【影诊笔记596】脾脏占位01,你的病谱能网住吗?请分析,留言查询病理及术程!
过去的时光难忘怀 等 2 位达人已点赞男,33岁
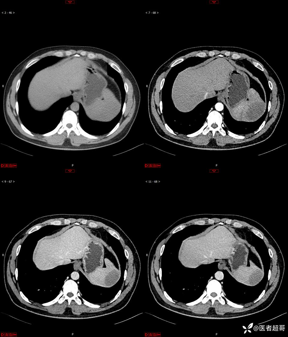
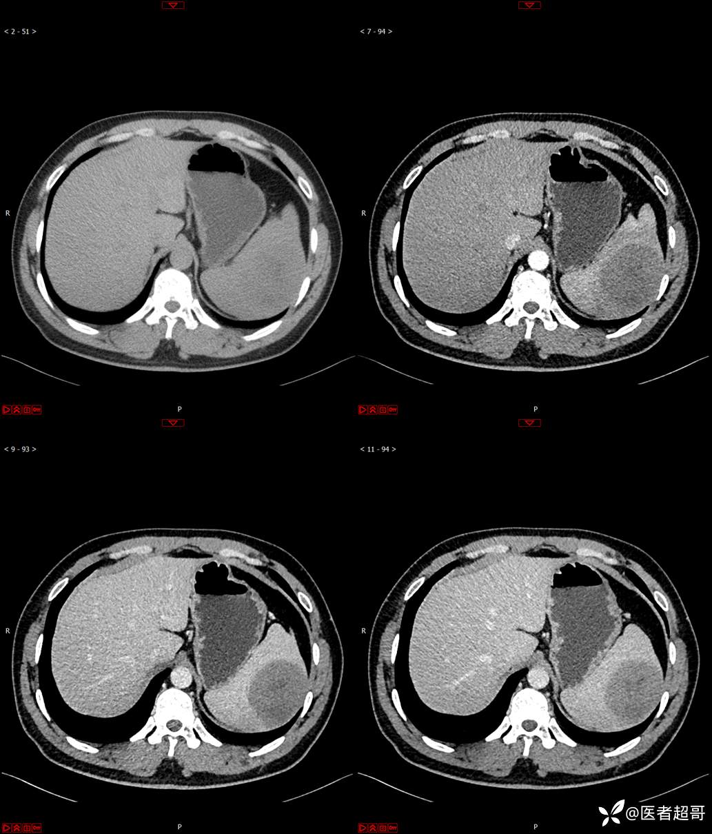
