dxy logo
首页丁香园病例库全部版块
搜索
登录

病例病例分享|老年男性,发现腹膜后肿瘤3天,“貌似”很典型,请讨论--结果公布

影像核医学版版主 · 发布于 2024-03-25 · IP 湖北湖北
4213 浏览
推荐、达人点赞 2 项荣誉
这个帖子发布于 1 年零 244 天前,其中的信息可能已发生改变或有所发展。

年龄:61岁

主诉:发现腹膜后肿瘤3天

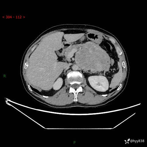
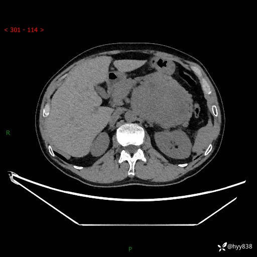
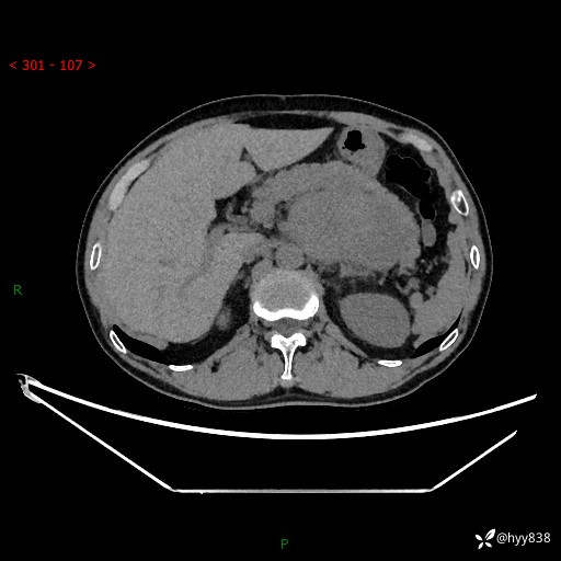
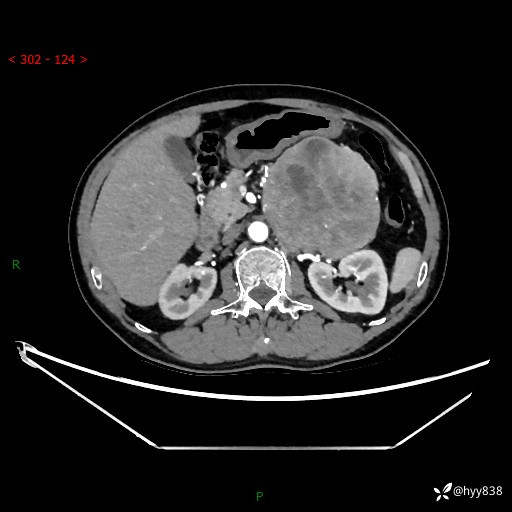
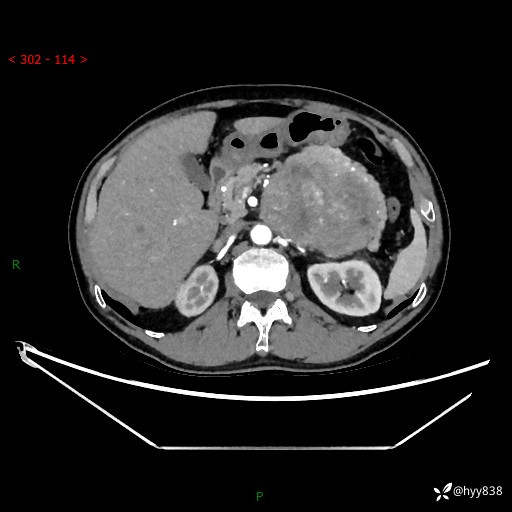
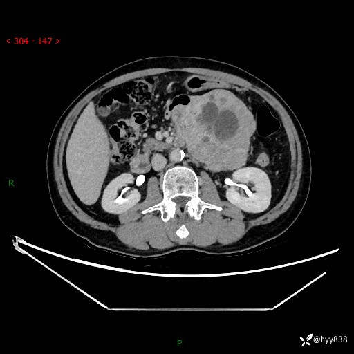
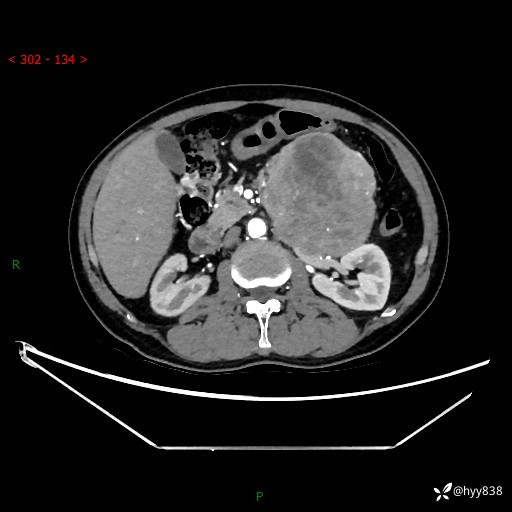
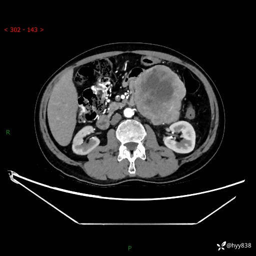
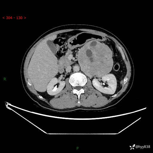
