典型病例164:肝脏异常强化,肝占位?不畏浮云遮望眼,有意思
病例信息
患者男性,51岁。
主诉:间断恶心、呕吐,腹胀10余天。
现病史:家属代述患者于10天前,恶心、呕吐数次,为胃内容物,腹胀,就诊当地医院,查腹部彩超示肝脏弥漫性病变、腹腔积液,经对症治疗后症状未见明显好转,为求诊治,遂来我院。
既往史:既往无肝炎病史。
实验室检查:

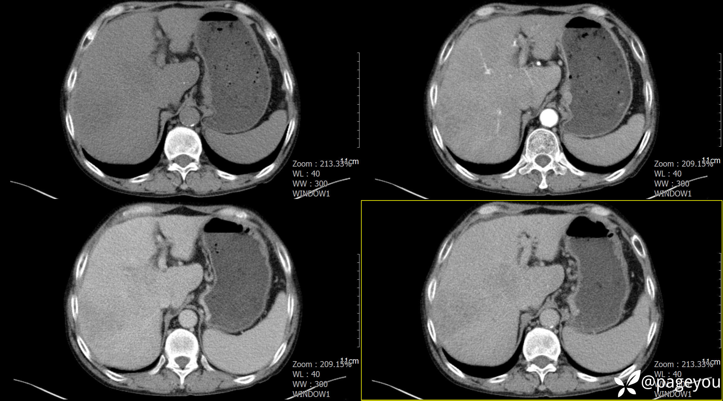
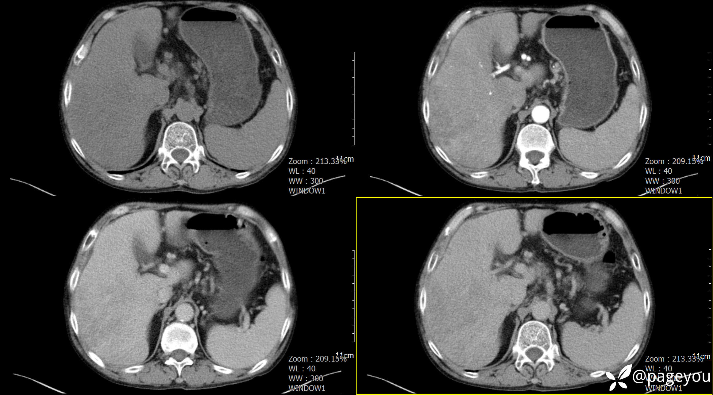
