年轻女性,体检发现肝占位。普美显四期扫描,意料之外也在意料之中--结果公布~
患者性别:女
患者年龄:31岁
简要病史:外院体检发现肝占位,为求进一步诊治来我院。
既往史:乙肝病史多年
体格检查:(-)
辅助检查:MRI
临床诊断:肝占位
治疗经过:手术
讨论:病变性质?
上腹部MRI平扫(同反相位)









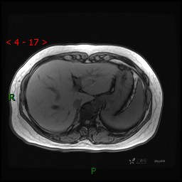
T2WI-fs




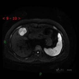
DWI


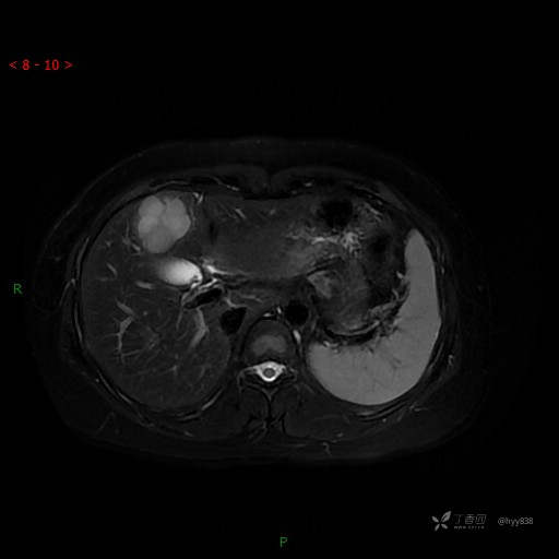
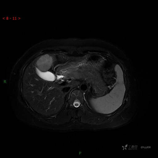
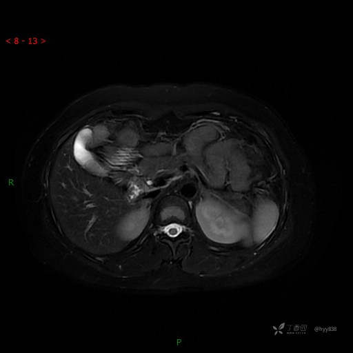
动态增强(动脉早期、动脉晚期、门脉期)



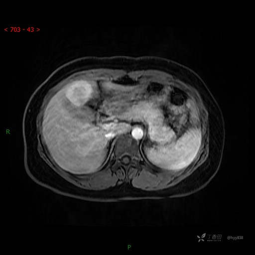
延迟肝胆期


患者性别:女
患者年龄:31岁
简要病史:外院体检发现肝占位,为求进一步诊治来我院。
既往史:乙肝病史多年
体格检查:(-)
辅助检查:MRI
临床诊断:肝占位
治疗经过:手术
讨论:病变性质?
上腹部MRI平扫(同反相位)









T2WI-fs




DWI


动态增强(动脉早期、动脉晚期、门脉期)



延迟肝胆期


