年轻小伙,发现左侧颈部肿物3年余,逐渐增大---结果公布~
过去的时光难忘怀 等 2 位达人已点赞病例信息
性别:男
年龄:24岁
主诉:发现左侧颈部肿物3年余
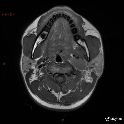
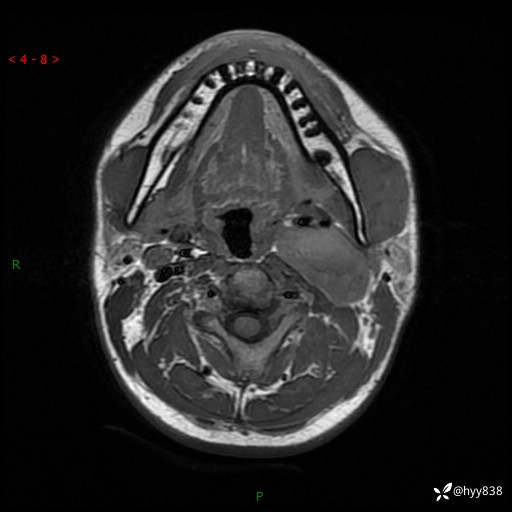
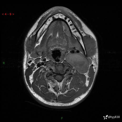
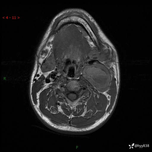
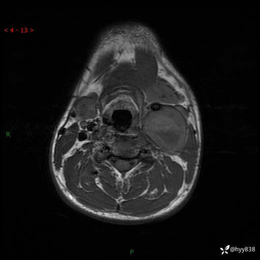
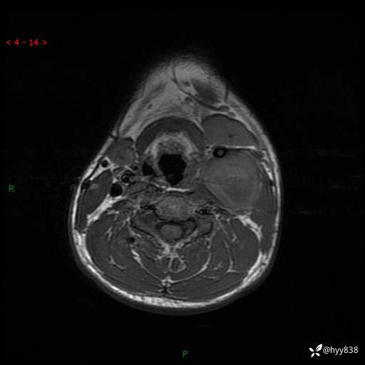
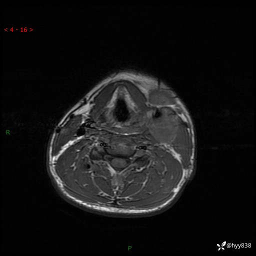
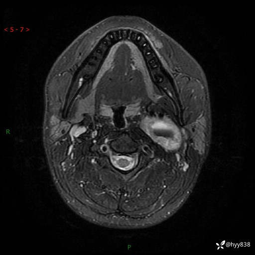
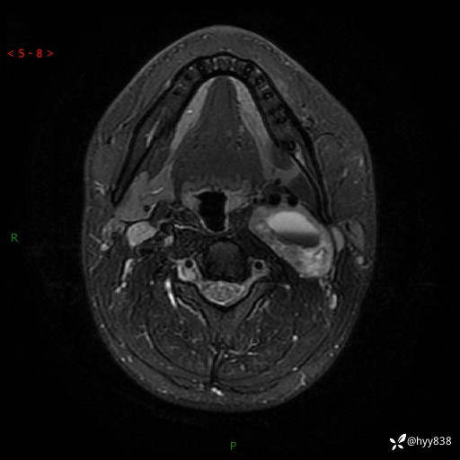
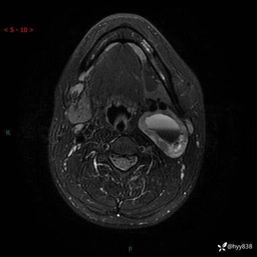
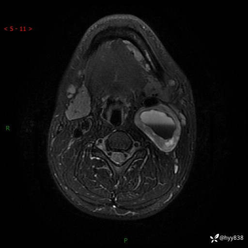
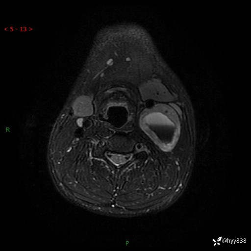
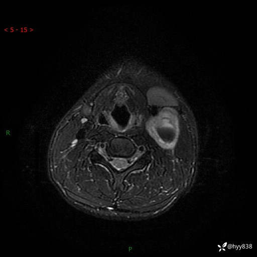
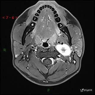
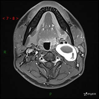
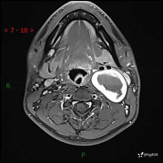
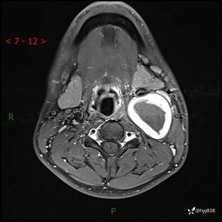
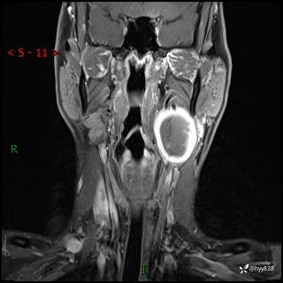
现病史:患者约3年前因感冒发现左侧颈部长一肿物,约半个鸡蛋大小,无明显疼痛及其他不适,一直未行特殊处理。3个月前发现左侧颈部肿物变大,随后至当地市第二人民医院耳鼻喉科行左侧颈部彩超示:左侧颈部囊实混合性包块;喉部MPR示:左侧胸锁乳突肌内前方占位,累及左侧喉旁间隙,建议增强扫描。建议手术治疗。患者考虑。随后至我院肿瘤科就诊,行细胞学穿刺示:考虑血管源性肿瘤可能,建议进一步检查。建议至我院口腔科就诊,行颌面部MRI示:左侧颌下腺后方团状异常信号灶,建议增强。建议手术治疗。为求进一步治疗,门诊以“左侧颈部肿物”收入院。 起病以来,患者神志清、精神良好,饮食睡眠良好,大小便正常,体重未见明显变化。
颈部MRI平扫+增强







































































