老年男性,检查发现心脏肿物1周余。少见病例,请讨论---结果公布~
胡志勇HZY 达人已点赞病例信息
性别:男
年龄:72岁
主诉:检查发现心脏肿物1周余。
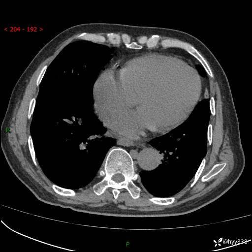
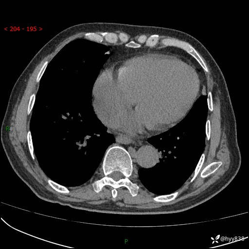
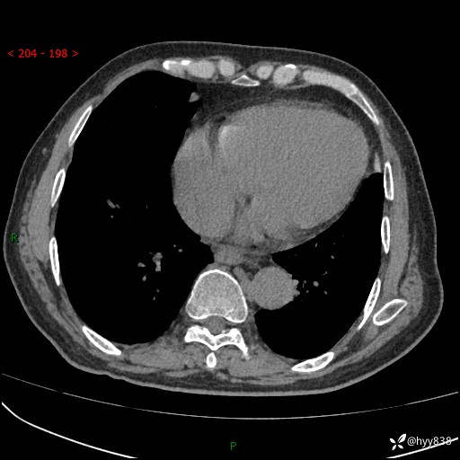
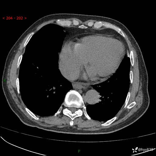
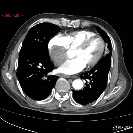
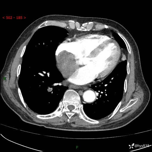
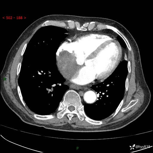
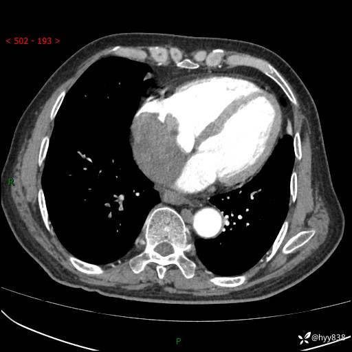
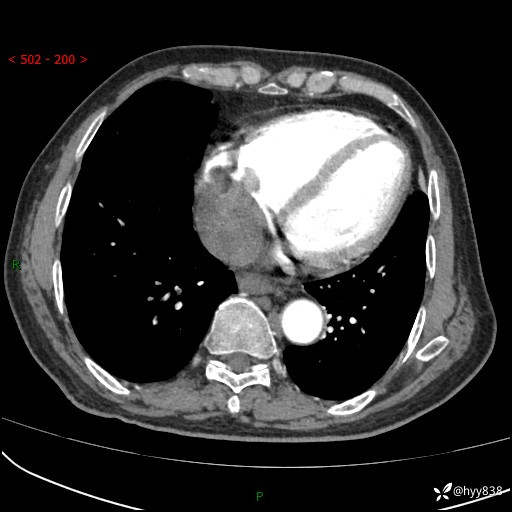
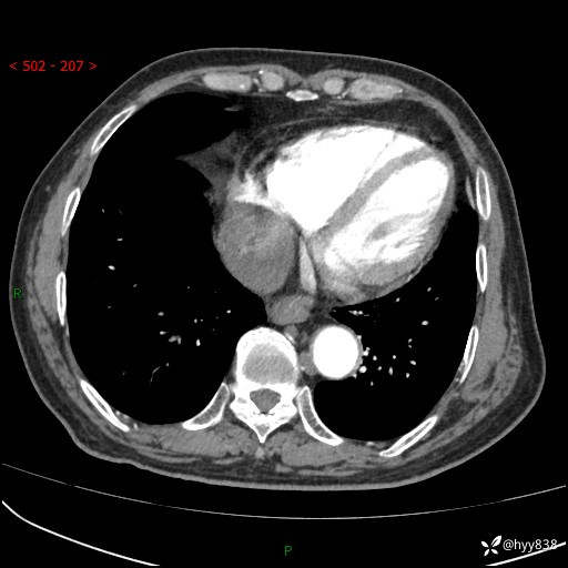
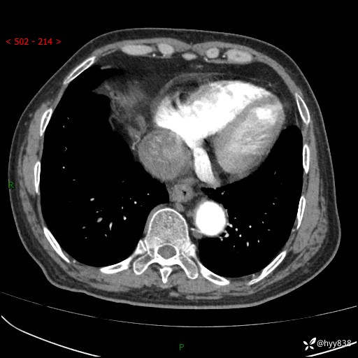
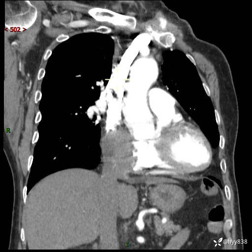
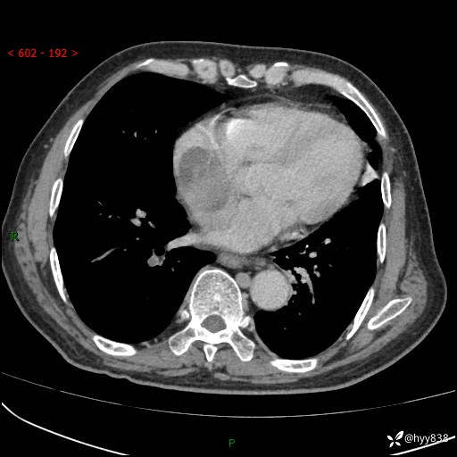
