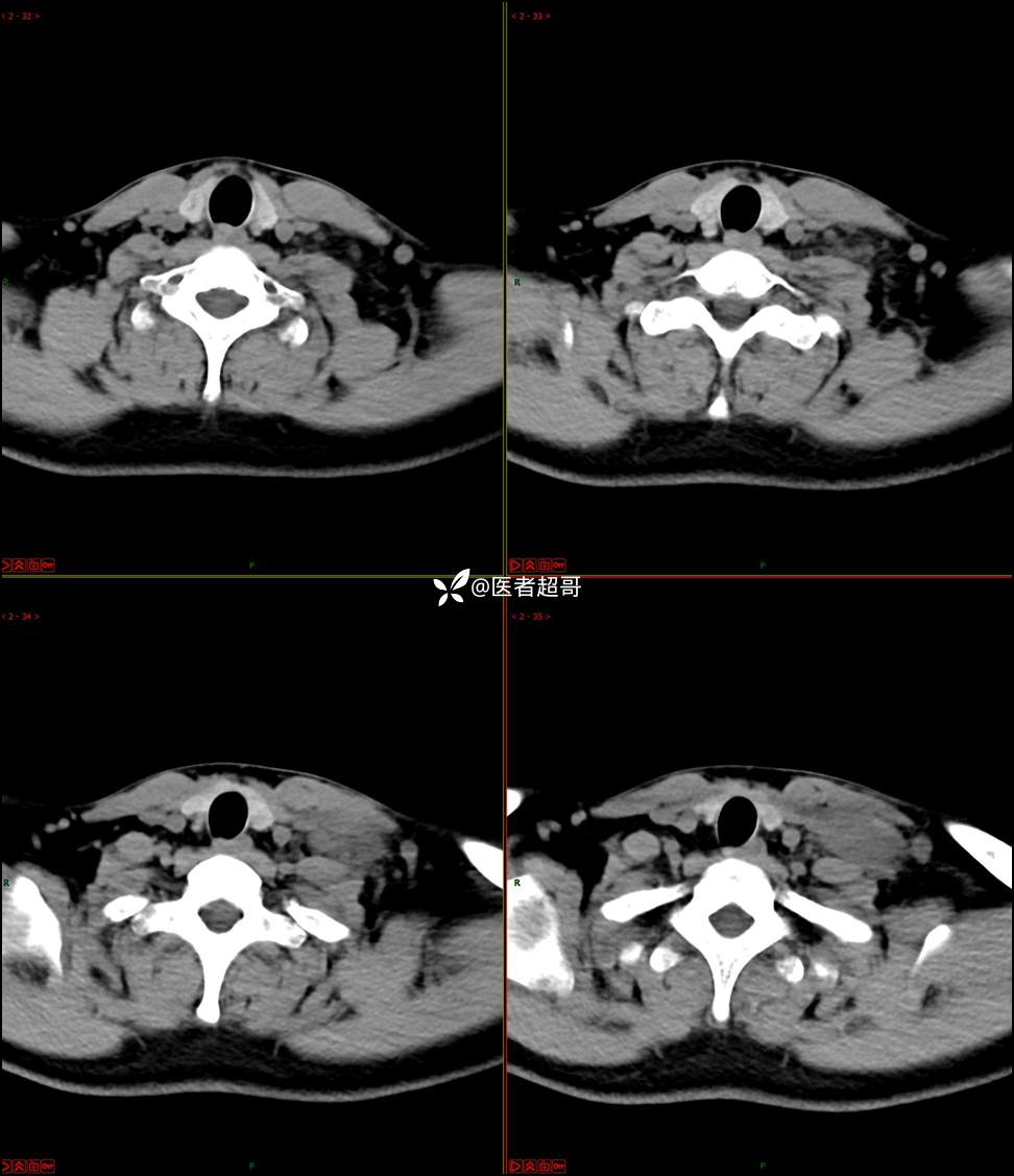
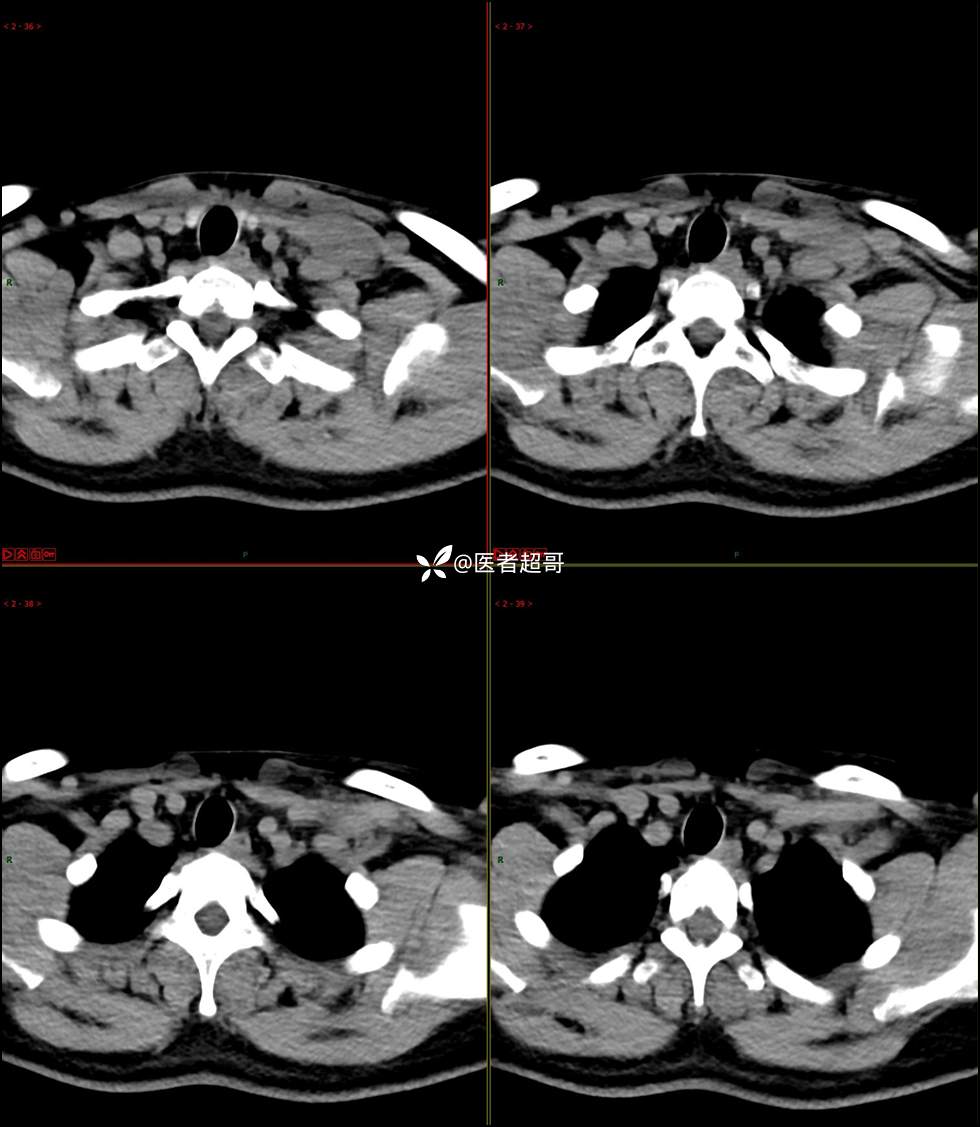
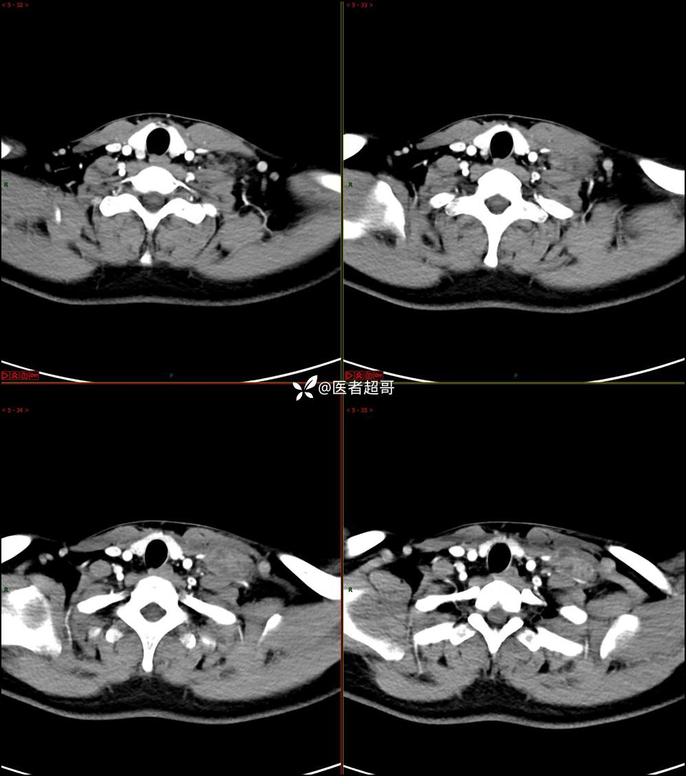
