胆囊结石术前检查,外院CT拟诊肝占位,请会诊---结果公布~
患者性别:女
患者年龄:62岁
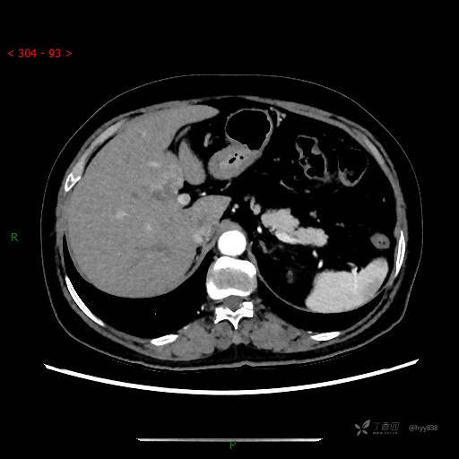
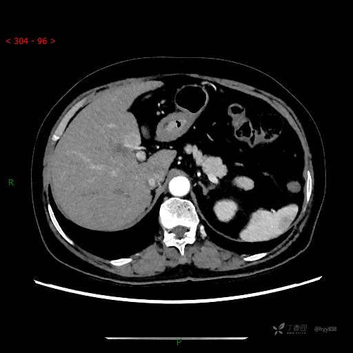
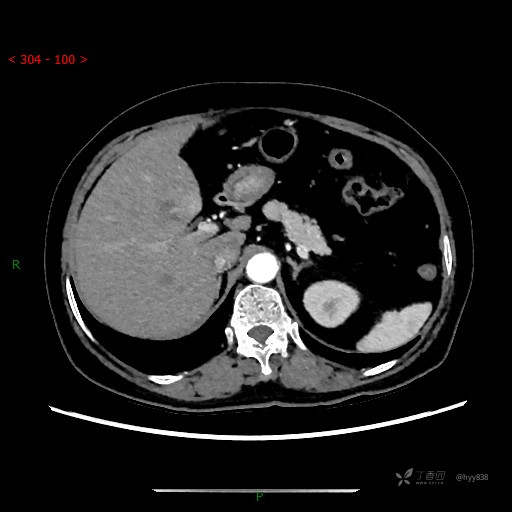
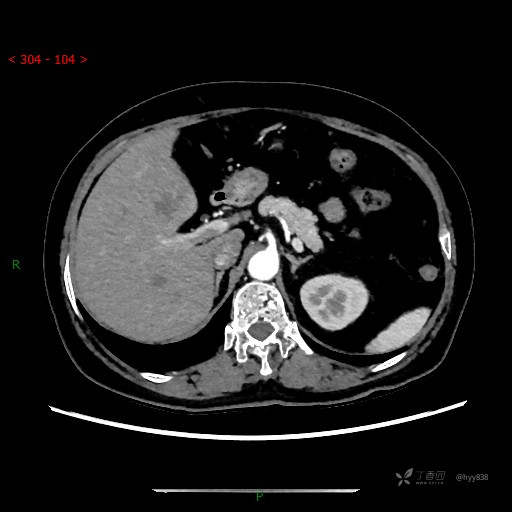
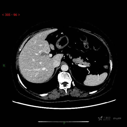
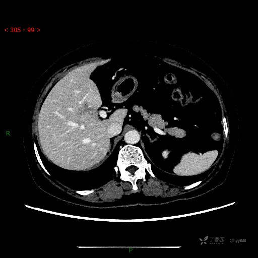
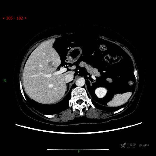
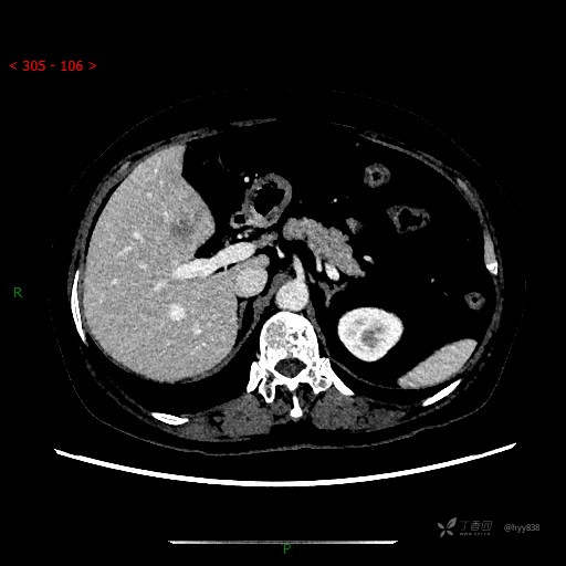
简要病史: 患者于一周前因胆囊结石于当地人民医院拟行手术治疗,后完善术前检查发现肝左内叶占位性病变,考虑肿瘤可能,患者无剑突下及右上腹疼痛不适,无明显反酸、嗳气,无畏寒、头晕、头痛,无尿频、尿急、尿痛等不适,今为求进一步治疗特来我院就诊,门诊以“肝占位”收住我科。 患者病程中精神、睡眠、饮食尚可,大小便正常、体力体重无明显变化
