老年女性,双下肢乏力1月,CT发现脾脏占位,原发?继发?结果公布~
lingguowei_111 推荐患者性别:女
患者年龄:69岁
主诉:双下肢乏力1月余
简要病史:患者1月前因服用三七粉后出现双下肢乏力,伴纳差、血尿、黑便不适,无出血、发热、乏力、头晕、头痛、盗汗、腹痛、脱发、口腔溃疡等不适,当时未予进一步诊治。之后因乏力症状加重遂至石首市中医院查血常规示白细胞减少(2.47G/L);血小板减少(41G/L),一直吃地榆升白片未见好转,现患者为求进一步明确诊断,遂来我院血液专科就诊,门诊以“血象异常待查”收入我科。 起病起来,精神、饮食、睡眠欠佳,大小便可,体力体重有所下降。
体格检查:(-)
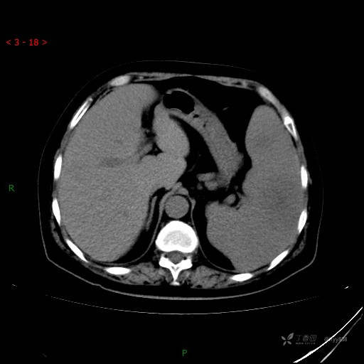
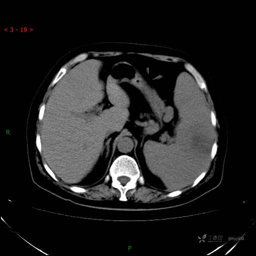
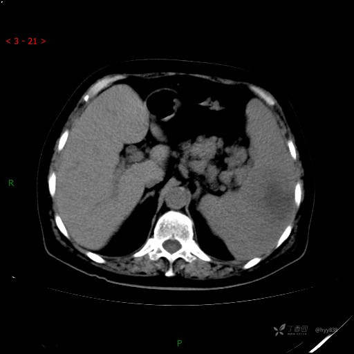
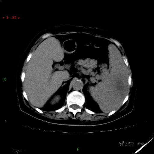
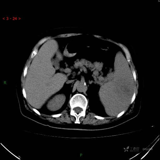
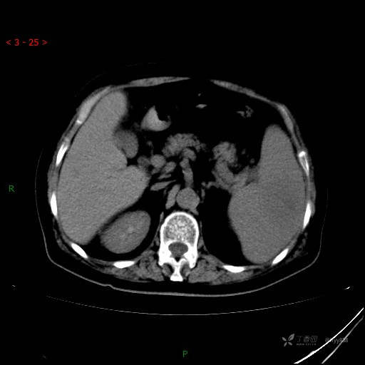
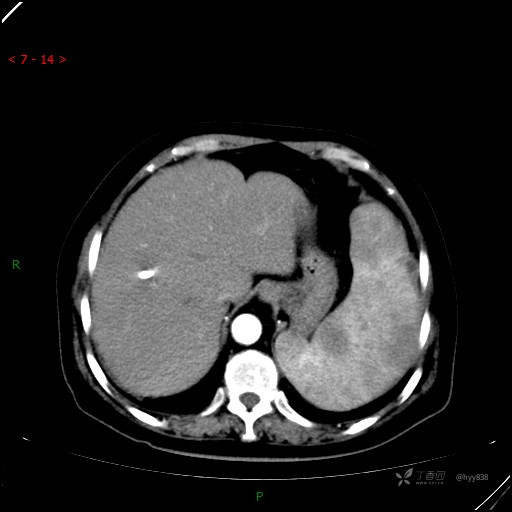
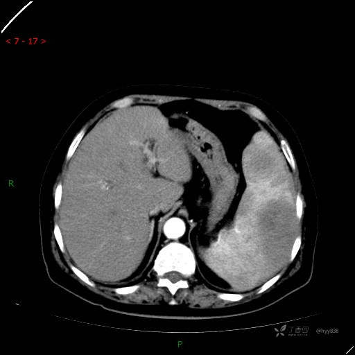
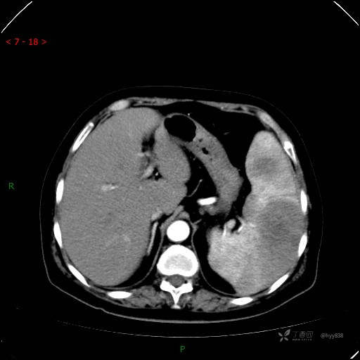
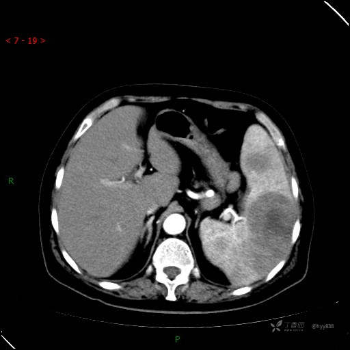
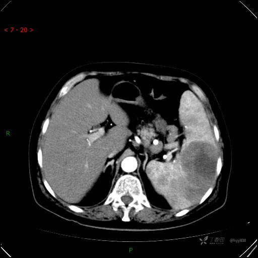
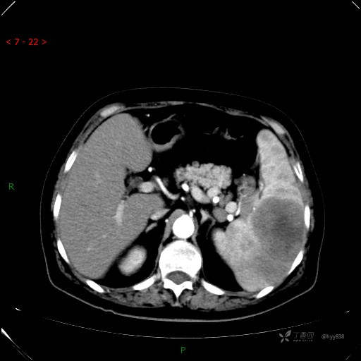
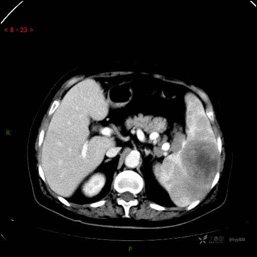
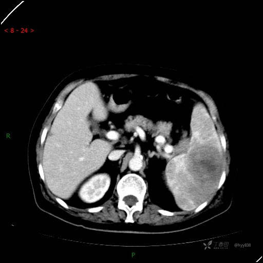
辅助检查:CT
临床诊断:血象异常待查
治疗经过:---
讨论:病变性质?
上腹部CT平扫








动脉期










静脉期





















































