56岁/男,持续性干咳1周余,外院超声发现肝占位,少见病例---结果公布~
病例信息
性别:男
年龄:56岁
主诉:持续性干咳1周余
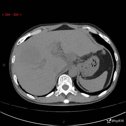
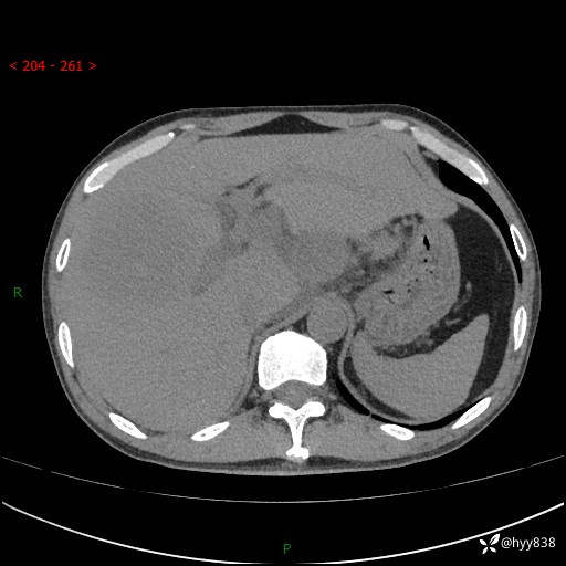
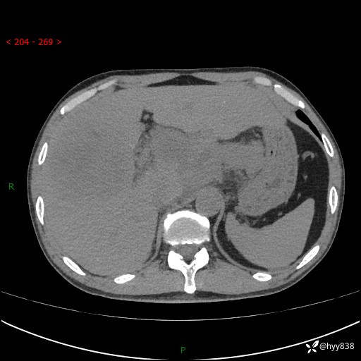
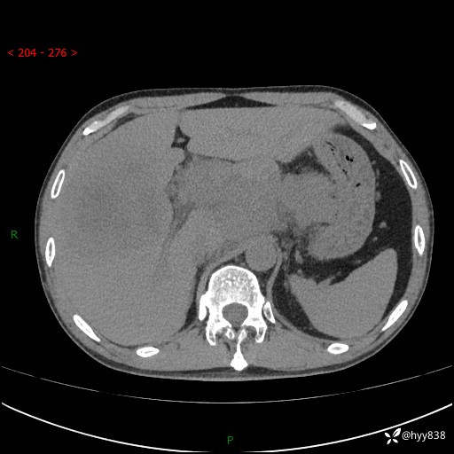
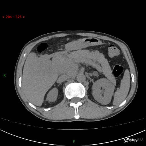
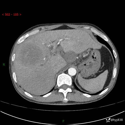
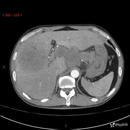
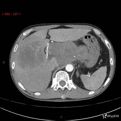
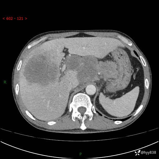
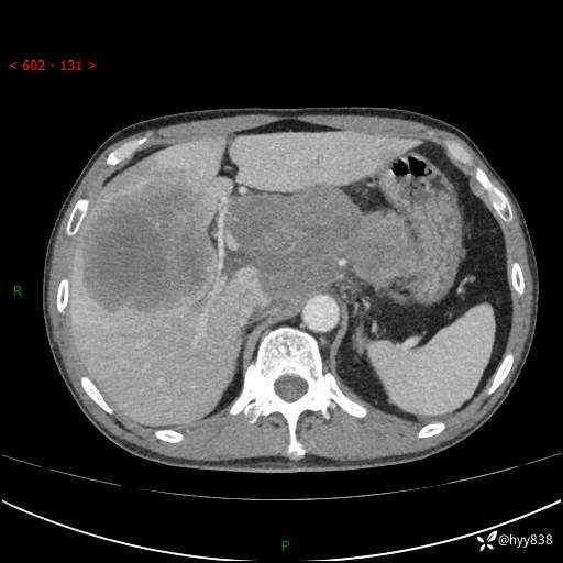
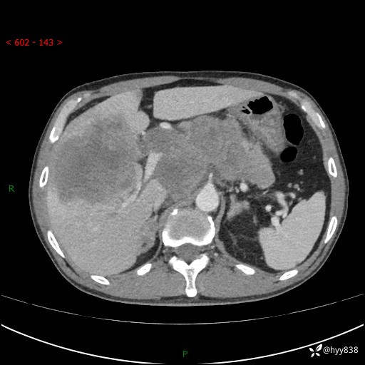
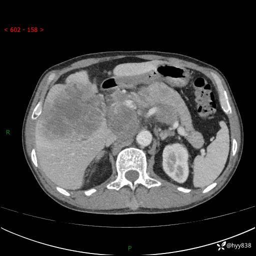
