老年男性,常规体检发现肝占位,少见病例,难度系数★★★★---结果公布~
患者性别:男
患者年龄:59岁
简要病史:因体检发现肝占位1周 入院
既往史:肺气肿4年;磺胺过敏;否认高血压、糖尿病、高血脂、心脏病、肝炎、结核等病史。否认手术外伤史 。
体格检查:腹平坦,未见胃肠型及蠕动波,腹肌软,无压痛,肝脾肋下未及,未触及明显包块,肝区及双肾区无叩击痛,移动性浊音阴性,肠鸣音正常。
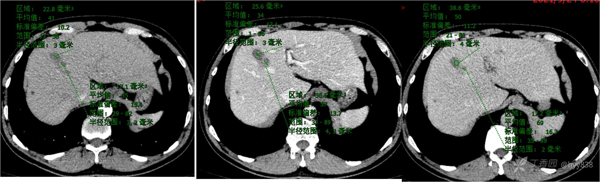
辅助检查:CT MRI
临床诊断:肝占位
治疗经过:手术
讨论:病变性质?
腹部CT平扫

增强(常规三期)

MRI平扫

增强(三期)
















































