【影诊笔记598】脾脏占位03,脾脏囊性占位,回帖即可查询病理,请分析!
胡志勇HZY 达人已点赞女,64岁
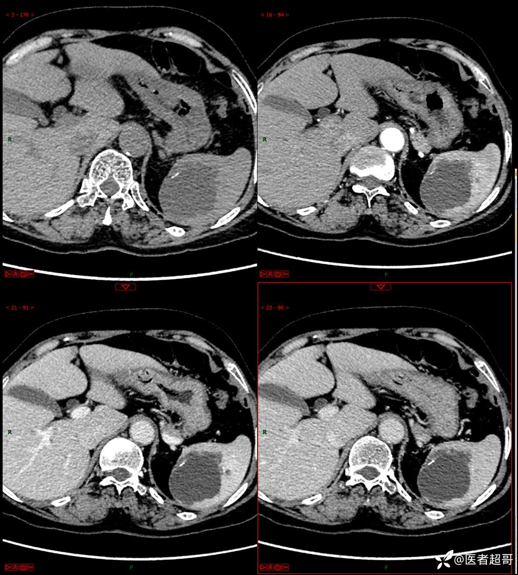
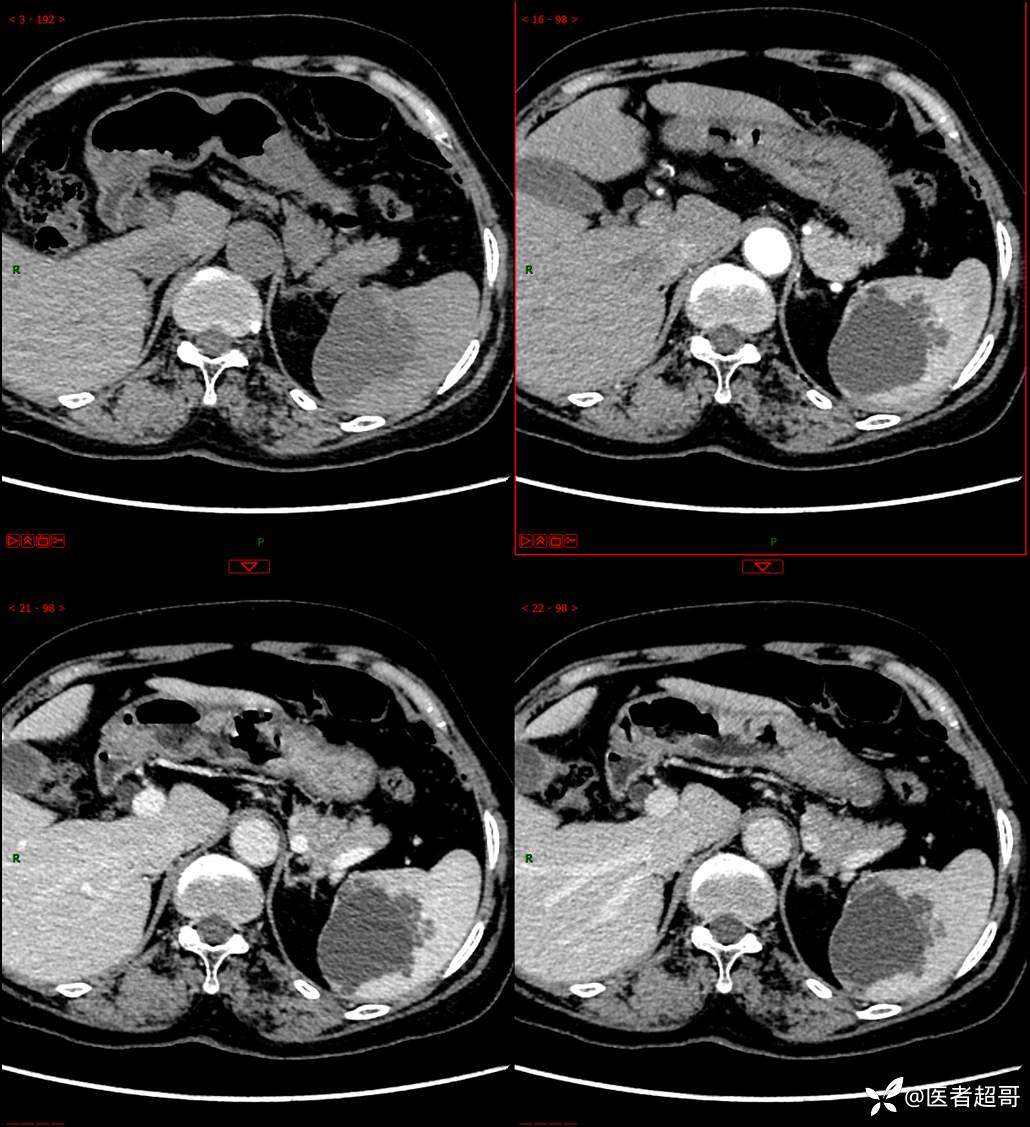