体格检查:(-)
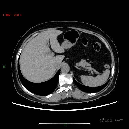
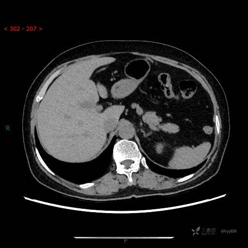
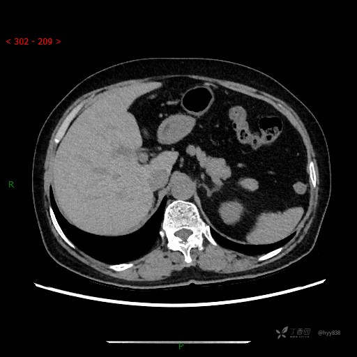
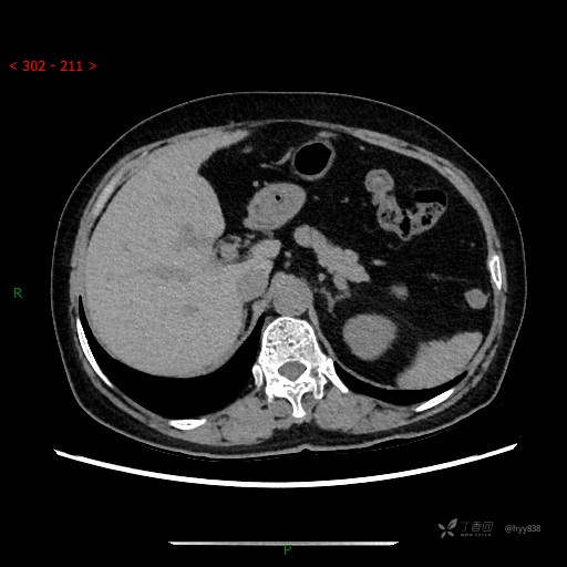
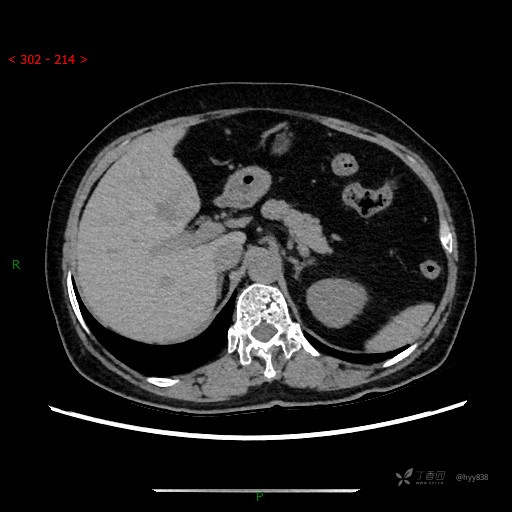
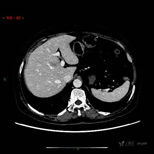
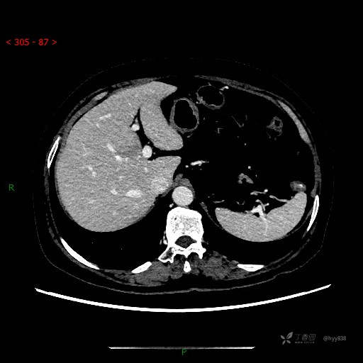
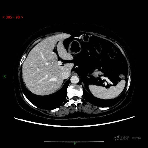
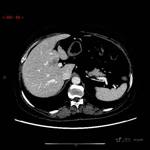
辅助检查:CT
临床诊断:肝占位
治疗经过:---
讨论:病变性质?