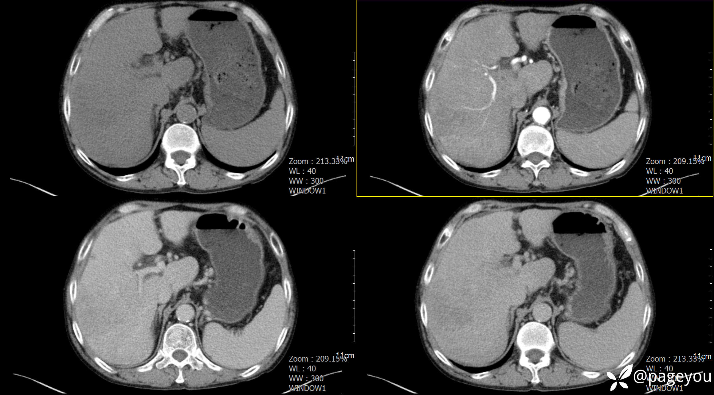
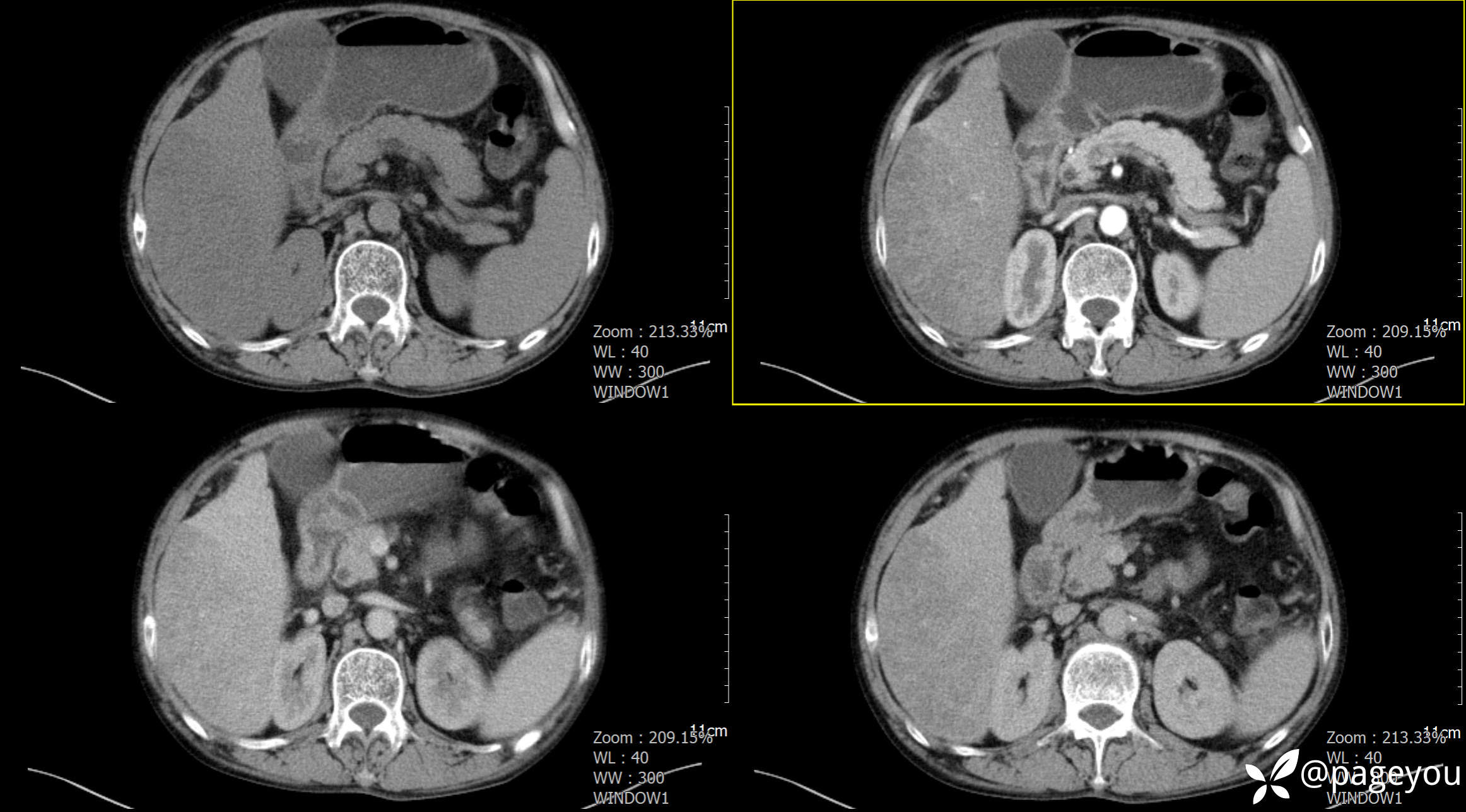
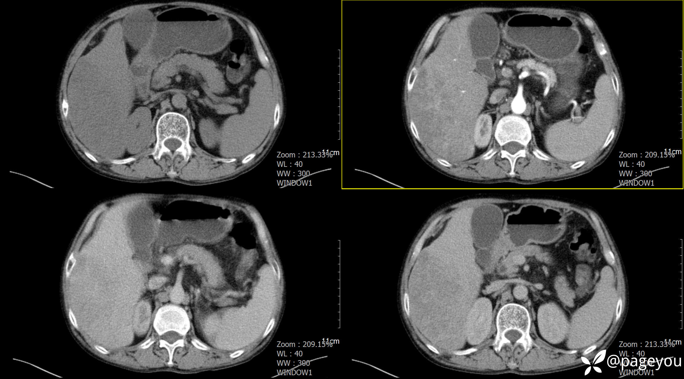
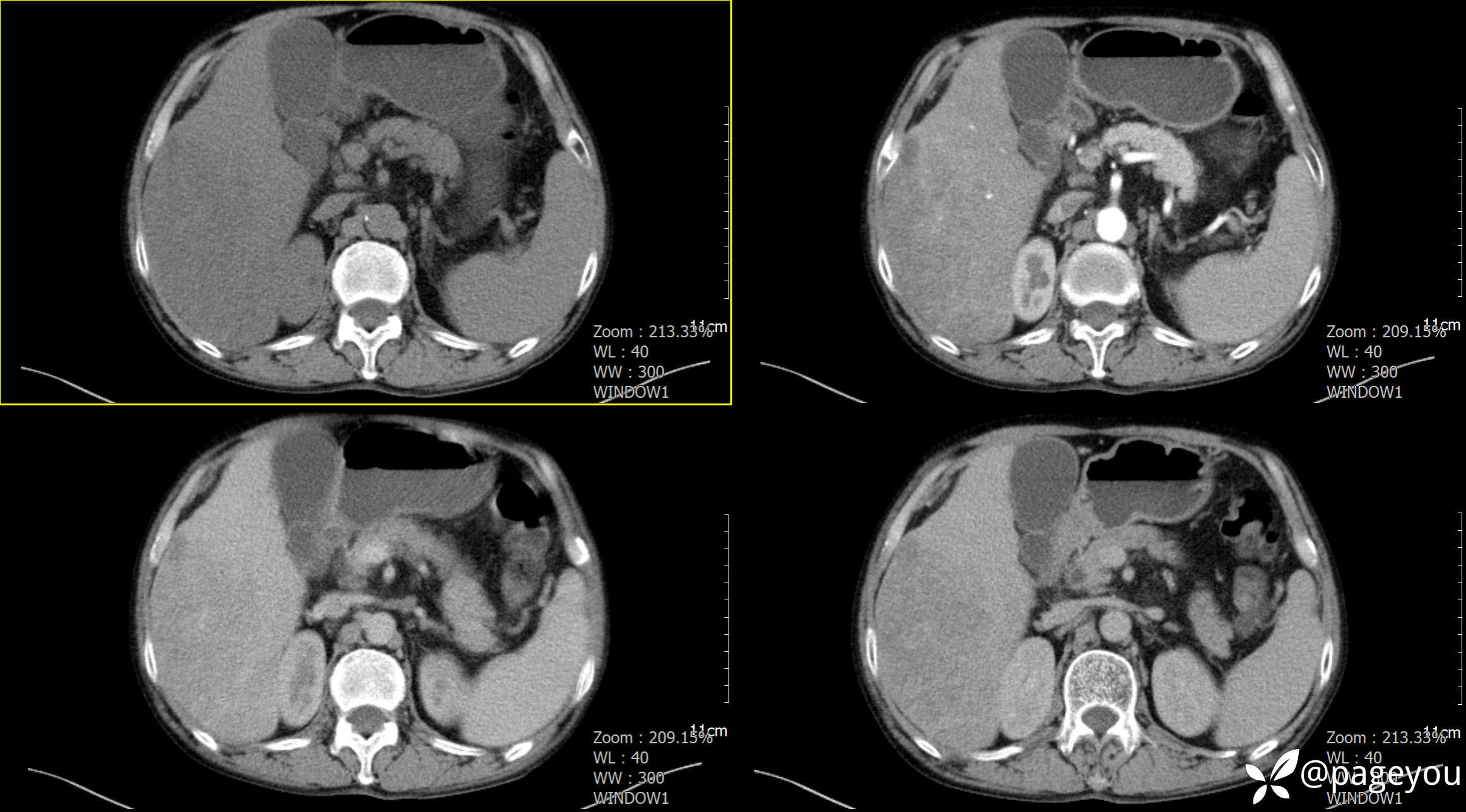