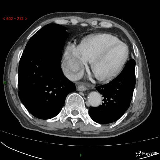
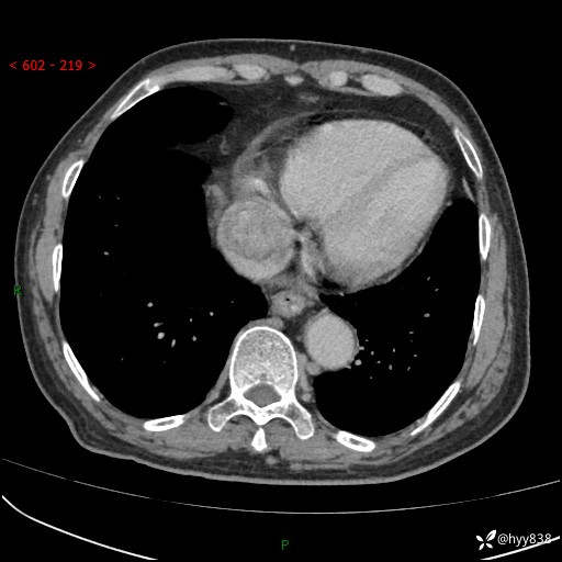
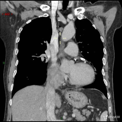
现病史:患者一周余前因腹胀就诊我院消化科门诊,查心脏彩超提示右房内异常回声(粘液瘤?),无明显心慌、气喘、胸闷,无明显胸痛、咳嗽咳痰等不适,活动量增加后出现心慌、气喘不适。现为求进一步治疗,就诊我科,门诊遂以“心脏肿物”收入院。 自发病以来,精神睡眠一般,食欲尚可,大小便正常,体力下降,体重无明显变化。
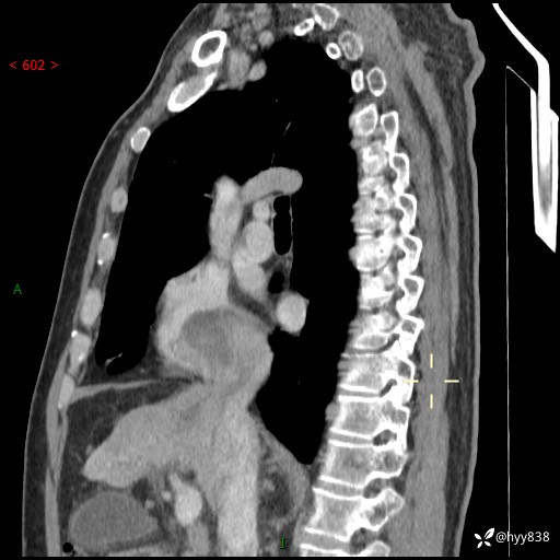
胸部CT平扫+增强




















胡志勇HZY 达人已点赞病例信息
性别:男
年龄:72岁
主诉:检查发现心脏肿物1周余。
现病史:患者一周余前因腹胀就诊我院消化科门诊,查心脏彩超提示右房内异常回声(粘液瘤?),无明显心慌、气喘、胸闷,无明显胸痛、咳嗽咳痰等不适,活动量增加后出现心慌、气喘不适。现为求进一步治疗,就诊我科,门诊遂以“心脏肿物”收入院。 自发病以来,精神睡眠一般,食欲尚可,大小便正常,体力下降,体重无明显变化。
胸部CT平扫+增强




