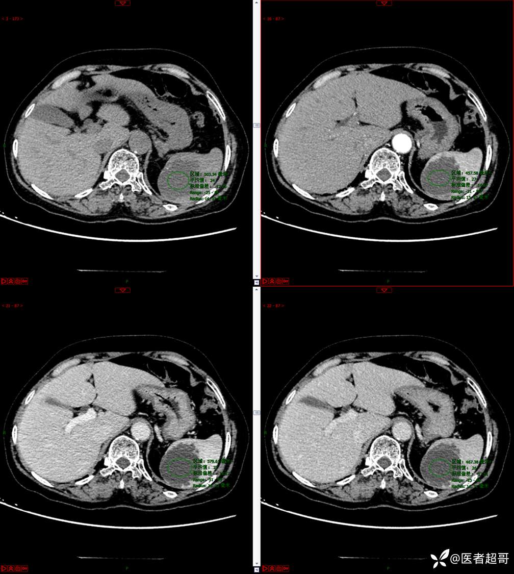
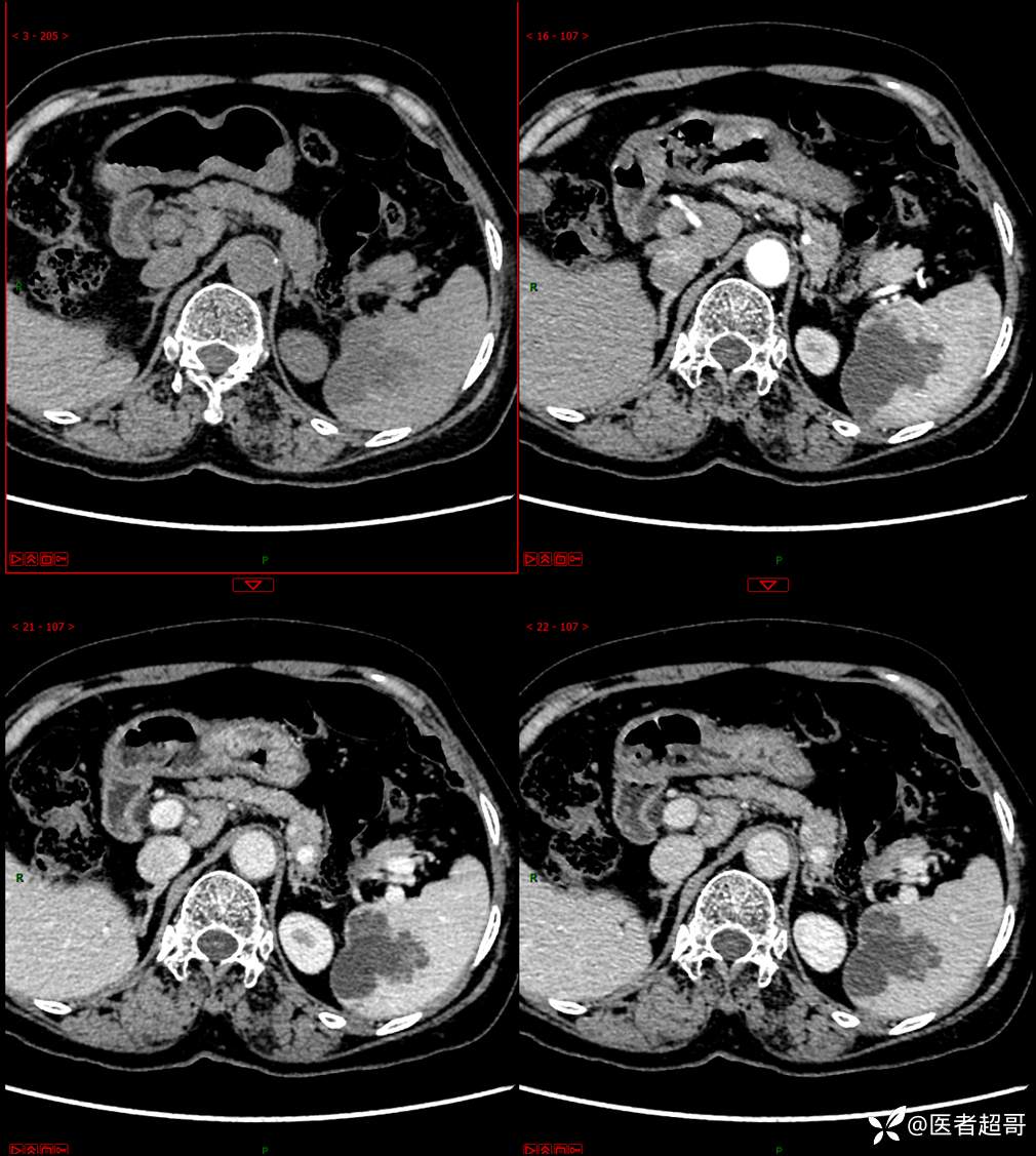
主 诉:查体发现脾肿物9天。
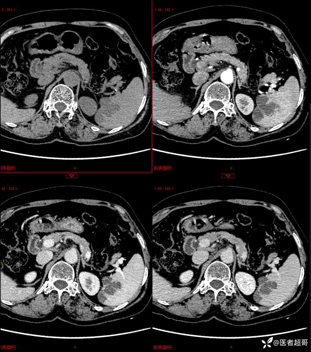
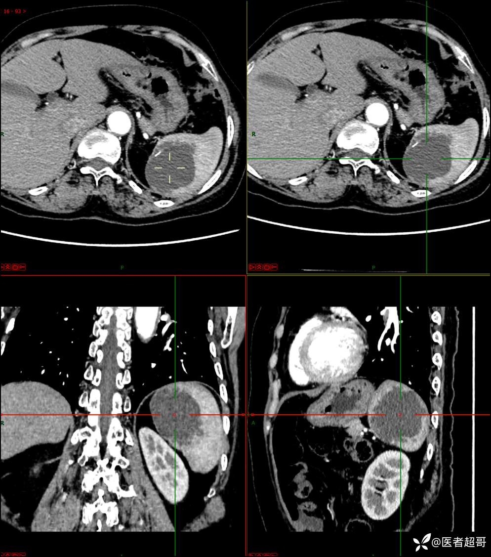