现病史:患者1周前无明显诱因出现刺激性干咳,伴食欲减退,无痰,无发热、头晕头痛、恶心呕吐、腹痛腹泻、胸闷喘气、厌油、巩膜黄染等不适,于当地诊所就诊并予以输液治疗,具体不详,患者诉干咳症状稍微好转,现患者为行进一步检查于当地第五人民医院就诊,肝脏彩超提示“肝占位性病变”,遂转入我院门诊就诊,经检查后门诊以“肝占位性病变”收入我科。 患者自起病以来精神、食欲如上述、睡眠一般,大小便正常,近半月内体重降低20余斤,体力无明显下降。
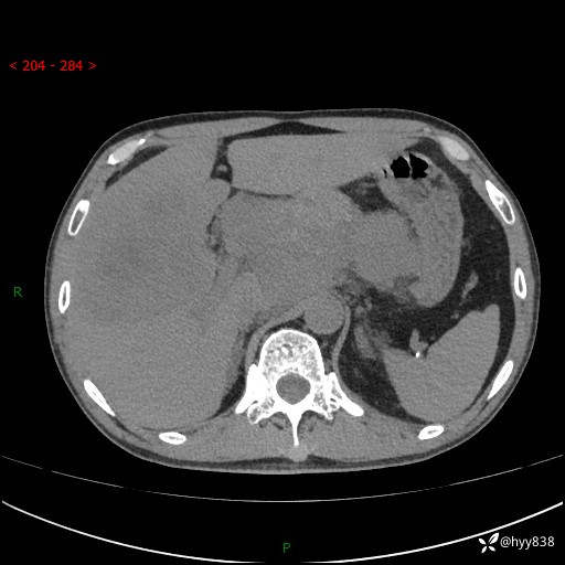
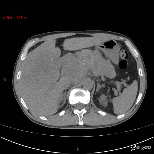
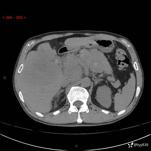
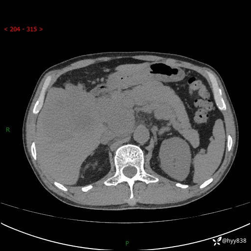
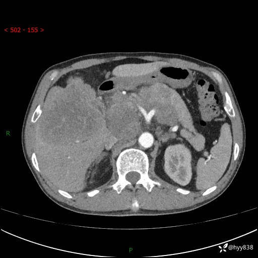
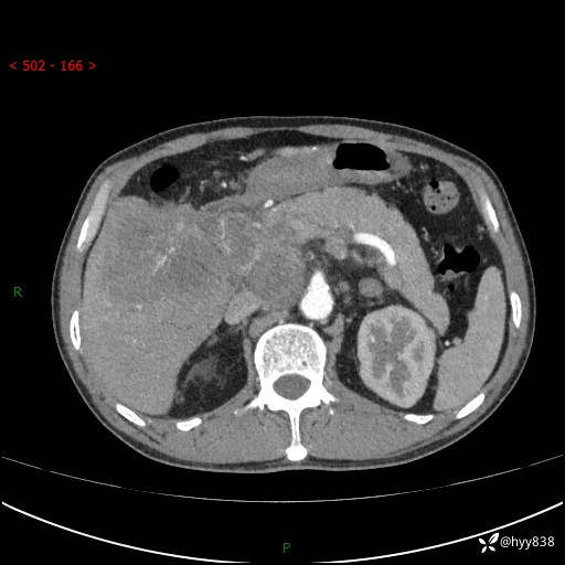
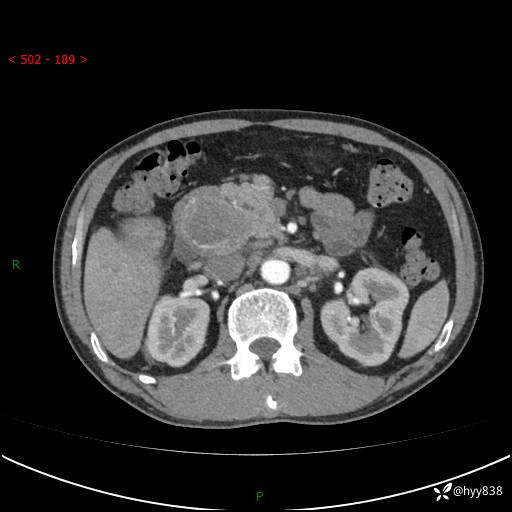
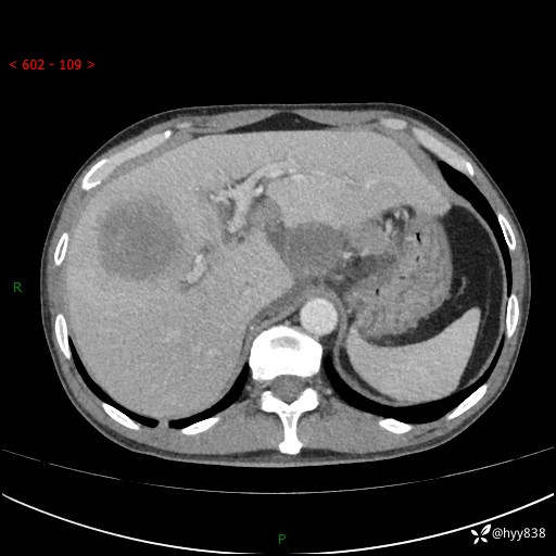
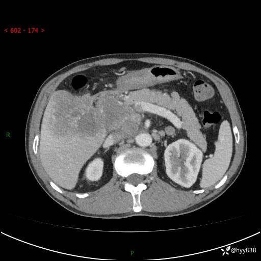
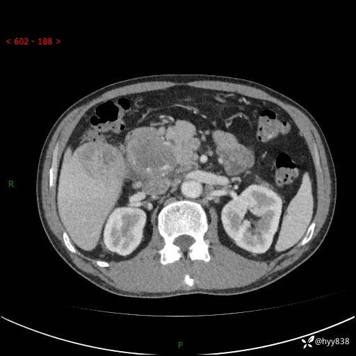
上腹部CT平扫+增强(两期)






































































