dxy logo
首页丁香园病例库全部版块
搜索
登录

病例年轻小伙,早早的就切除了右侧肾脏,他怎么了---结果公布~

影像核医学版版主 · 发布于 2024-02-07 · IP 湖北湖北
1786 浏览
icon胡志勇HZY 达人已点赞
这个帖子发布于 1 年零 291 天前,其中的信息可能已发生改变或有所发展。

患者性别:男

患者年龄:28岁

简要病史:右肾肿瘤术后,常规复查

辅助检查:CT

临床诊断:右肾肿瘤术后

治疗经过:---

讨论:病变性质?

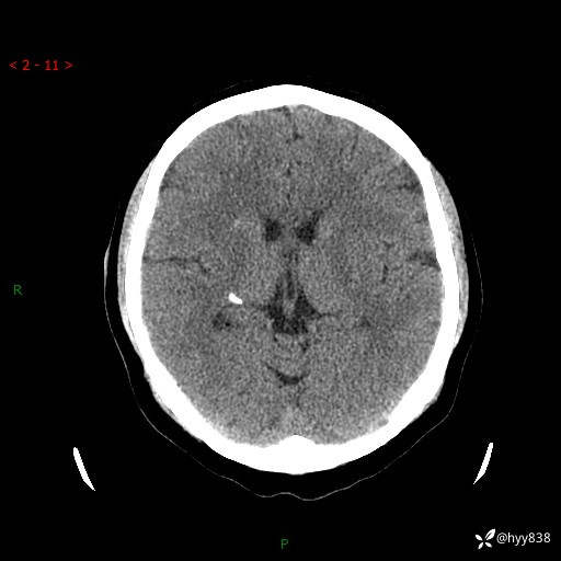
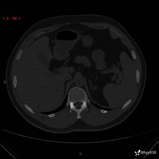
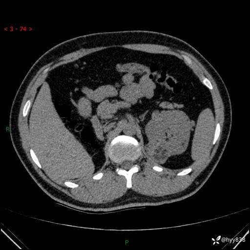
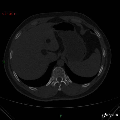
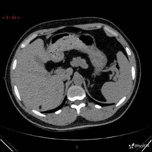
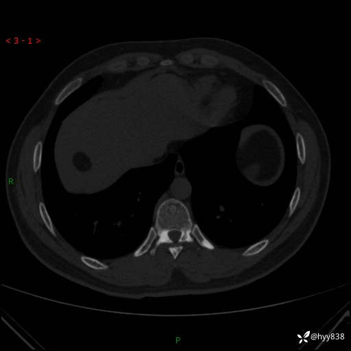
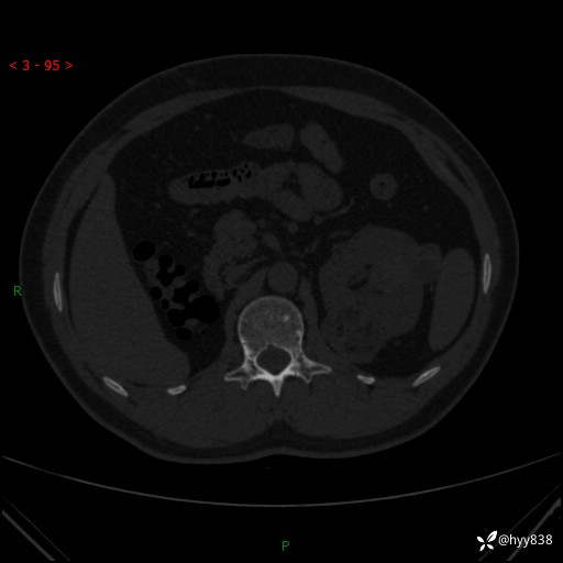
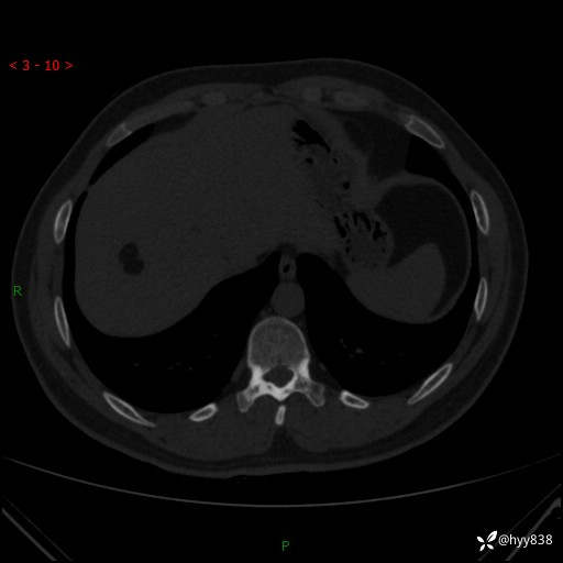
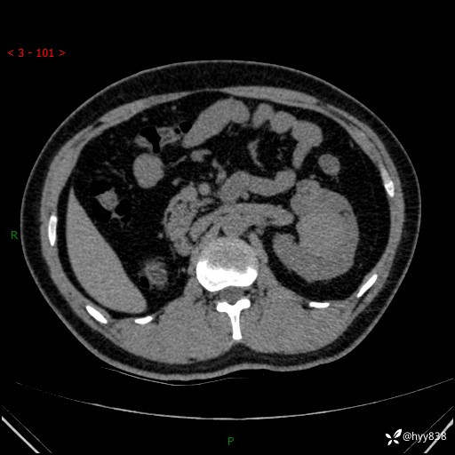
