老年女性,右眼球突出1月。说说鉴别诊断,看谁第一个秒---(有结果)
胡志勇HZY 达人已点赞患者性别:女
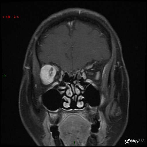
患者年龄:51岁
主诉:发现右眼球突出1月余
简要病史:患者于1月前无明显诱因发现右眼球突出,偶感磨痛、眼胀,无视力下降,无头痛,恶心呕吐等不适。10天前就诊于当地县人民医院就诊,完善头颅ct检查,诊断为右侧眼眶肿物,建议患者上级医院进一步治疗,患者因个人原因拒绝。拟行手术,来我院就诊,门诊行相关检查后以“右眼眼眶肿物”收入院。 患病以来,患者精神饮食睡眠尚可,大小便如常、体重无明显改变。
体格检查:(-)
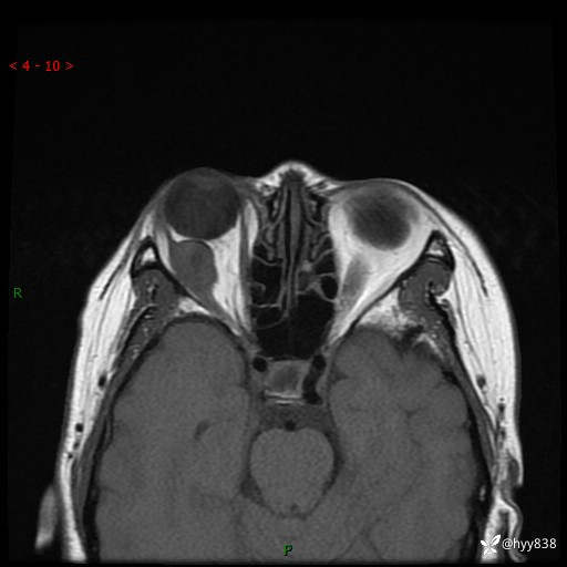
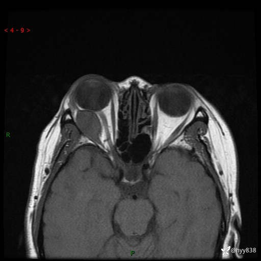
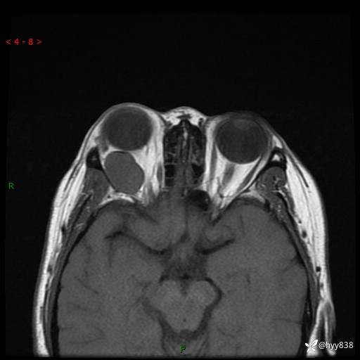
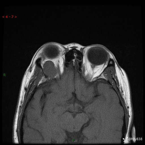
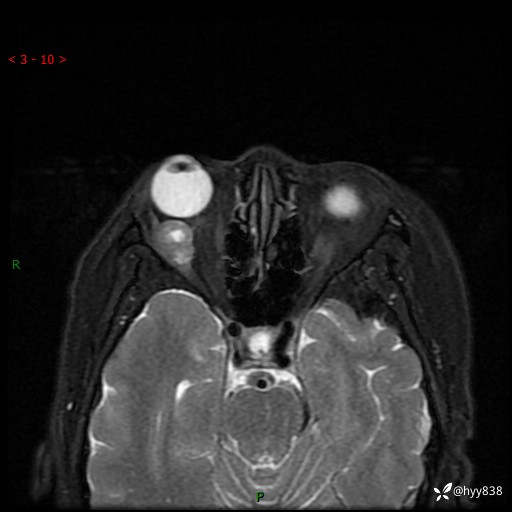
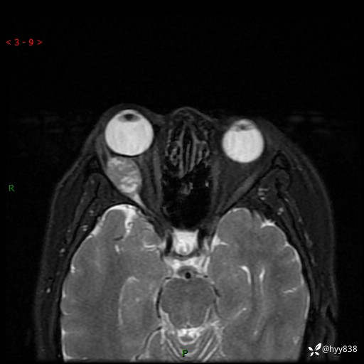
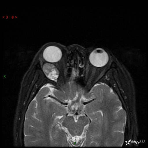
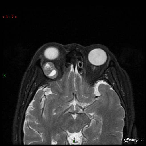
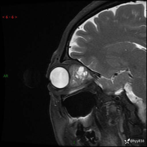
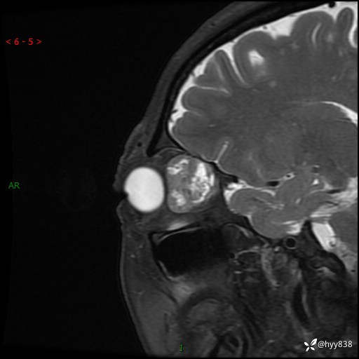
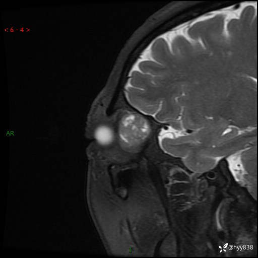
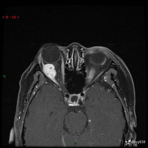
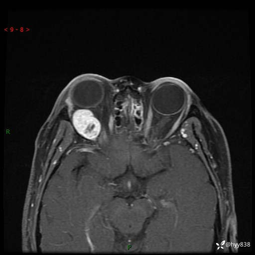
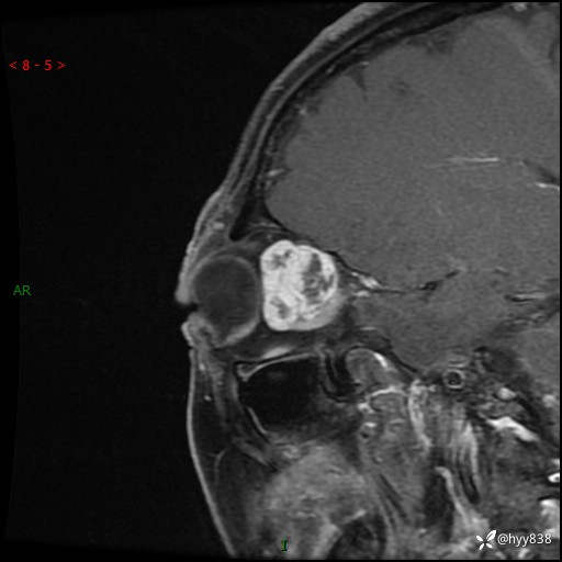
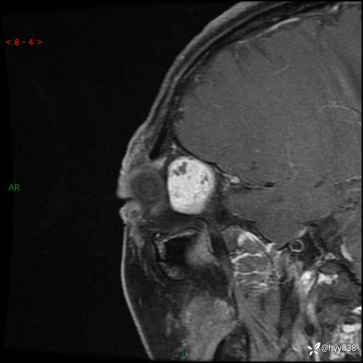
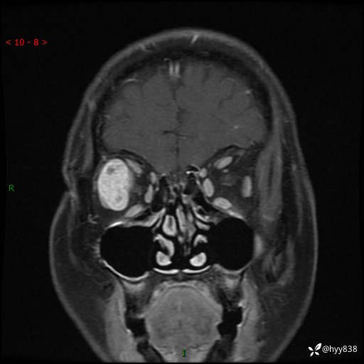
辅助检查:MRI
临床诊断:眼眶肿物
治疗经过:手术
讨论:病变性质?
眼眶MRI平扫+增强



































































