img
img
img
img
img
img
img
img
img
img

【临床诊断】

【治疗经过及结果】

结节病 (44)
小细胞癌 (19)
纠错
28 6 16
同行评议(0)
已评议
不开通精选
开通精选
精选已授权,待上线
评议结果暂未公布
参与评议
去邀请
NaN
病例完整NaN
临床实用NaN
诊疗科学NaN
学术价值NaN

全部讨论(0)

默认最新
avatar
28
分享帖子
share-weibo分享到微博
share-weibo分享到微信
认证
返回顶部