【腹盆】特别精彩病例|超声体检发现肝占位,影像资料齐全期待您解读
呱呱叫了 等 2 位达人已点赞患者性别:女
患者年龄:78岁
简要病史:超声体检发现肝占位8天,否认腹痛等不适
实验室检查:CA125 39.4 U/mL,NSE 24 ng/mL,Cyfra211 5.6 ng/mL,HBsAg、anti-HCV、AFP、CEA、CA19-9均(-)
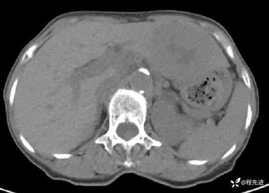
CT平扫:

T2压脂:

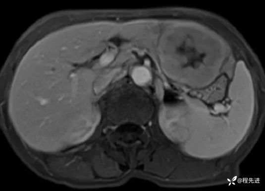
T1同反相位:


DWI、ADC:


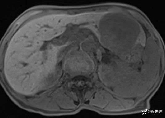
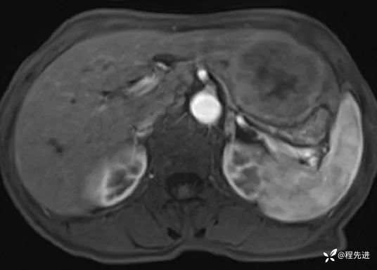
T1及T1增强4期:





期待您的精彩解读!
呱呱叫了 等 2 位达人已点赞患者性别:女
患者年龄:78岁
简要病史:超声体检发现肝占位8天,否认腹痛等不适
实验室检查:CA125 39.4 U/mL,NSE 24 ng/mL,Cyfra211 5.6 ng/mL,HBsAg、anti-HCV、AFP、CEA、CA19-9均(-)
CT平扫:

T2压脂:

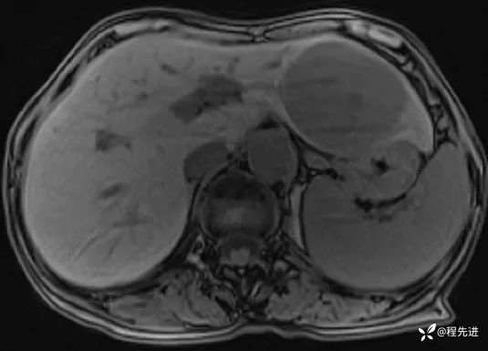
T1同反相位:


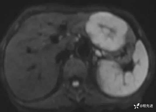
DWI、ADC:


T1及T1增强4期:





期待您的精彩解读!