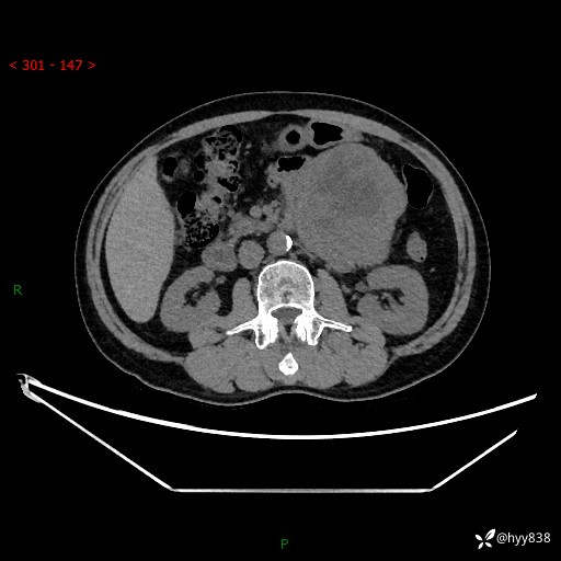
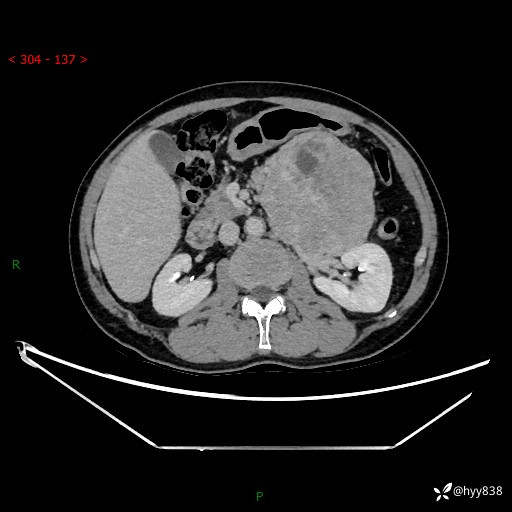
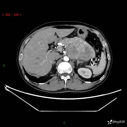
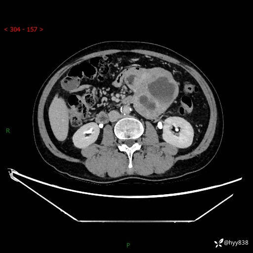
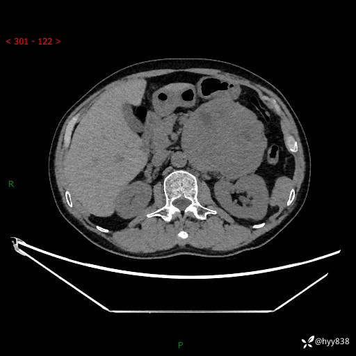
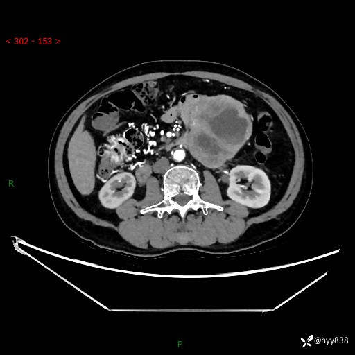
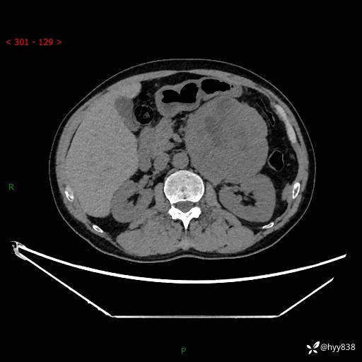
腹部CT平扫+增强(动脉期+静脉期)

img
img
img
img
img
img
img
img
img
img
img
img
img
img
img
img
img
img
img
img
img
img
腹膜后肿瘤 (34)
纠错
33 7 17
同行评议(0)
已评议
不开通精选
开通精选
精选已授权,待上线
评议结果暂未公布
参与评议
去邀请
NaN
病例完整NaN
临床实用NaN
诊疗科学NaN
学术价值NaN

全部讨论(0)

默认最新
avatar
33
分享帖子
share-weibo分享到微博
share-weibo分享到微信
认证
返回顶部