dxy logo
首页丁香园病例库全部版块
搜索
登录

病例【骨肌】特别精彩病例|右脸麻木1月余,右眼失明伴头痛20天

影像核医学版版主 · 发布于 2024-11-10 · 来自 iOS · IP 江西江西
8540 浏览
icon呱呱叫了 达人已点赞
这个帖子发布于 1 年零 14 天前,其中的信息可能已发生改变或有所发展。

病例信息

【患者信息】:男,24岁

【现病史及既往史】:患者1月前无明显诱因出现右脸麻木,之后出现复视,20天前发出现右眼失明伴头痛

【检查】

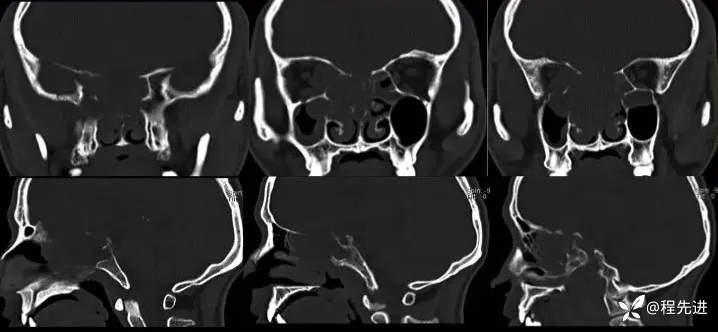
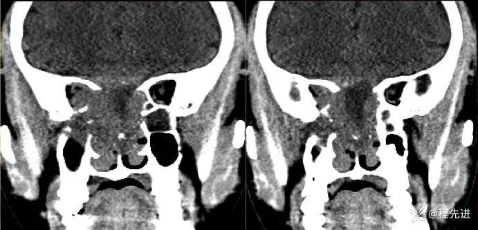
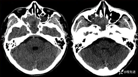
CT:

img


img


img


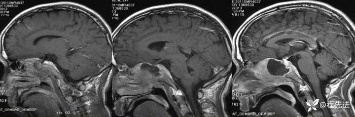
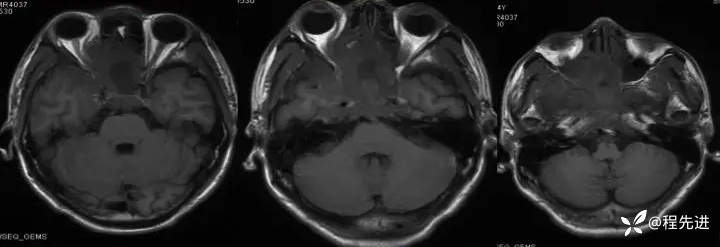
T1:

img


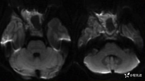
DWI:

img


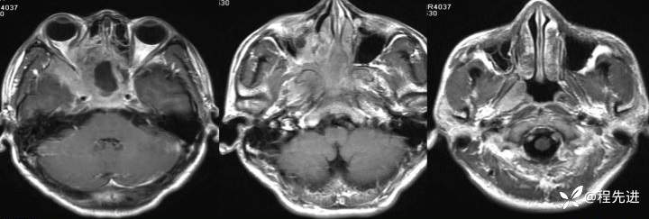
增强:

img


img


img
该帖还没有疾病标签去添加
17 3 17
同行评议(0)
已评议
不开通精选
开通精选
精选已授权,待上线
评议结果暂未公布
参与评议
去邀请
NaN
病例完整NaN
临床实用NaN
诊疗科学NaN
学术价值NaN

全部讨论(0)

默认最新
avatar
17
分享帖子
share-weibo分享到微博
share-weibo分享到微信
认证
返回顶部