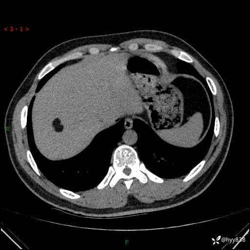
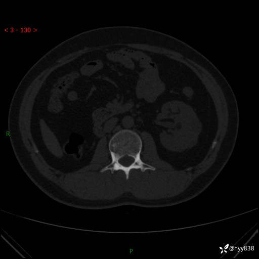
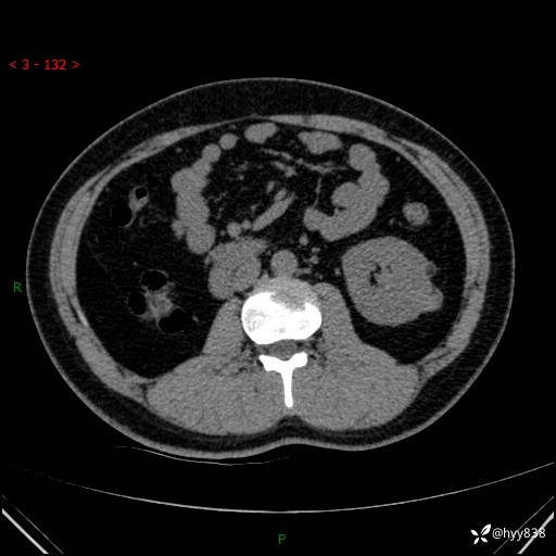
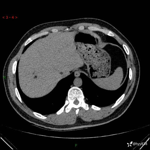
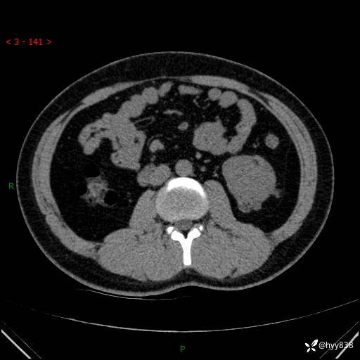
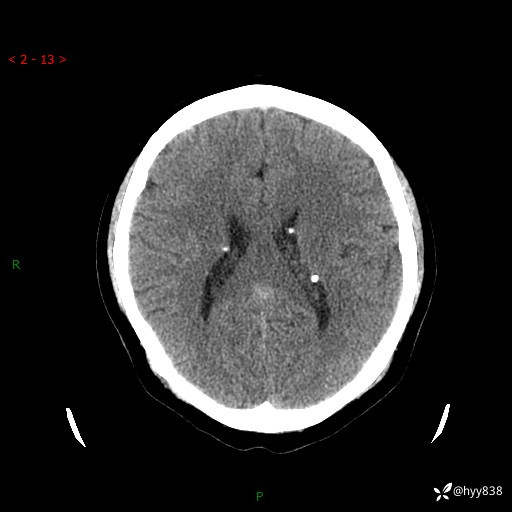
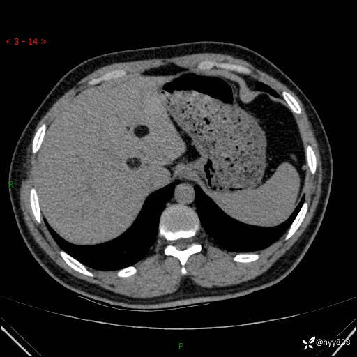
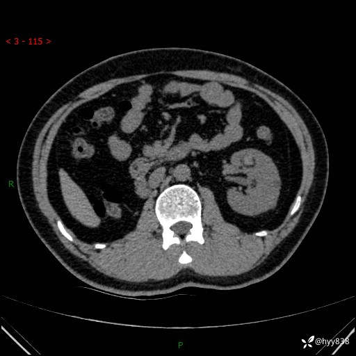
腹部CT+颅脑CT平扫

img
img
img
img
img
img
img
img
img
img
img
img
img

骨窗

img
img
img
img
img
img
img
img
该帖还没有疾病标签去添加
25 6 17
同行评议(0)
已评议
不开通精选
开通精选
精选已授权,待上线
评议结果暂未公布
参与评议
去邀请
NaN
病例完整NaN
临床实用NaN
诊疗科学NaN
学术价值NaN

全部讨论(0)

默认最新
avatar
25
分享帖子
share-weibo分享到微博
share-weibo分享到微信
认证
返回顶部