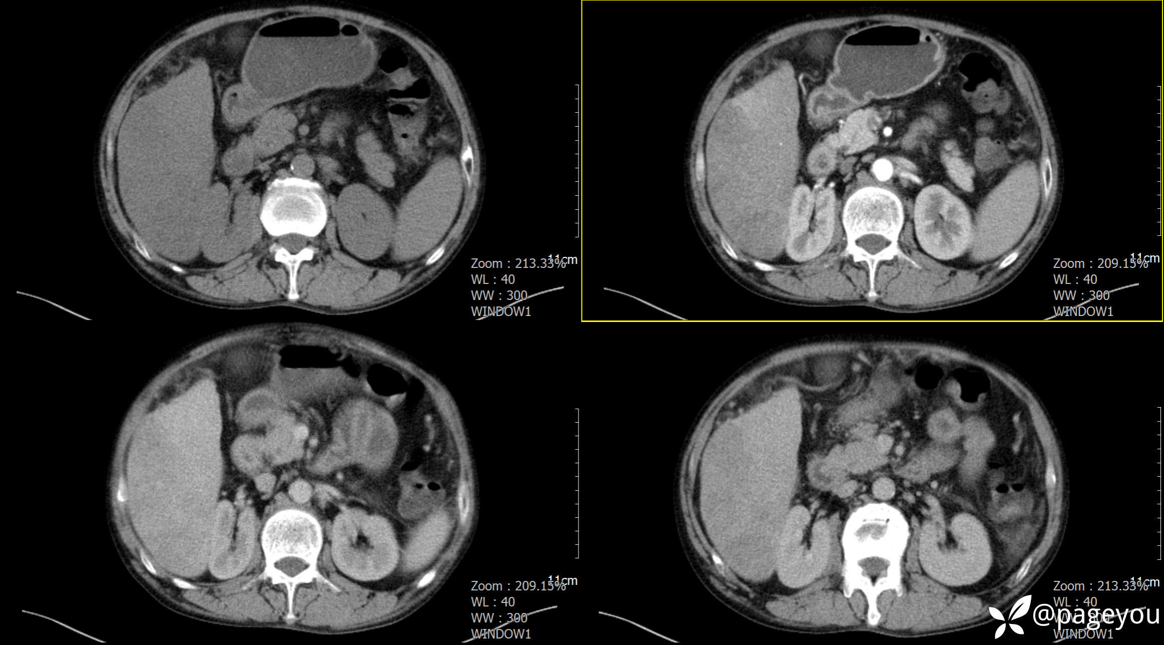
CT检查:











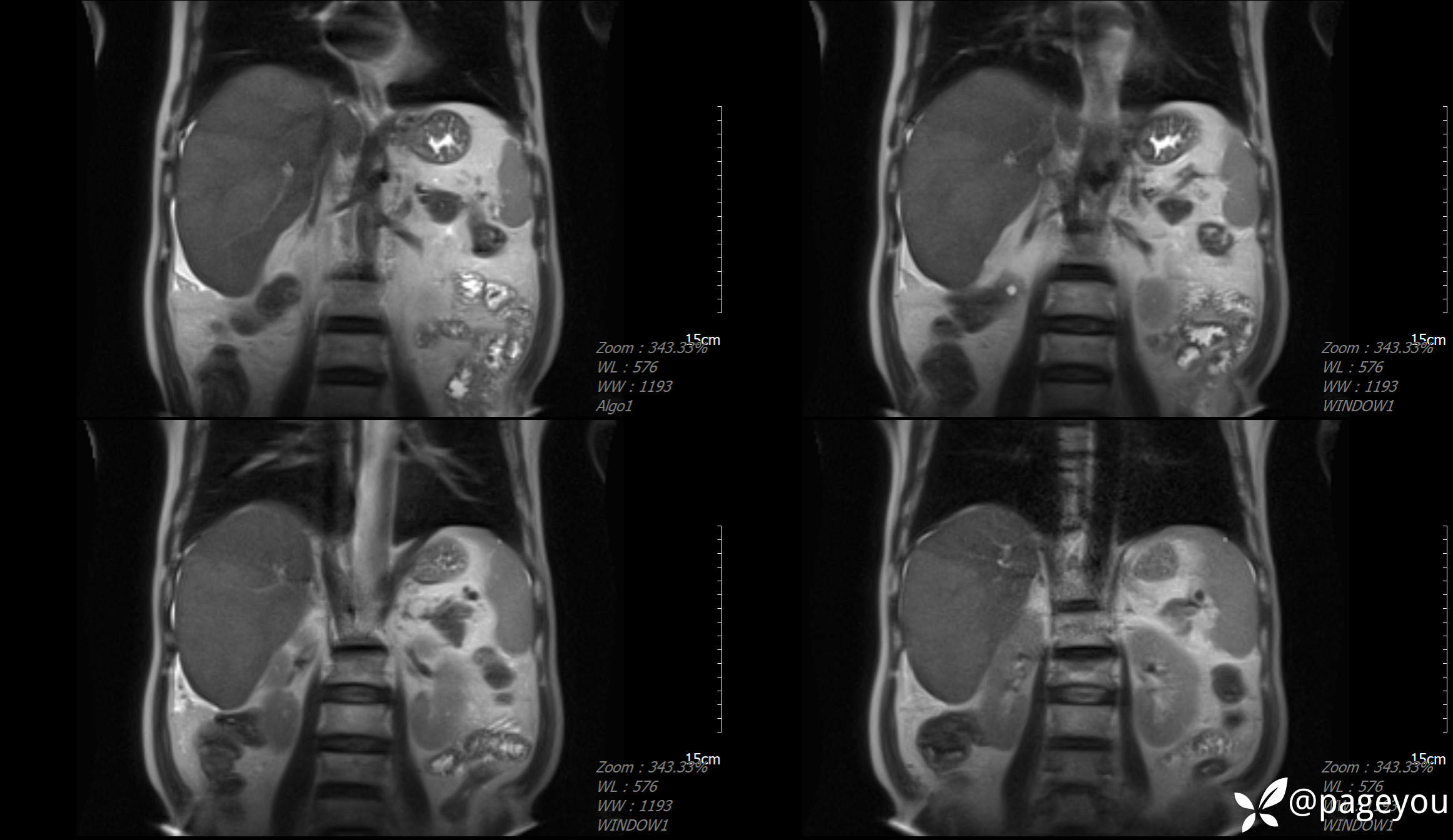
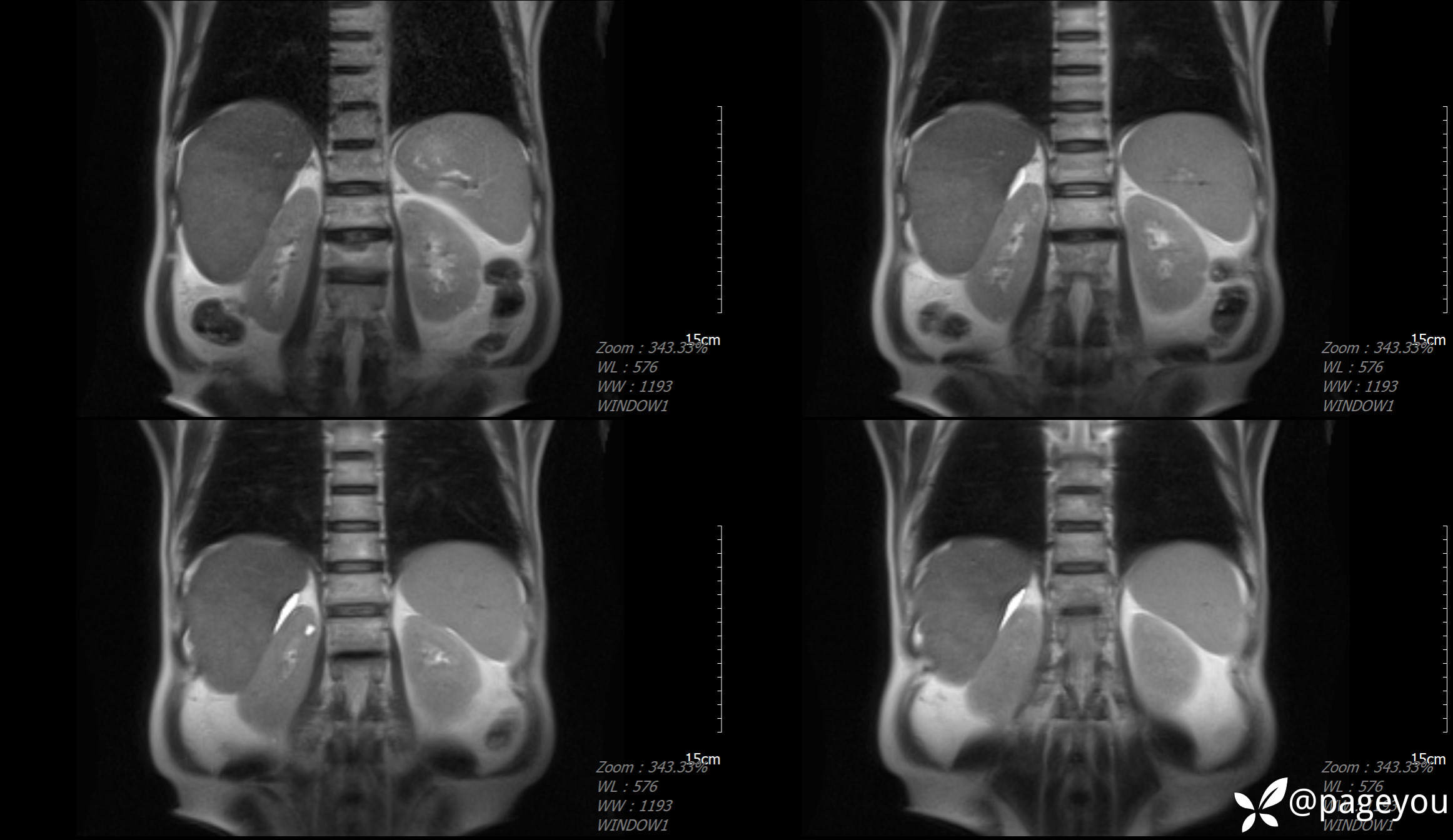
