dxy logo
首页丁香园病例库全部版块
搜索
登录

病例年轻小伙,头痛伴呕吐半年,渐进性加重1月。疑难病例,第一次见--结果公布~

影像核医学版版主 · 发布于 2024-07-01 · IP 湖北湖北
1949 浏览
icon胡志勇HZY 达人已点赞
这个帖子发布于 1 年零 146 天前,其中的信息可能已发生改变或有所发展。

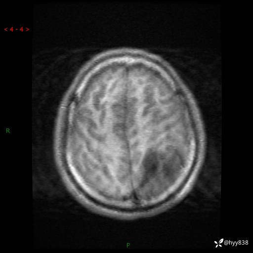
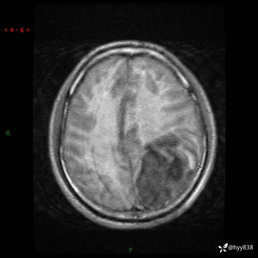
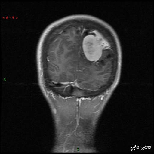
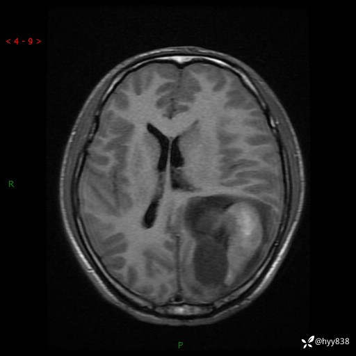
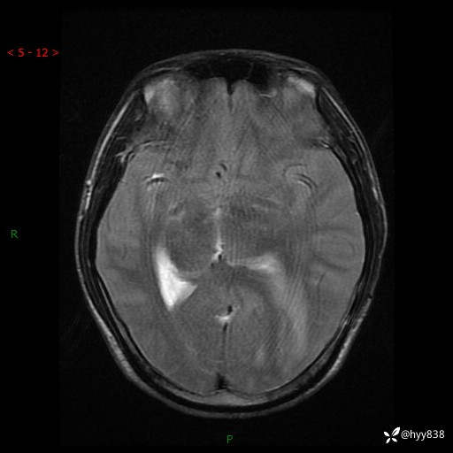
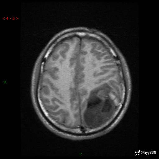
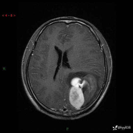
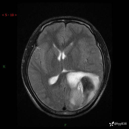
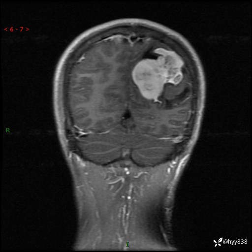
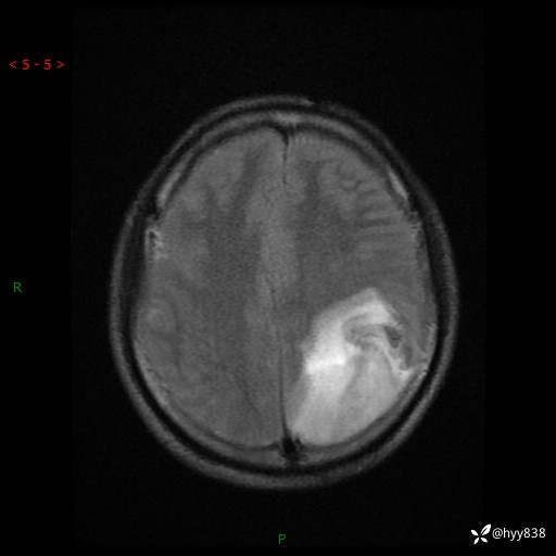
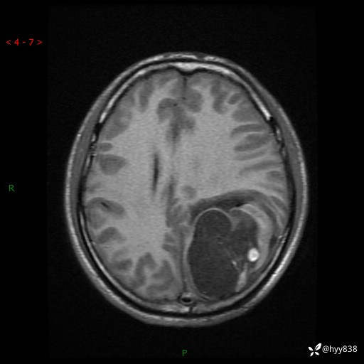
病例信息