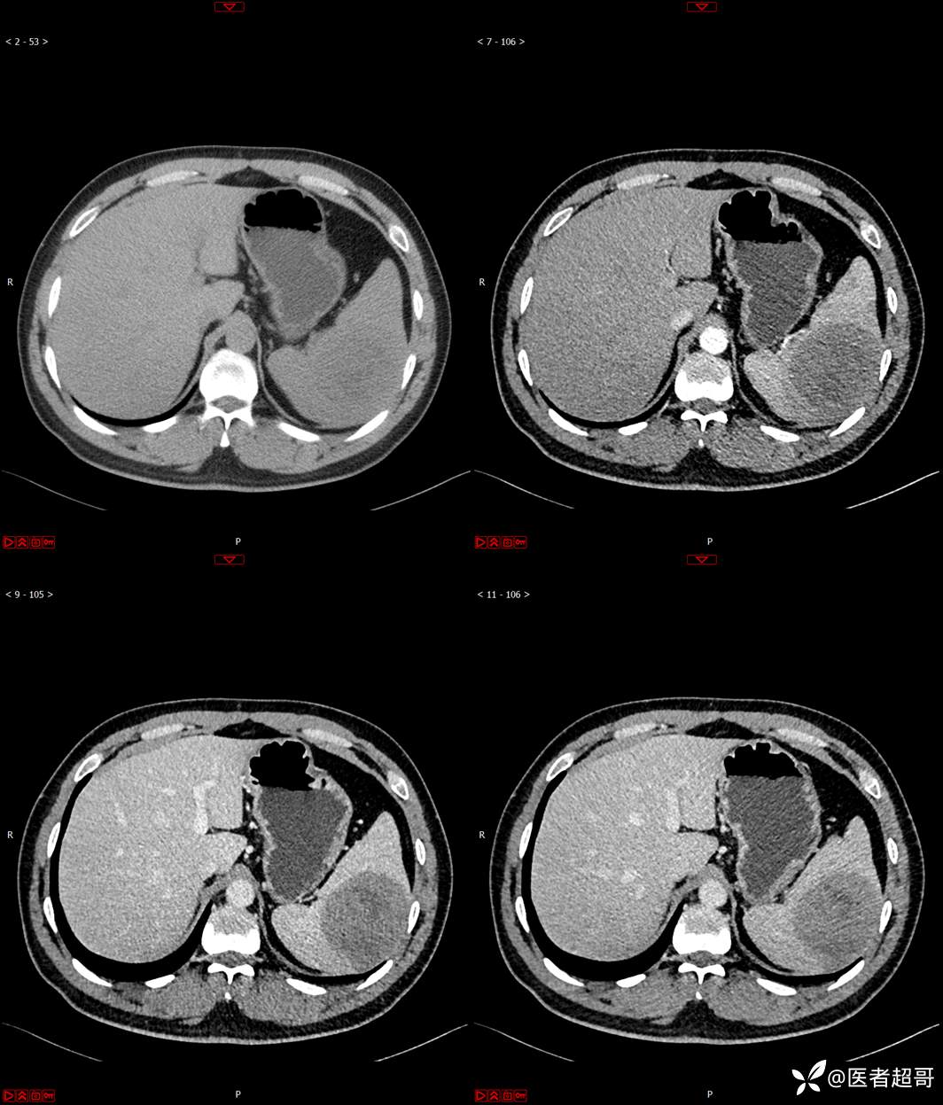
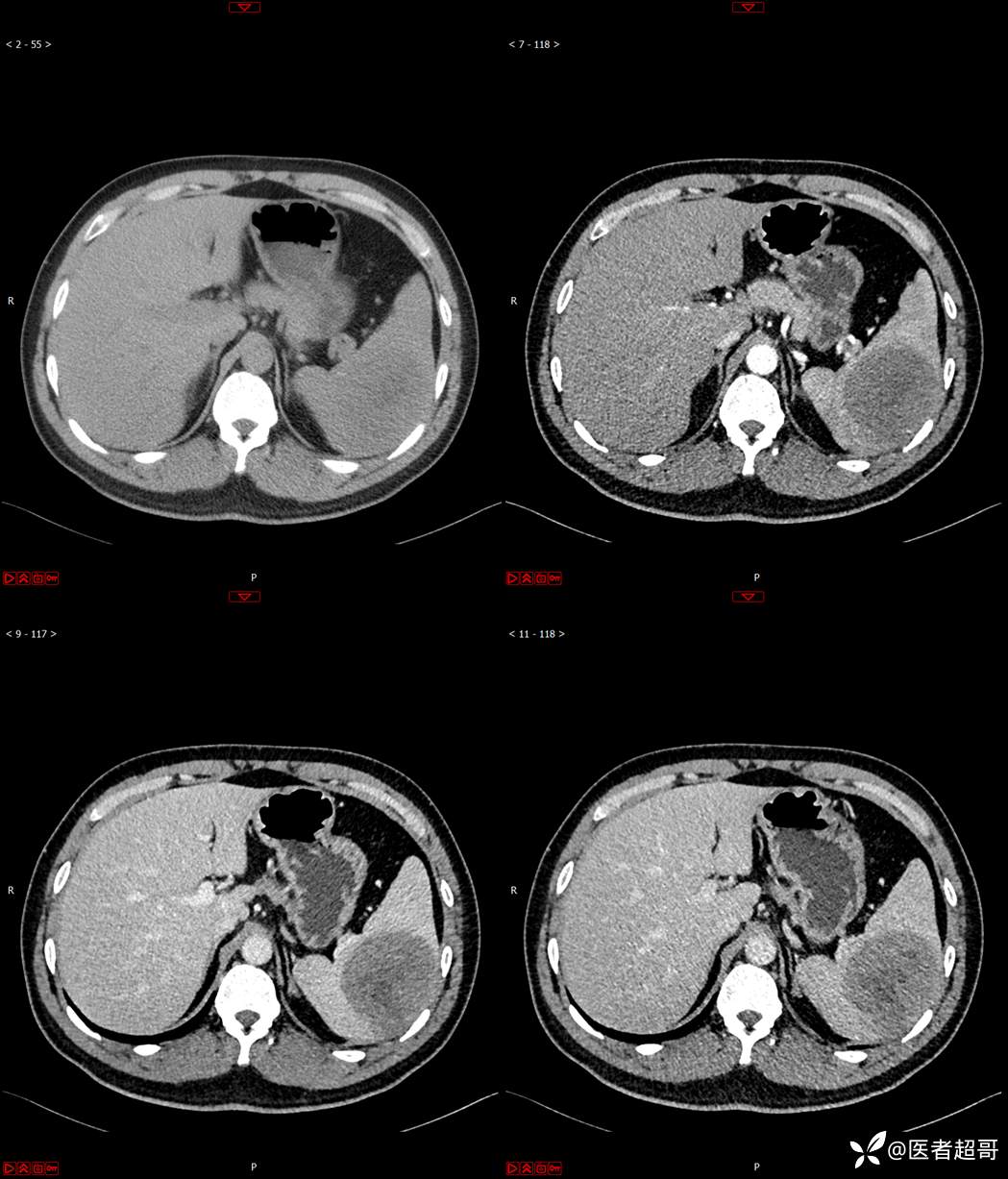
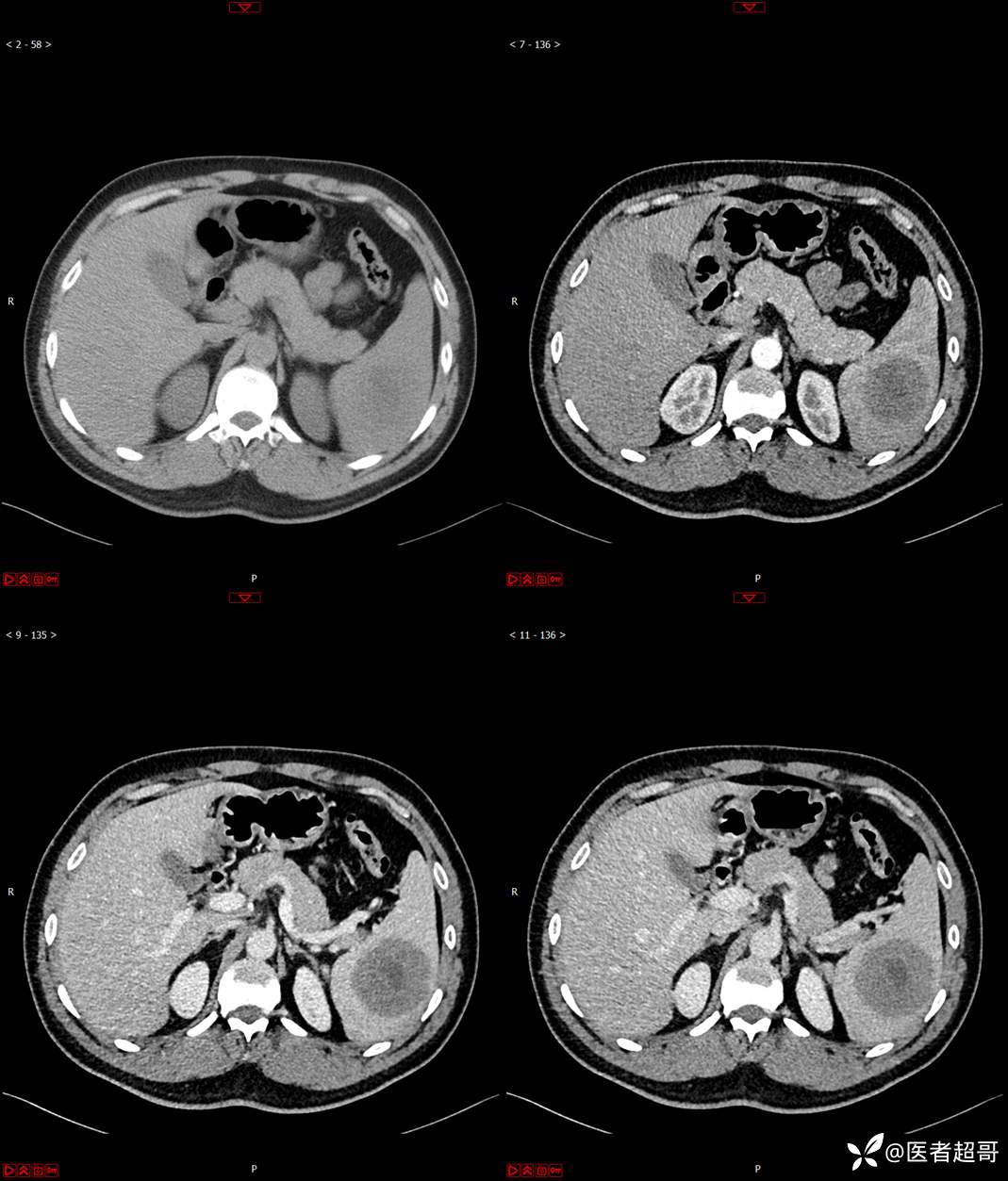
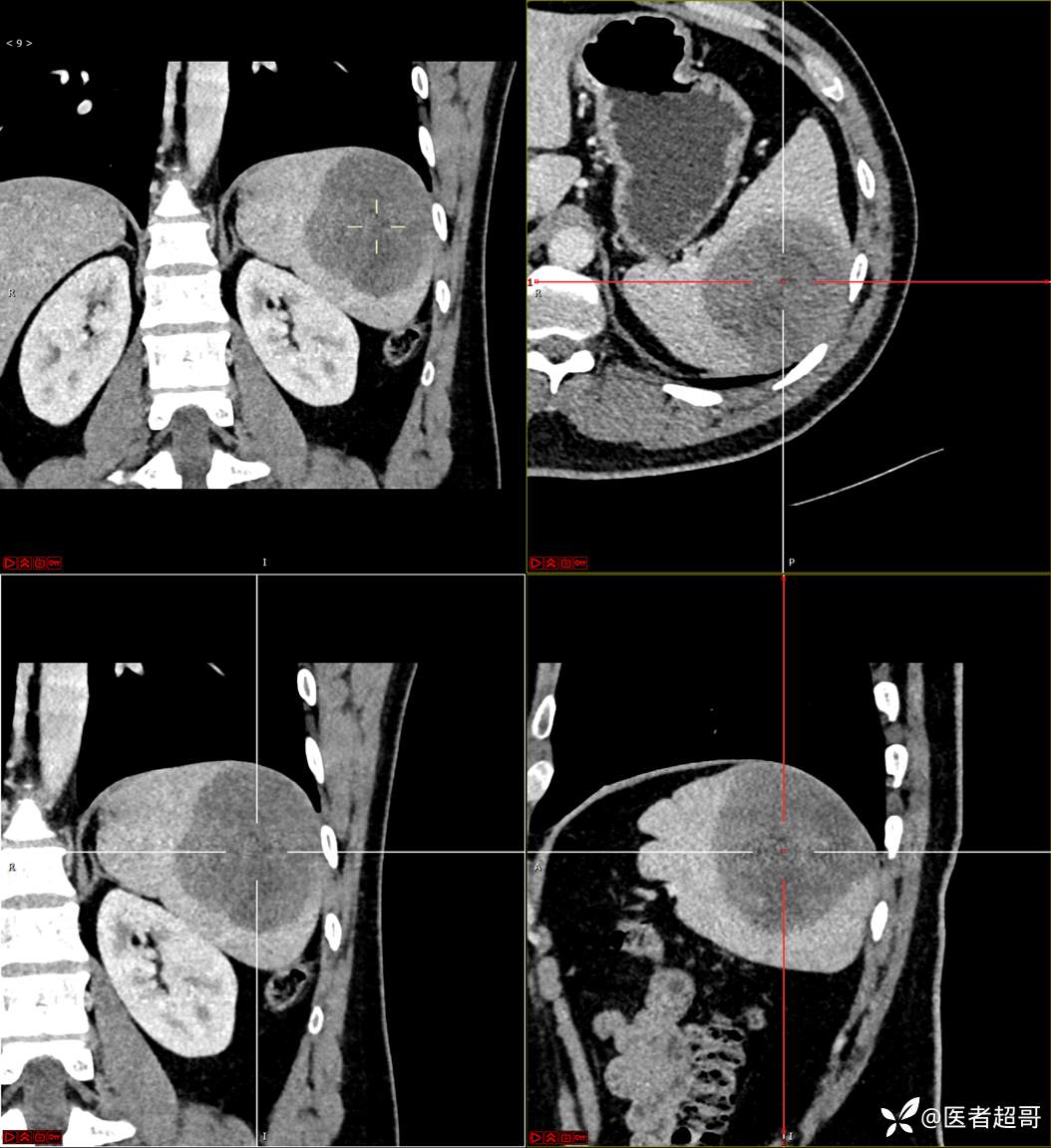
主 诉:发现脾占位2月余。
现病史:患者2月余前体检彩超提示脾占位性病变,未予特殊诊治,2023.12.1于潍坊市坊子区人民医院行肝胆胰脾MR平扫提示脾脏占位性病变,左肾小囊肿,现患者无腹胀、腹泻,无恶心呕吐,无胸闷憋气等症状,今为求进一步治疗,患者来我院就诊,门诊以“脾占位性病变”收入院。患者自发病以来,一般情况可,神志清,精神可,饮食、二便正常,睡眠可,体重体力无明显改变。
既往史:既往体健,否认高血压等,否认外伤史、手术史,其它无特殊。
个人史:无嗜烟、嗜酒。























































