年轻小伙,右侧胸部疼痛4天余。病理科说肯定不是骨纤,那是啥---结果公布~
华夏览雄 等 2 位达人已点赞病例信息
性别:男
年龄:24岁
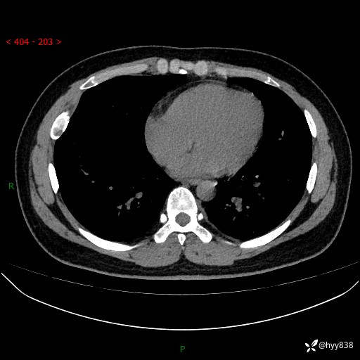
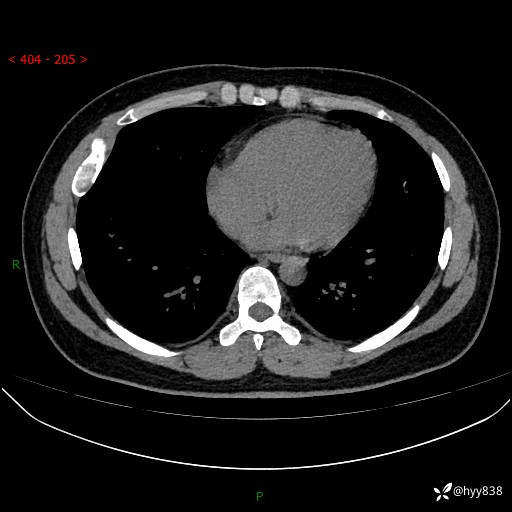
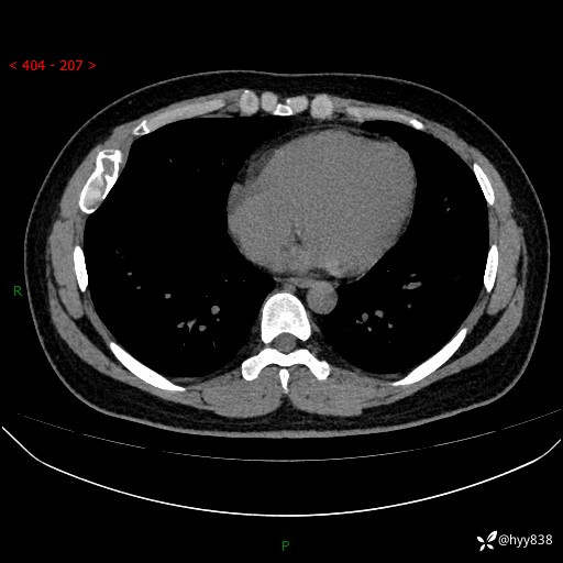
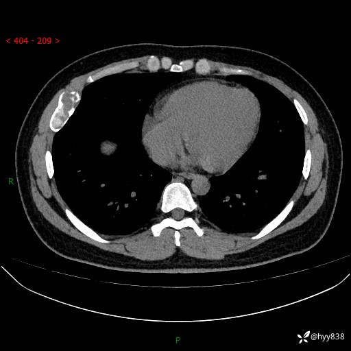
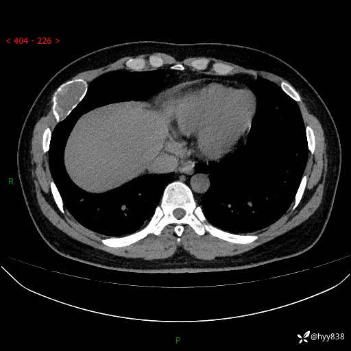
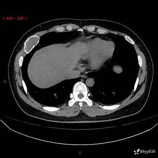
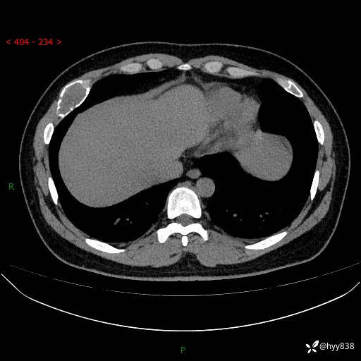