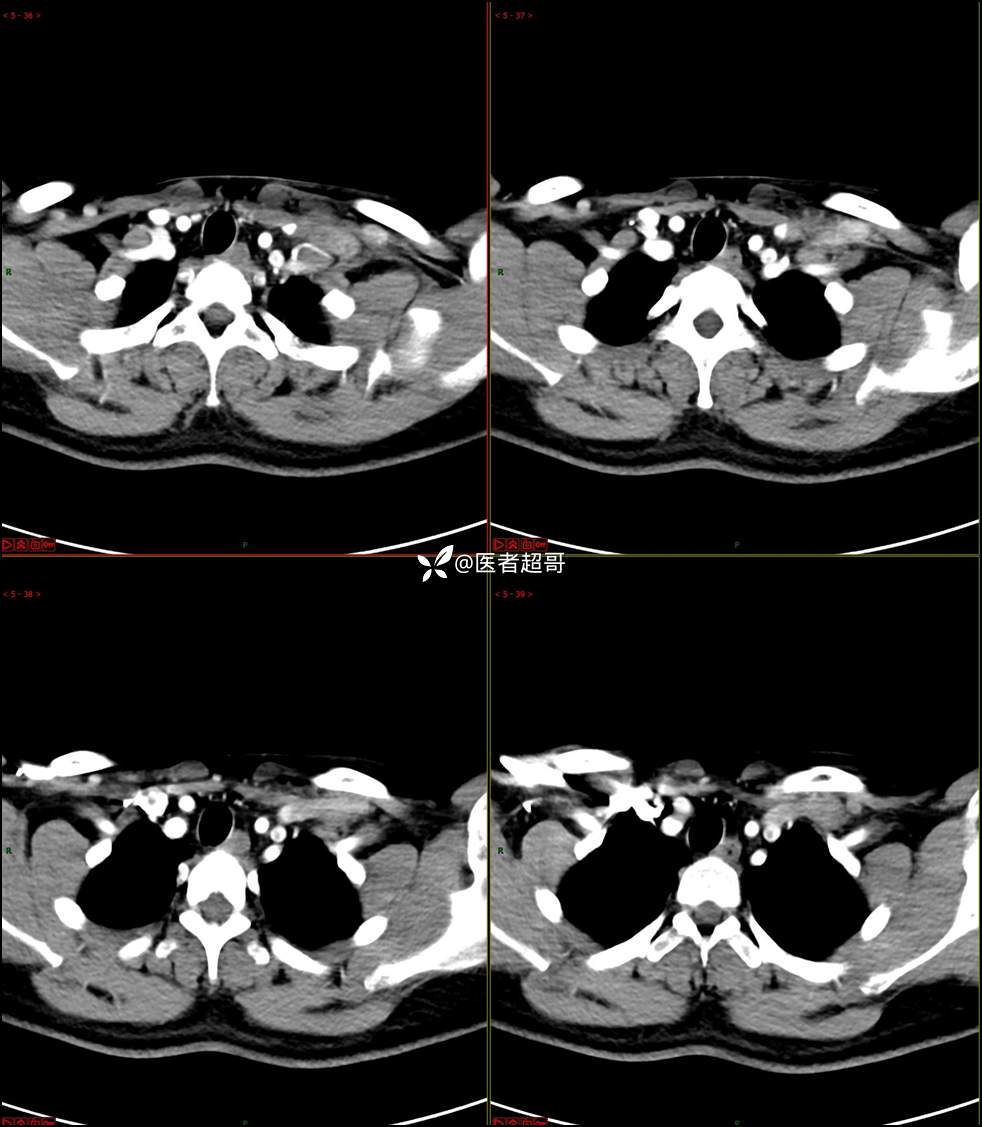
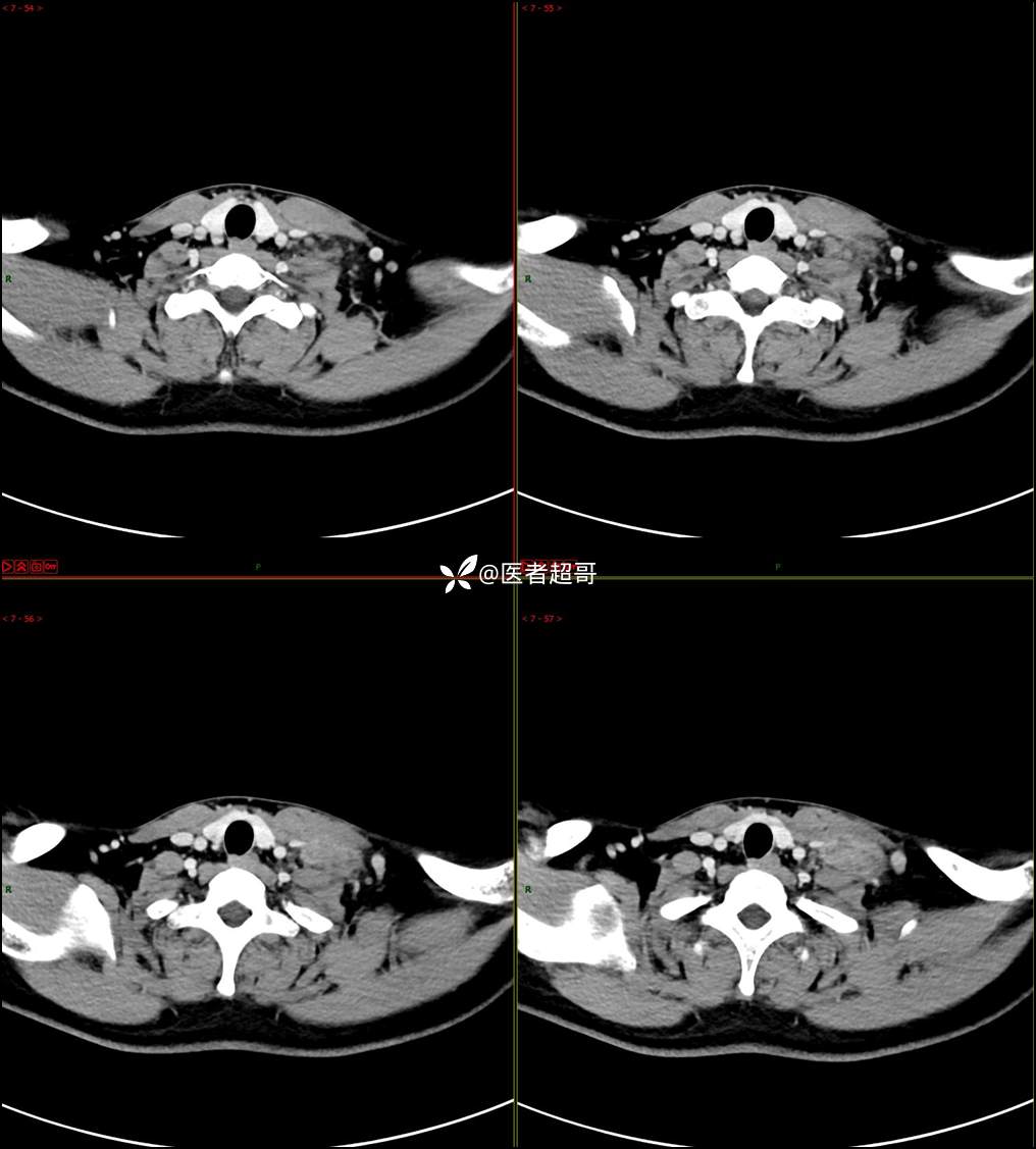
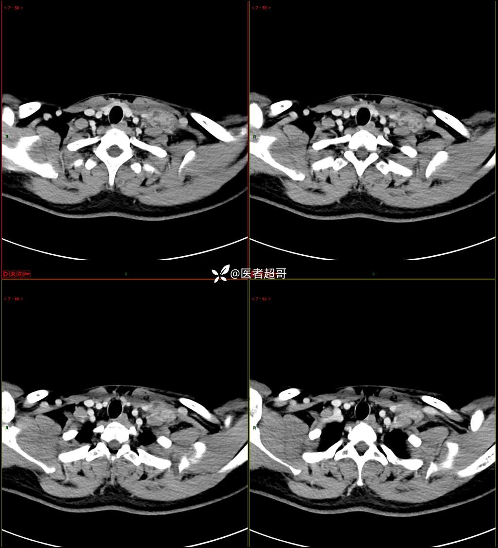