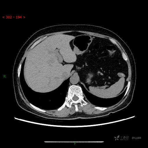
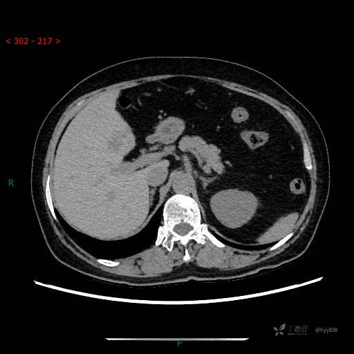
上腹部CT平扫













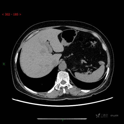
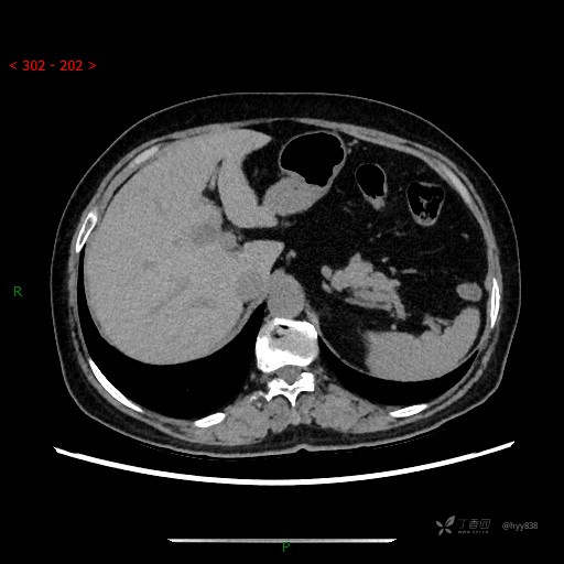
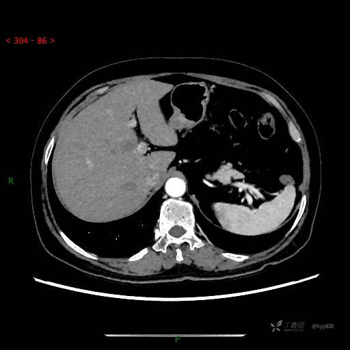
增强动脉期







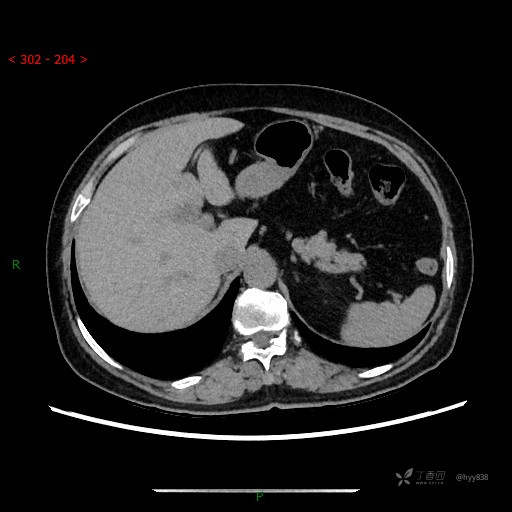
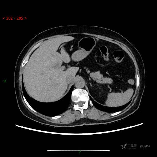
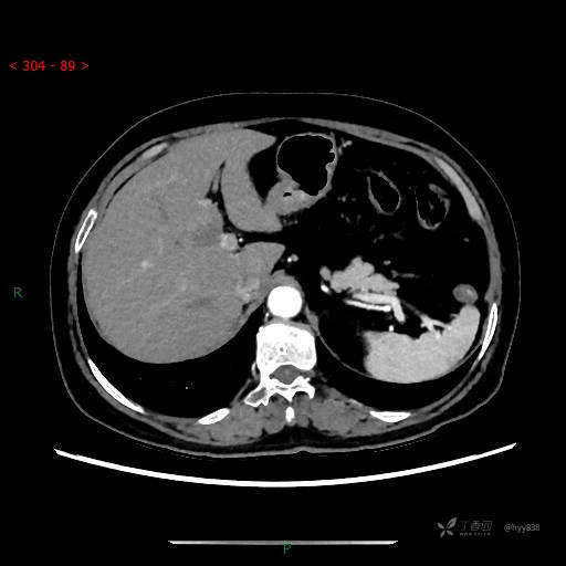
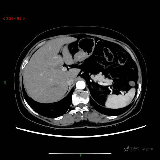
静脉期























