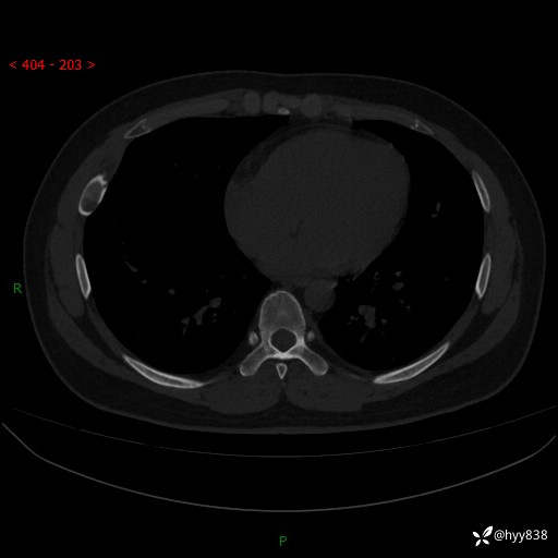
主诉:右侧胸部疼痛4天余。
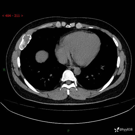
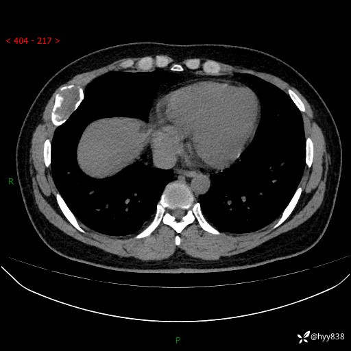
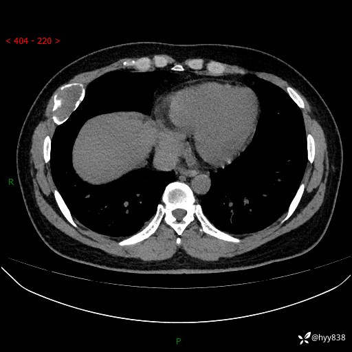
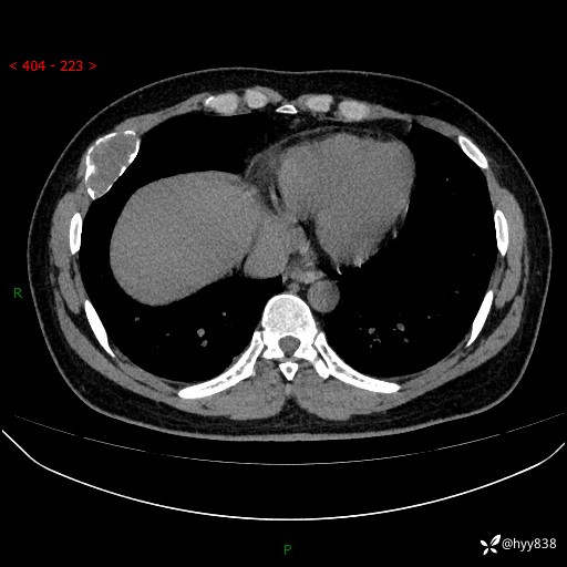
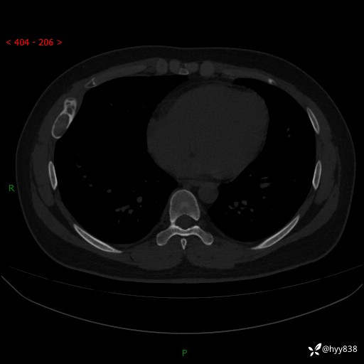
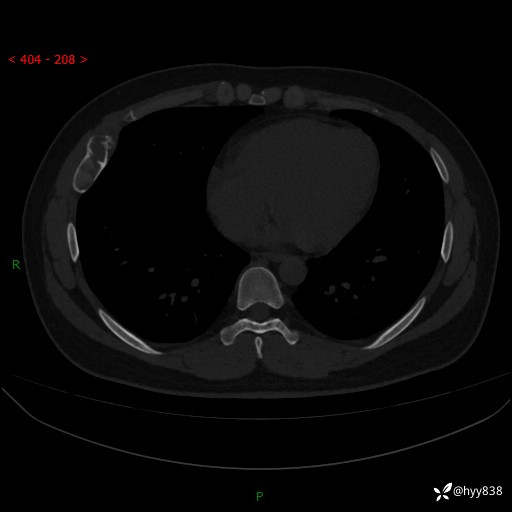
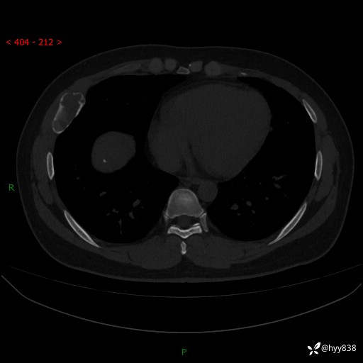
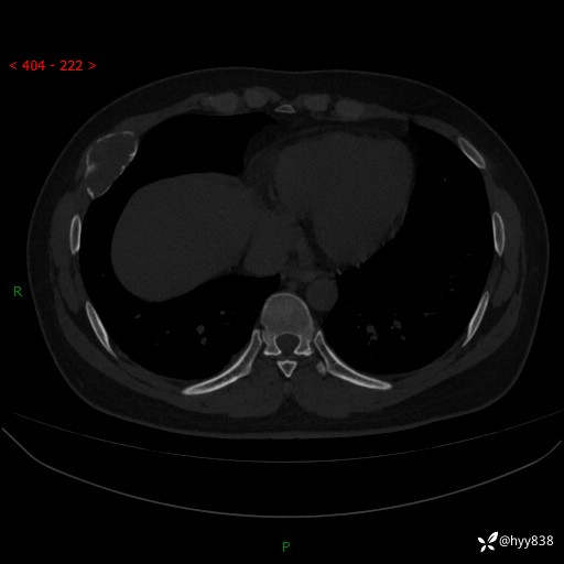