性别:男

年龄:21岁

简要病史:头痛伴呕吐半年,渐进性加重1月

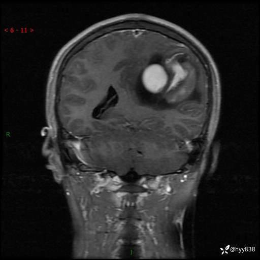
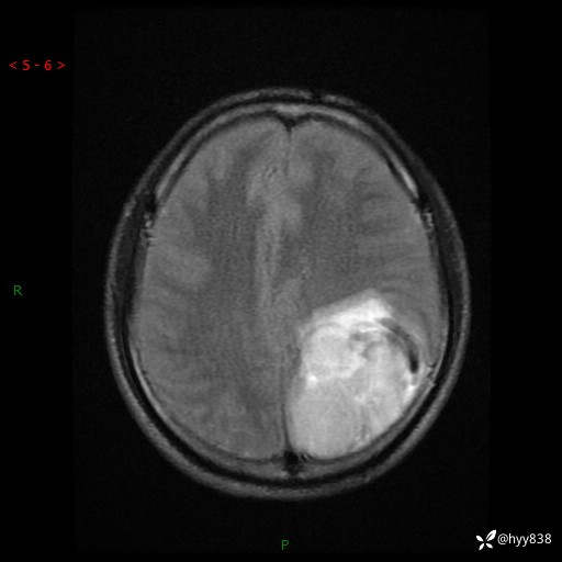
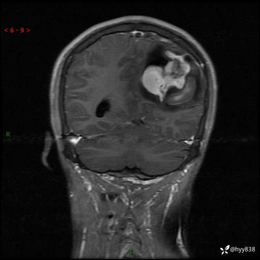
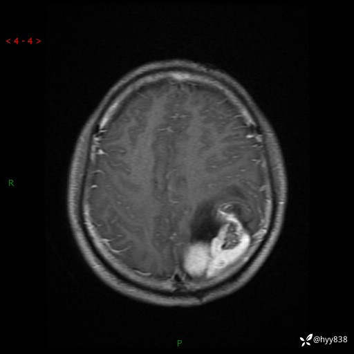
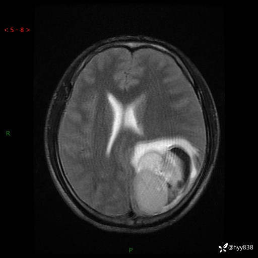
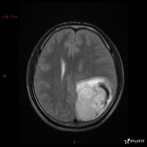
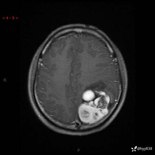
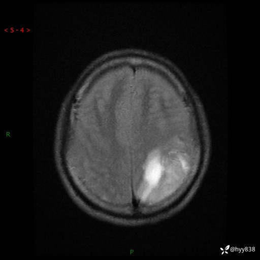
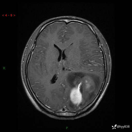
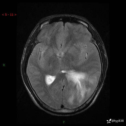
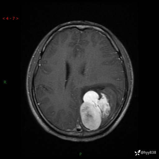