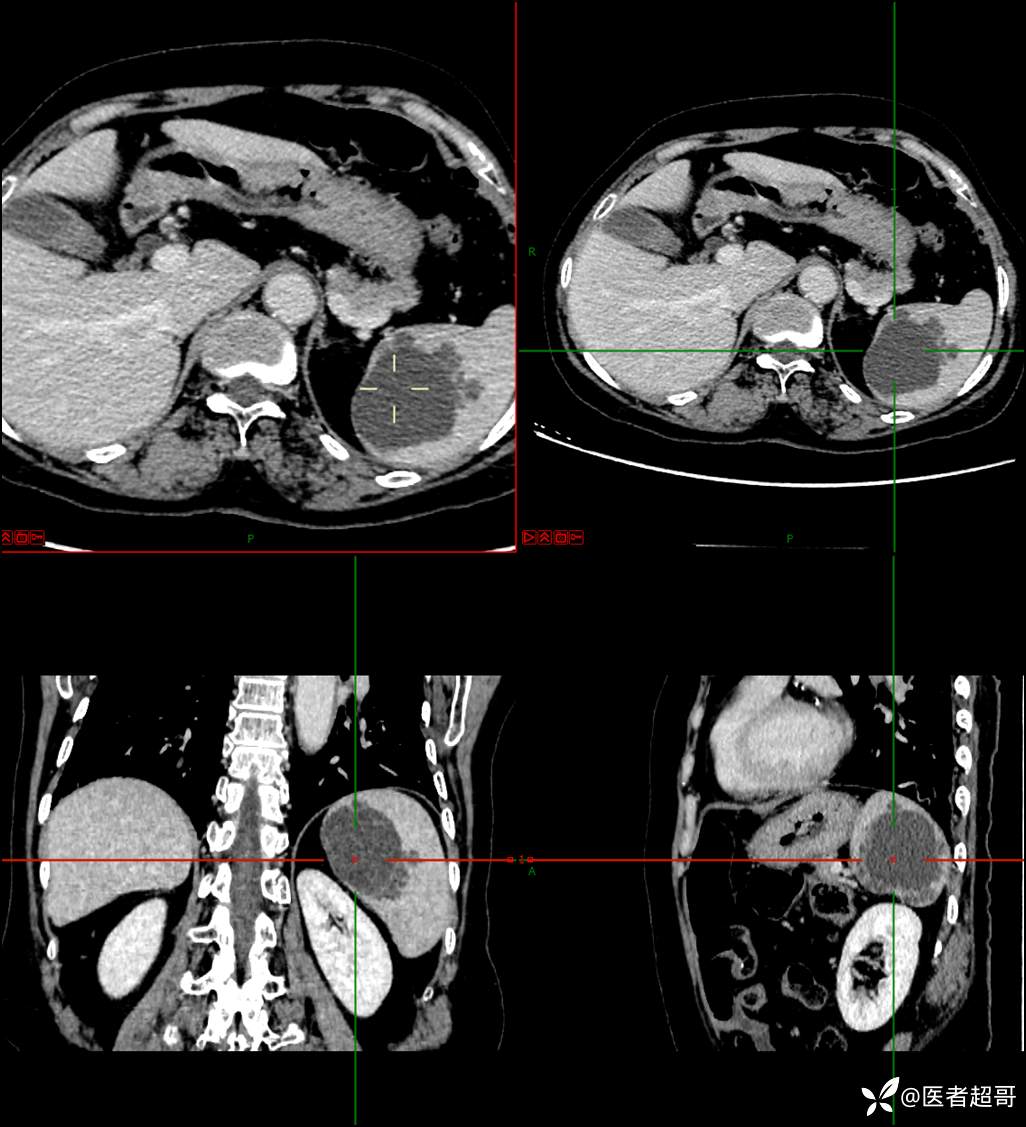
现病史:患者9天前于市人民医院查体时发现脾脏肿物,未行处理,后于我院门诊查,上腹部CT平扫+强化:脾脏占位,考虑良性,囊肿?脉管源性病变?患者诉平素无异常不适。现患者为求进一步诊疗,门诊遂以“脾肿物”收入院。患者自患病以来,神志清,精神可,饮食、睡眠可,大小便正常,体重未见明显变化。
既往史:2月前因外伤致左前臂骨折,行保守治疗,其它无特殊。
个人史:无烟酒等不良嗜好。























































