偶然发现肝脏占位,早期中央强化、门脉期持续强化,延迟期近乎不见--结果公布~
患者性别:男
患者年龄:64岁
简要病史:发现肺结节7月余,咳嗽20天。常规CT偶然发现肝占位
体格检查:(-)
辅助检查:CT
临床诊断:肝脏占位
治疗经过:---
讨论:病变性质?
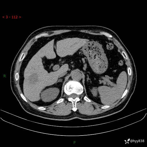
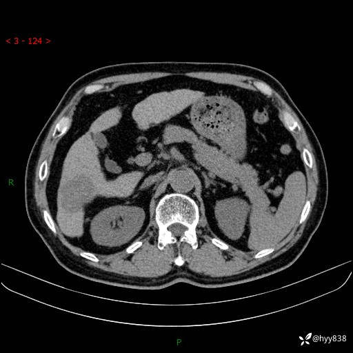
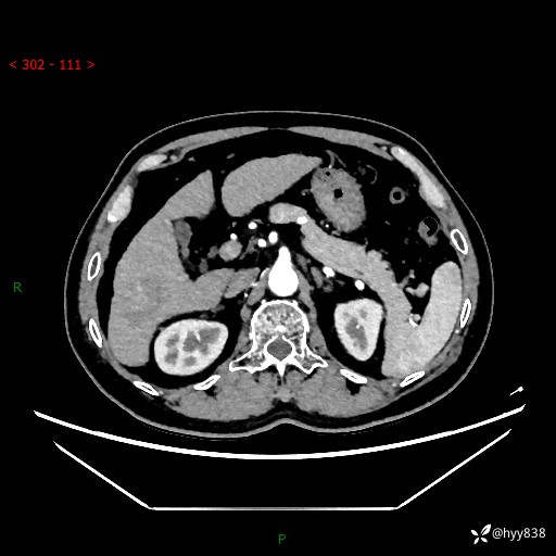
肝脏CT平扫






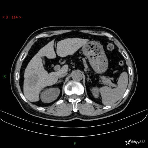
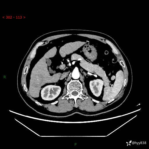
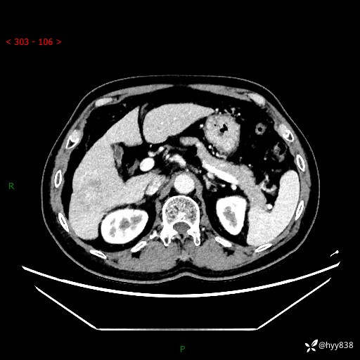
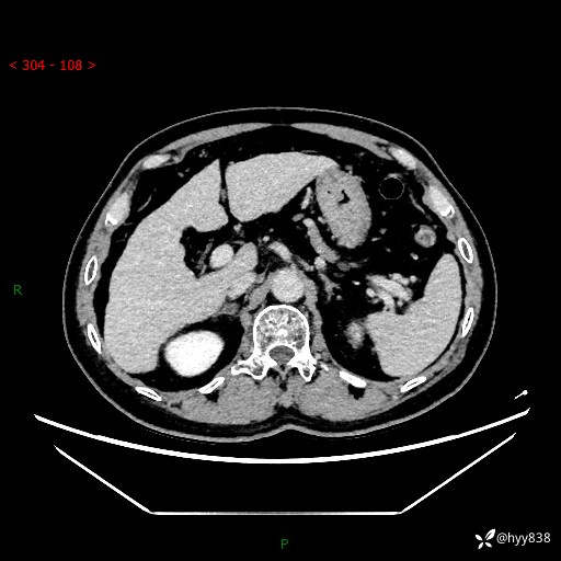
增强动脉期






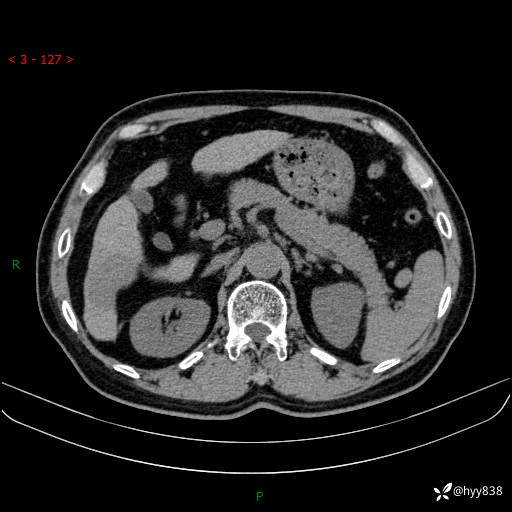
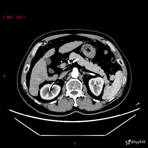
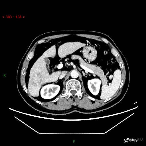
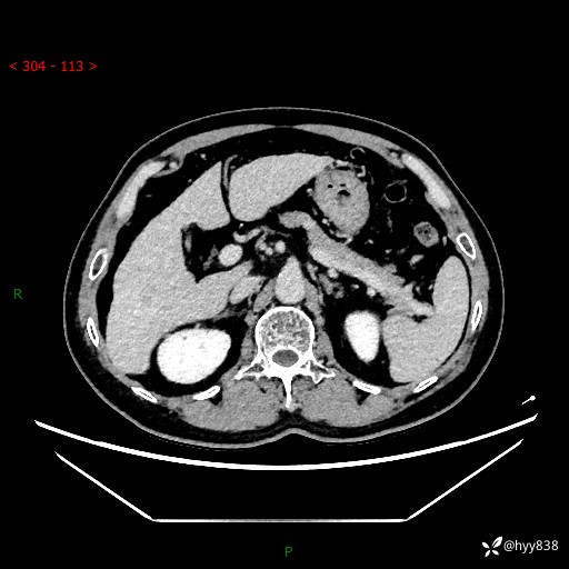
静脉期





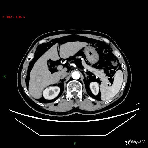
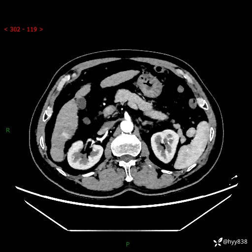
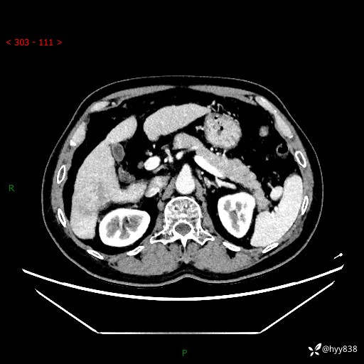
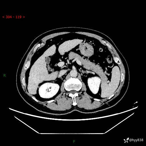
延迟期




患者性别:男
患者年龄:64岁
简要病史:发现肺结节7月余,咳嗽20天。常规CT偶然发现肝占位
体格检查:(-)
辅助检查:CT
临床诊断:肝脏占位
治疗经过:---
讨论:病变性质?
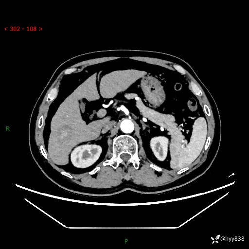
肝脏CT平扫






增强动脉期






静脉期





延迟期




