老年女性,偶然发现肝脏占位,综合各个序列,你考虑什么---结果公布
患者性别:女
患者年龄:66岁
主诉:发现肝脏占位性病变2天
简要病史:患者2天前因“腰疼”至当地医院就诊时发现肝脏左叶占位性病变,无发热、畏寒,无皮肤黄染,无腹痛、腹泻,无恶心、呕吐、厌油等不适,今进一步诊治遂来我院就诊,门诊以“肝脏占位性病变性质待查”收入我科。 起病以来,患者精神、睡眠一般,饮食欠佳,二便正常,体力、体重无明显减轻,
体格检查:(-)
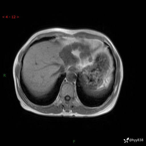
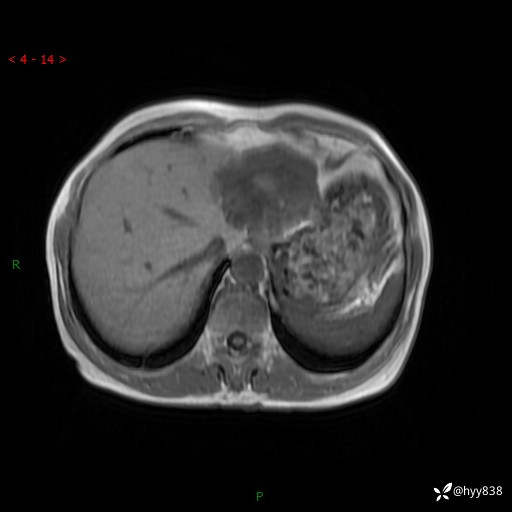
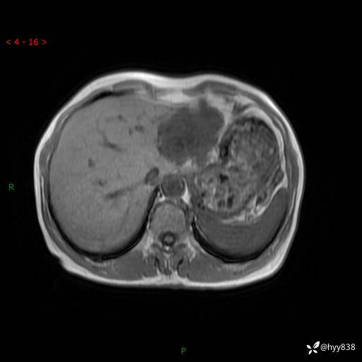
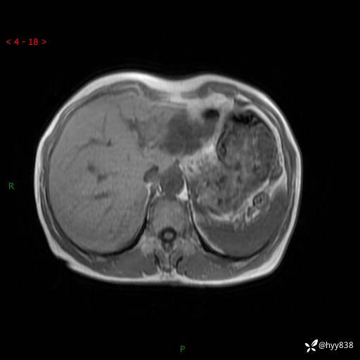
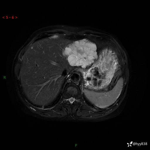
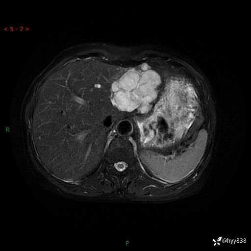
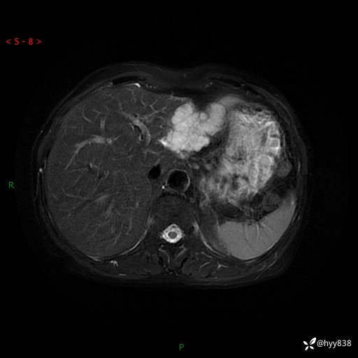
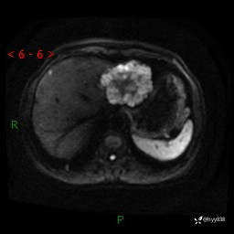
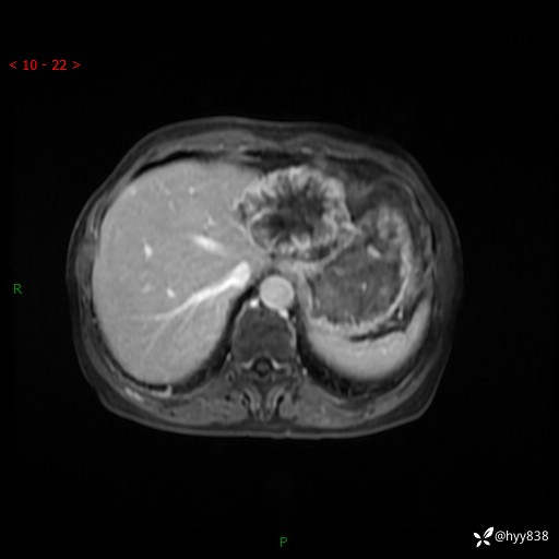
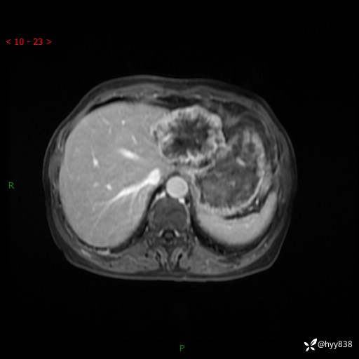
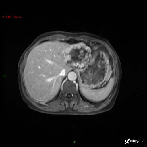
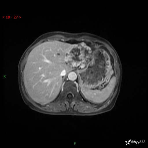
辅助检查:MRI
临床诊断:肝占位
治疗经过:手术
讨论:肿块性质?