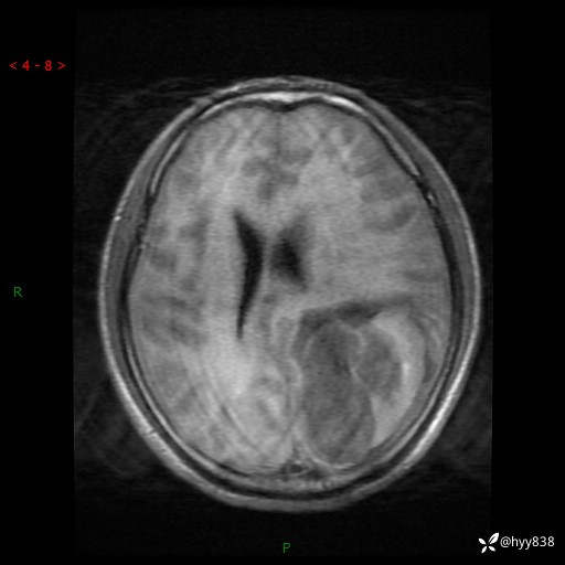
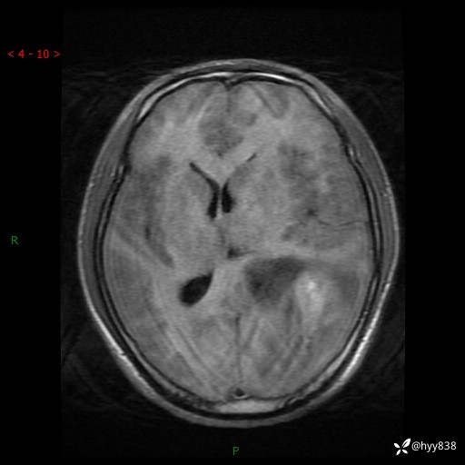
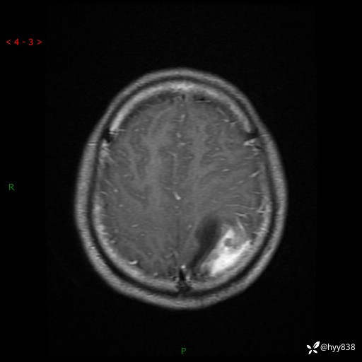
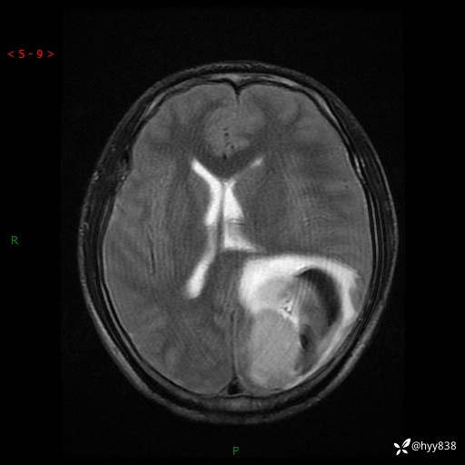
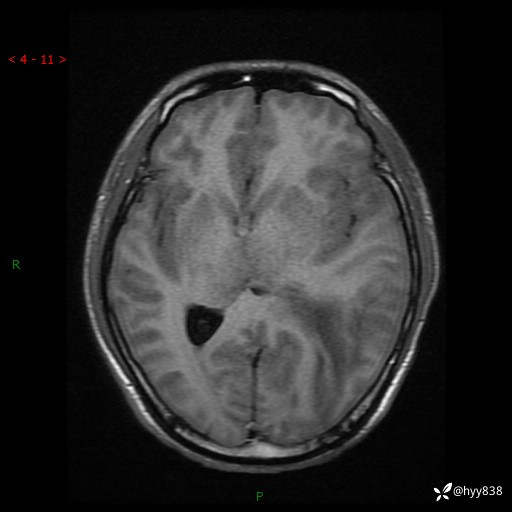
颅脑MRI平扫+增强

img
img
img
img
img
img
img
img
img
img
img
img
img
img
img
img
img
img
img
img
img
img
img
img
img
img
img
img
img
img
img
头痛 (440)
纠错
21 5 10
同行评议(0)
已评议
不开通精选
开通精选
精选已授权,待上线
评议结果暂未公布
参与评议
去邀请
NaN
病例完整NaN
临床实用NaN
诊疗科学NaN
学术价值NaN

全部讨论(0)

默认最新
avatar
21
分享帖子
share-weibo分享到微博
share-weibo分享到微信
认证
返回顶部