红五月特别精彩病例|体检发现肝占位1月,期待你的完美解析【病理已公布】
呱呱叫了 等 2 位达人已点赞患者性别:女
患者年龄:24岁
简要病史:体检发现肝占位1月,无腹痛腹胀,无恶心呕吐、无畏寒发热等不适
辅助检查:
腹部B超:左肝多囊样改变
实验室检查无特殊
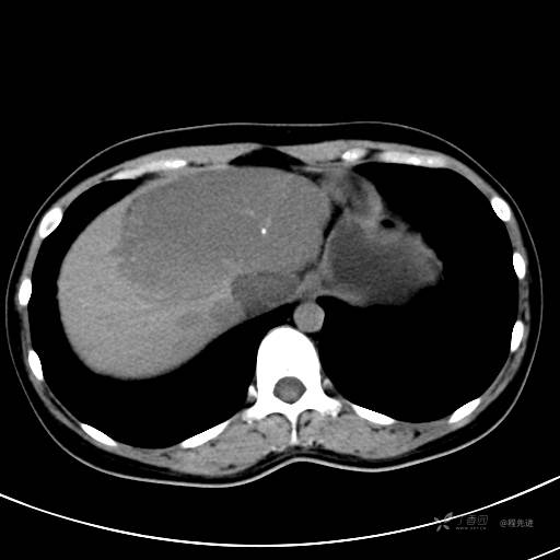
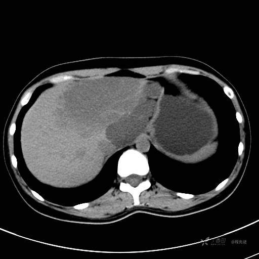
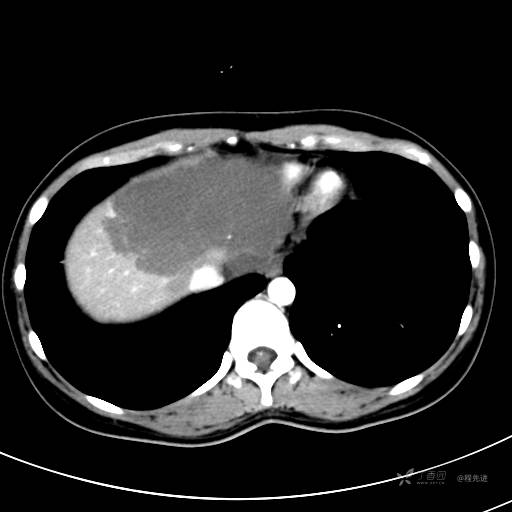
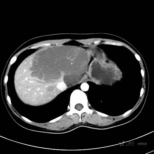
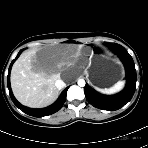
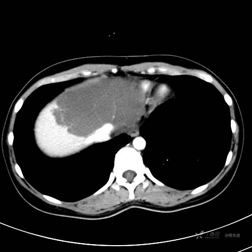
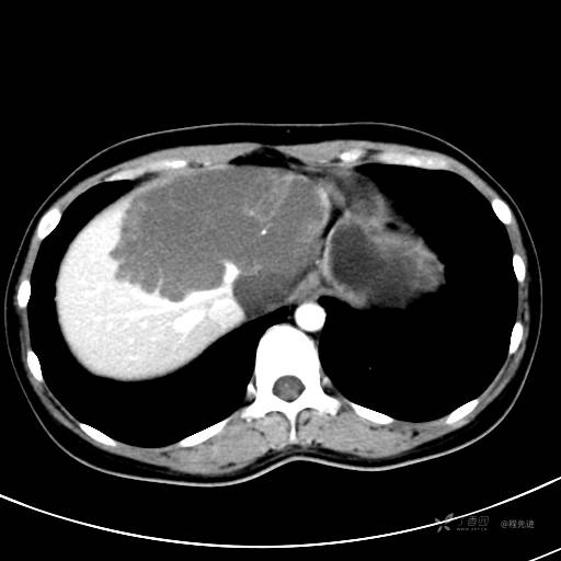
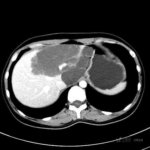
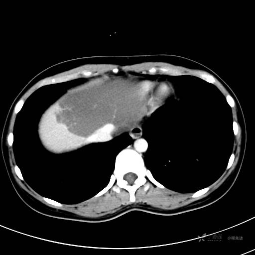
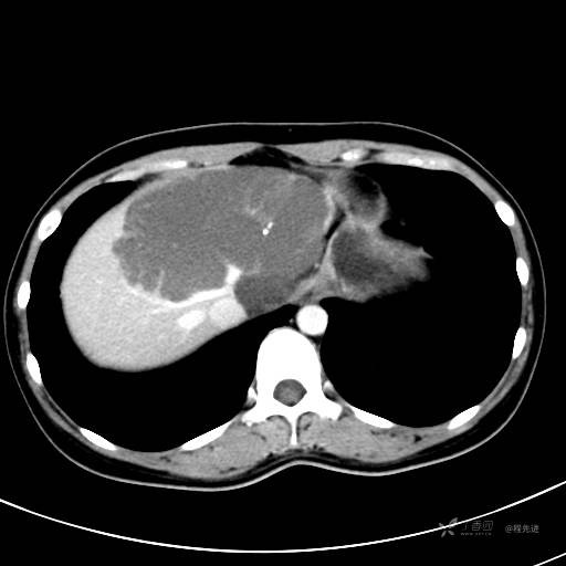
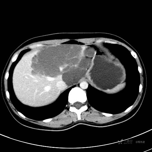
CT平扫+增强,每个序列3张图












CT值 平扫48HU 动脉期66HU 静脉期68HU 延迟期62HU
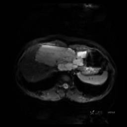
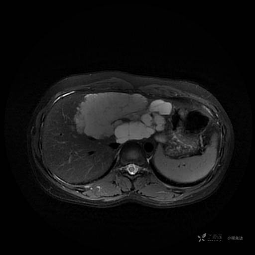
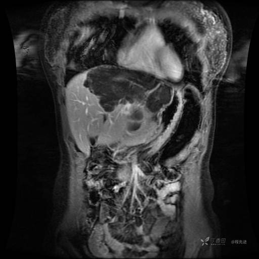
MR平扫+增强
每个序列一张图像(图像太多了,恕不一一发上来)












呱呱叫了 等 2 位达人已点赞患者性别:女
患者年龄:24岁
简要病史:体检发现肝占位1月,无腹痛腹胀,无恶心呕吐、无畏寒发热等不适
辅助检查:
腹部B超:左肝多囊样改变
实验室检查无特殊
CT平扫+增强,每个序列3张图












CT值 平扫48HU 动脉期66HU 静脉期68HU 延迟期62HU
MR平扫+增强
每个序列一张图像(图像太多了,恕不一一发上来)












