dxy logo
首页丁香园病例库全部版块
搜索
登录

年轻小伙,肝脏占位,渐进性强化---结果公布~

影像核医学版版主 · 发布于 2023-10-20 · IP 湖北湖北
7612 浏览
推荐、达人点赞 2 项荣誉
这个帖子发布于 2 年零 36 天前,其中的信息可能已发生改变或有所发展。

患者性别:男

患者年龄:29岁

简要病史:外院超声提示肝脏占位性病变

体格检查:(-)

辅助检查:CT

临床诊断:肝占位

治疗经过:---

讨论:病变性质?

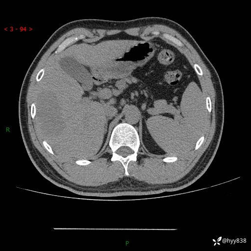
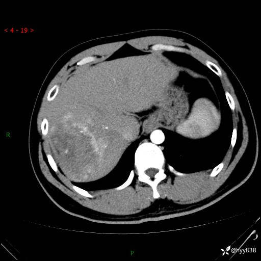
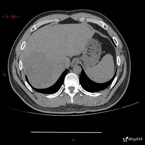
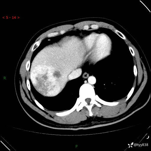
肝脏CT平扫

img
img
img
img
img
img

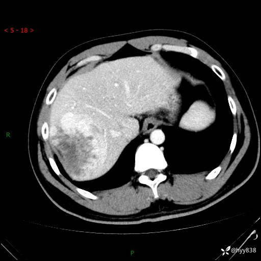
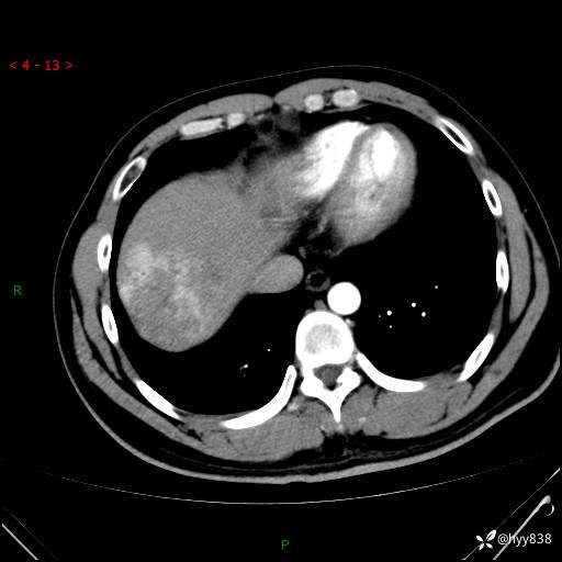
增强动脉期

img
img
img
img
img
img
img
img

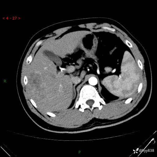
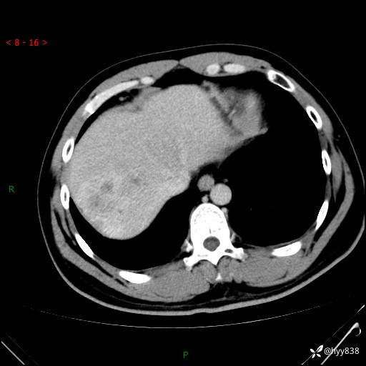
静脉期

img
img
img
img
img
img

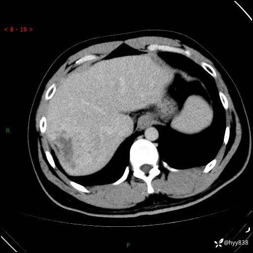
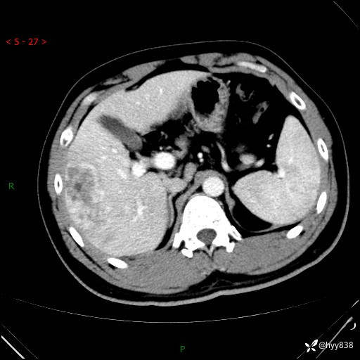
延迟期

img
img
img
img
img
原发性肝癌 (50)
纠错
109 41 21
同行评议(0)
已评议
不开通精选
开通精选
精选已授权,待上线
评议结果暂未公布
参与评议
去邀请
NaN
病例完整NaN
临床实用NaN
诊疗科学NaN
学术价值NaN

全部讨论(0)

默认最新
avatar
109
分享帖子
share-weibo分享到微博
share-weibo分享到微信
认证
返回顶部