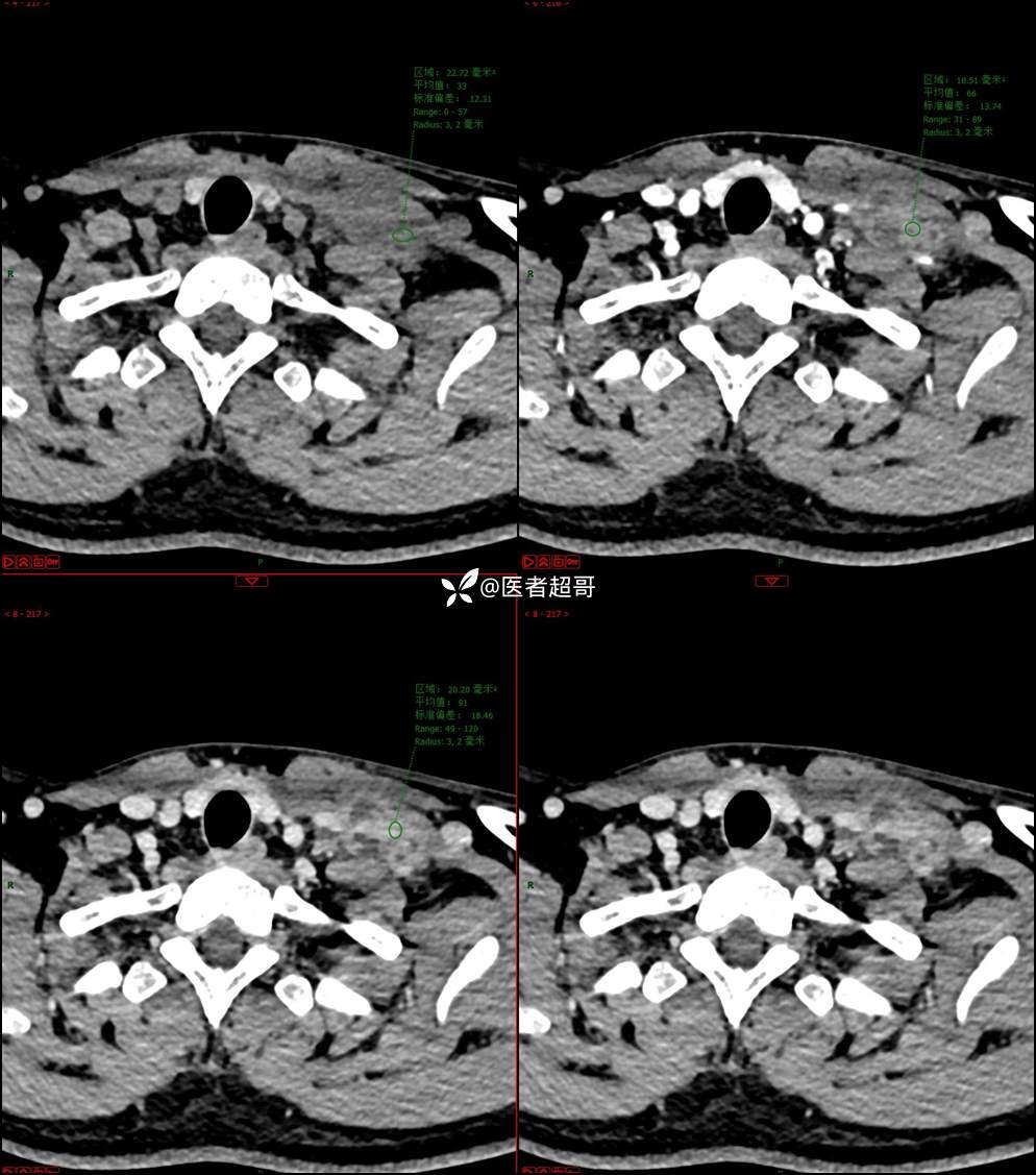
年轻小伙,颈部占位,鞘瘤?脉管类瘤?其它?
M 20Y
主 诉:发现左侧颈部肿物10余天
现病史:患者自述10余天前无意中发现左侧颈部一肿物,颈部活动时、进食时伴疼痛,无发热,患者前往人民医院就诊,给予输液治疗(头孢呋辛钠2g bid 硫酸阿米卡星0.4g qd、)10天,患者感肿物轻微变小,后患者为求进一步治疗,昨日来我院门诊就诊,给予颈部彩超示:左颈部实性肿物,神经来源?,左颈部肿大淋巴结;颈部ct平扫+强化示:左侧锁骨上区占位,神经鞘瘤?双侧颈部多发淋巴结;门诊以“局部肿物”收治入院,患者自患病以来,神志清,精神可,饮食睡眠可,体重无明显变化,二便正常。
既往史:既往体健,无特殊。
























































