dxy logo
首页丁香园病例库全部版块
搜索
登录

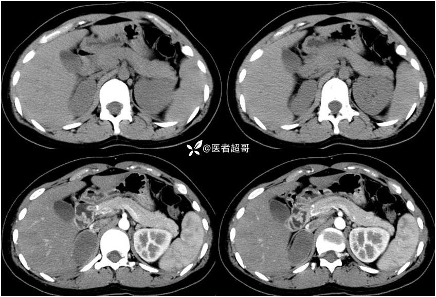
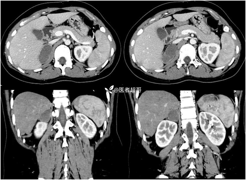
病例【影诊笔记712】女,32岁,体检发现右侧肾上腺占位1年,有病理结果!

影像核医学版版主 · 发布于 2024-05-15 · IP 山东山东
857 浏览
这个帖子发布于 1 年零 192 天前,其中的信息可能已发生改变或有所发展。
肾上腺肿瘤 (112)
纠错
19 收藏9
同行评议(0)
已评议
不开通精选
开通精选
精选已授权,待上线
评议结果暂未公布
参与评议
去邀请
NaN
病例完整NaN
临床实用NaN
诊疗科学NaN
学术价值NaN

全部讨论(0)

默认最新
avatar
19
分享帖子
share-weibo分享到微博
share-weibo分享到微信
认证
返回顶部