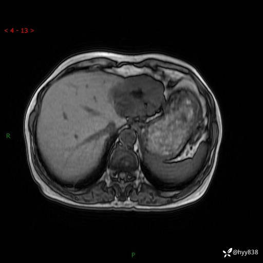
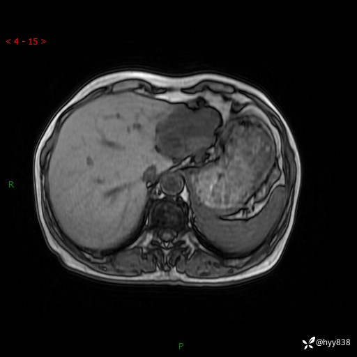
肝脏MRI平扫(同反相位)







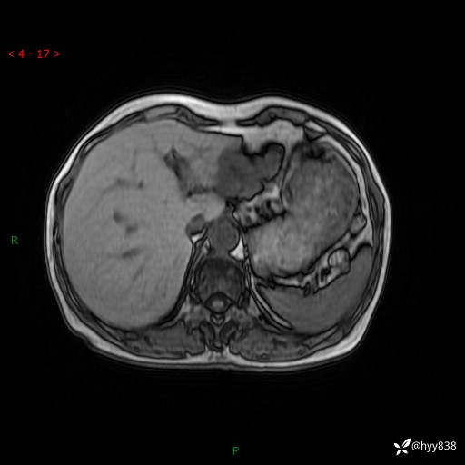
T2WIfs+DWI






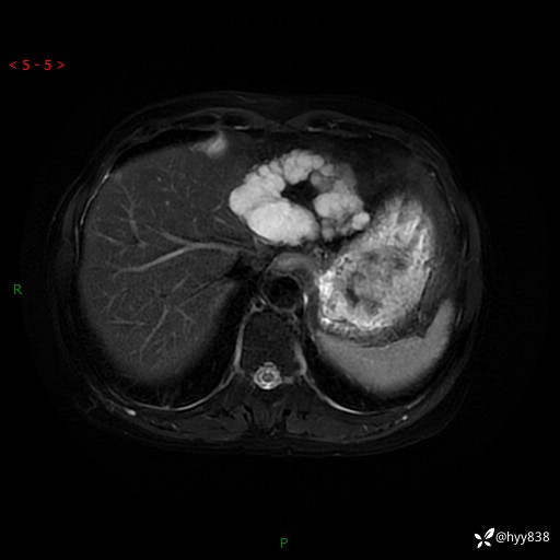
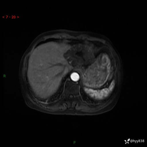
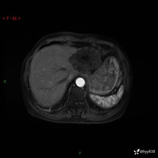
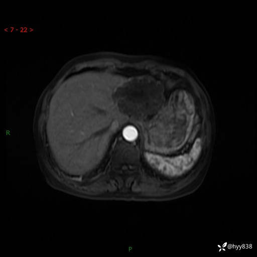
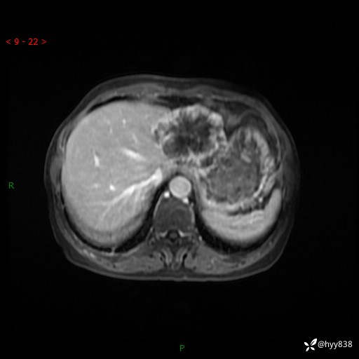
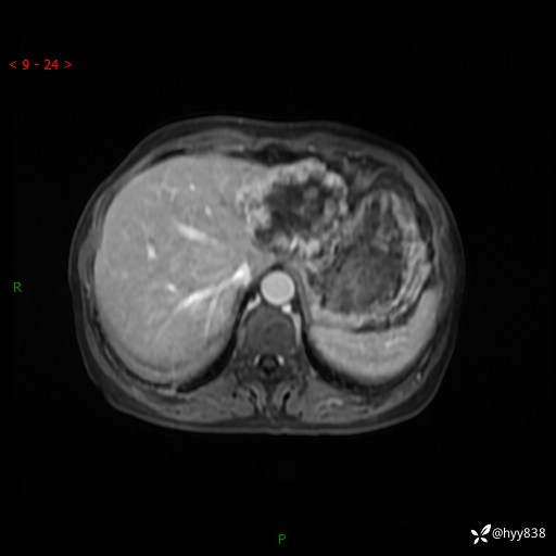
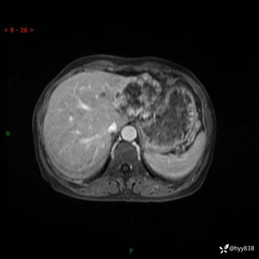
增强(动脉期+静脉期+延迟期)





























