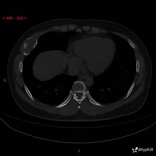
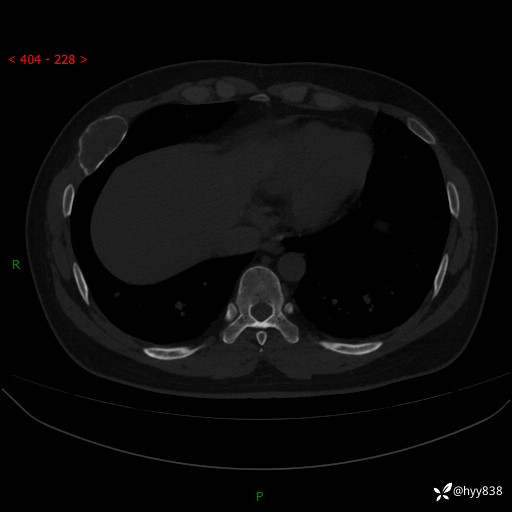
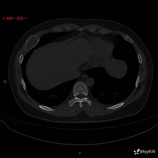
现病史:患者约4天前突发右侧胸部疼痛,无瘙痒,无头痛、头晕,无心慌、胸闷、呼吸困难、咳嗽、咳痰、咯血,无腹痛、腹胀等不适,未作进一步诊治。于2024年5月外院行胸部CT平扫示右侧肋骨骨质改变。现为求进一步治疗,遂于我院就诊。门诊以“胸壁肿物”收入我科。 患者自起病以来,精神可,睡眠可,饮食可,大小便正常,体重无明显改变。
胸部CT平扫






































