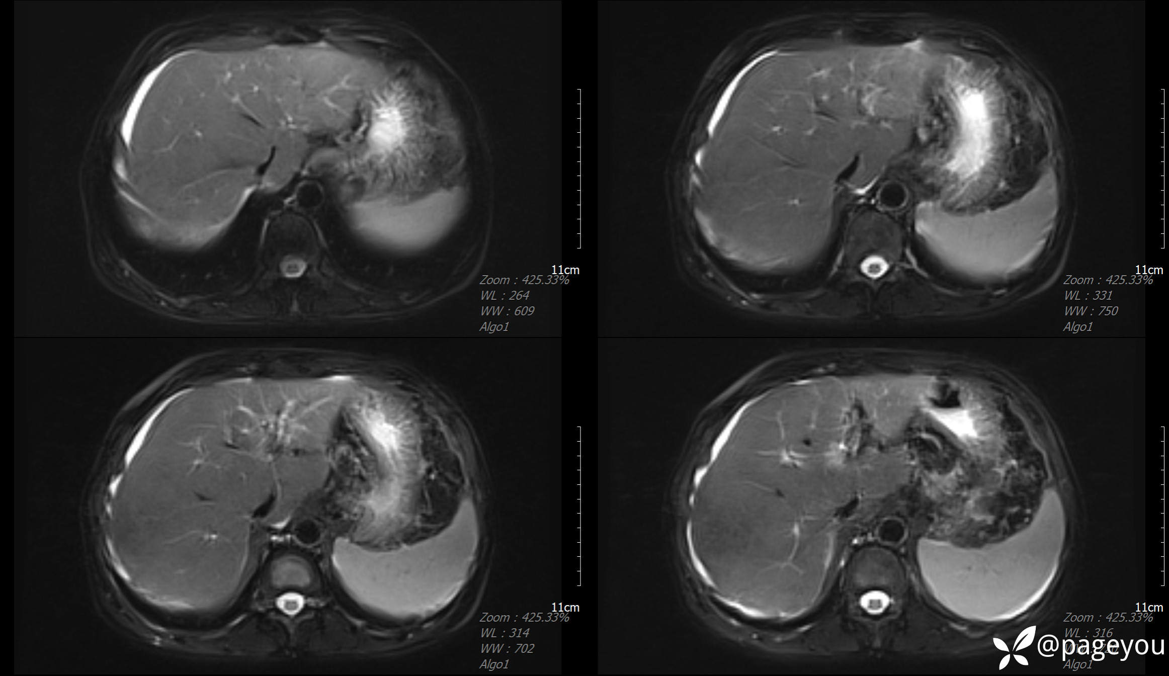
MRI检查:

























病例信息
患者男性,51岁。
主诉:间断恶心、呕吐,腹胀10余天。
现病史:家属代述患者于10天前,恶心、呕吐数次,为胃内容物,腹胀,就诊当地医院,查腹部彩超示肝脏弥漫性病变、腹腔积液,经对症治疗后症状未见明显好转,为求诊治,遂来我院。
既往史:既往无肝炎病史。
实验室检查:

CT检查:











MRI检查:

























