老年女性,干呕1周余,发现胃肿物5天。小坑一枚,等你来---结果公布~
胡志勇HZY 达人已点赞患者性别:女
患者年龄:57岁
主诉:干呕1周余,发现胃肿物5天
简要病史:患者1周余前无明显诱因出现干呕,查胃镜示:1.胃底隆起物性质待排;2.慢性浅表糜烂性胃窦炎;与进食及活动无明显相关,四肢乏力,有口干口苦、偶有反酸烧心,无黑便血便,无腹痛,无头痛,无恶心呕吐,无胸闷胸痛,无气喘心慌,无呼吸困难,无消瘦,无发热,无咳嗽咳痰等不适,现患者为求进一步诊治,遂至我院门诊就诊,门诊拟“胃底隆起物质”待查收住入院 患者自发病以来,精神、饮食、睡眠较差,大小便正常,体力及体重无明显变化
体格检查:(-)
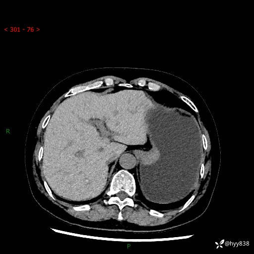
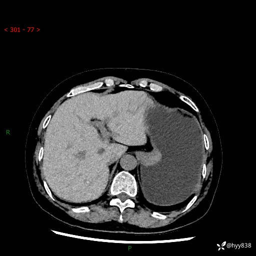
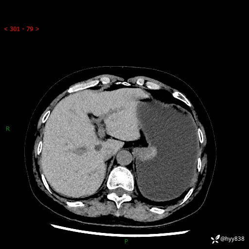
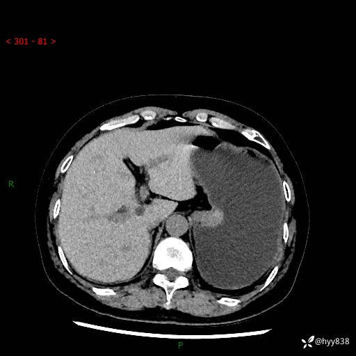
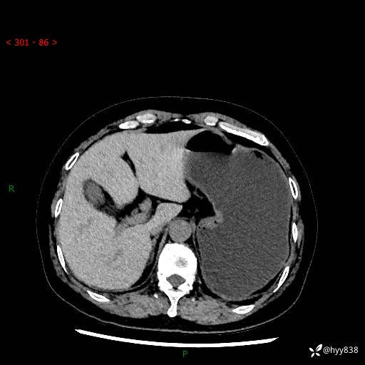
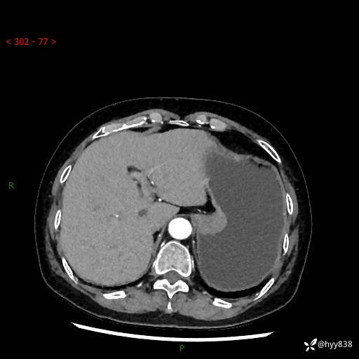
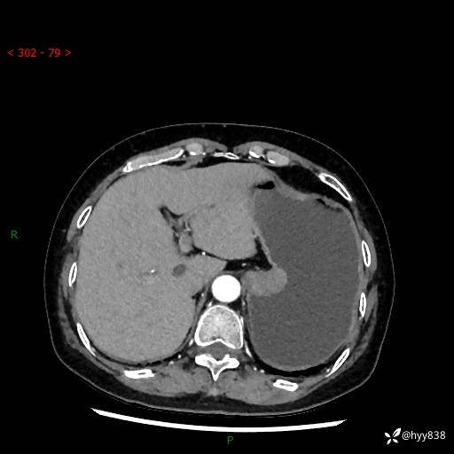
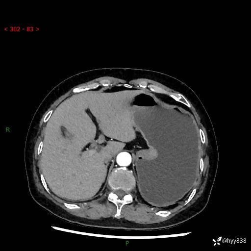
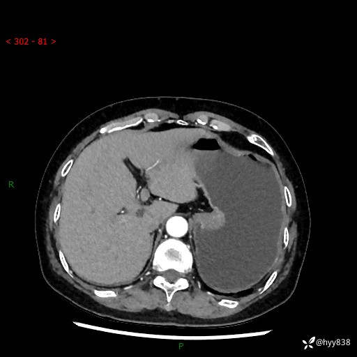
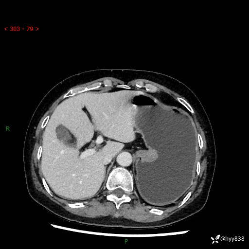
辅助检查:CT
临床诊断:胃隆起性病变
治疗经过:手术
讨论:病变性质?
胃CT平扫+增强(动脉期+静脉期)






















三期CT值:46hu 58hu 75hu















































