病例分享:老年男性,颈部占位,一周后公布病理
胡志勇HZY 达人已点赞男 61岁 主 诉:发现左侧面部肿物1年余。
现病史:患者于1年余前无意间发现左侧耳下有一肿物,大小如“花生米样”,无压痛,无明显红肿,无畏寒、发热,无咳嗽、咳痰,无盗汗、心慌,无手足颤动、胸闷及性格改变,未在意,未给予特殊处理,2天前至我院行彩超示: 左侧腮腺内低回声(考虑肿大淋巴结),现患者为求进一步诊治,遂来我院就诊,门诊以“局部肿物”为诊断收住我科。自发病来,患者神志清,精神可,饮食睡眠尚可,大小便正常,近期体重无下降。
个人史:生于原籍,无外地长期居住史,无疫区居留史,生活规律,无重大精神创伤史,无毒物长期接触史。无特殊烟酒嗜好。
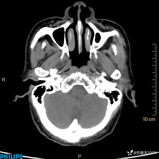
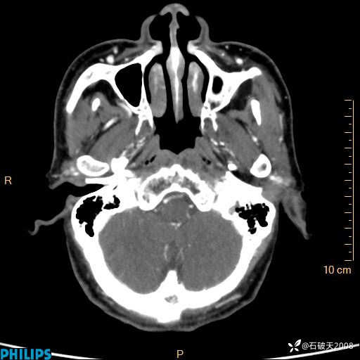
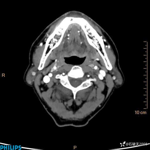
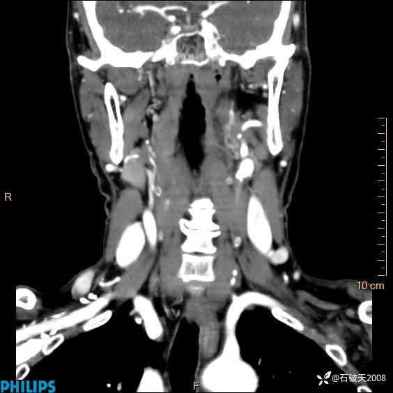
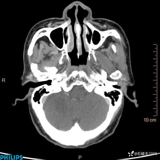
平扫



















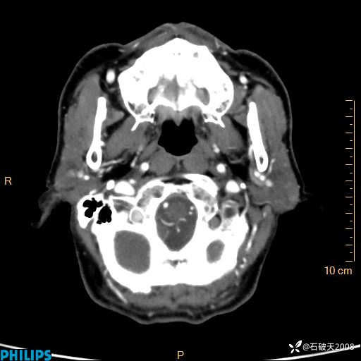
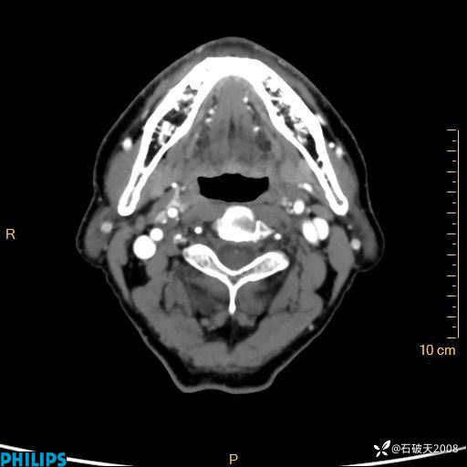
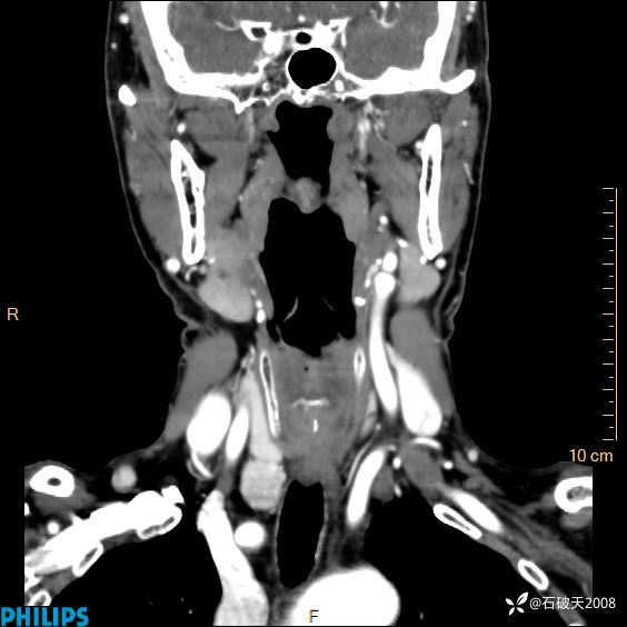
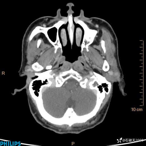
动脉期



















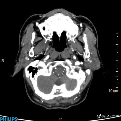
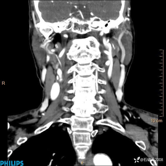
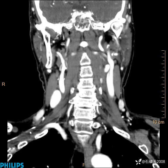
冠状位



















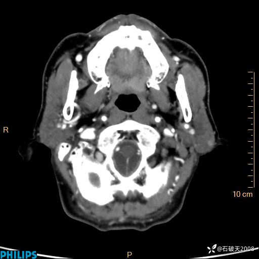
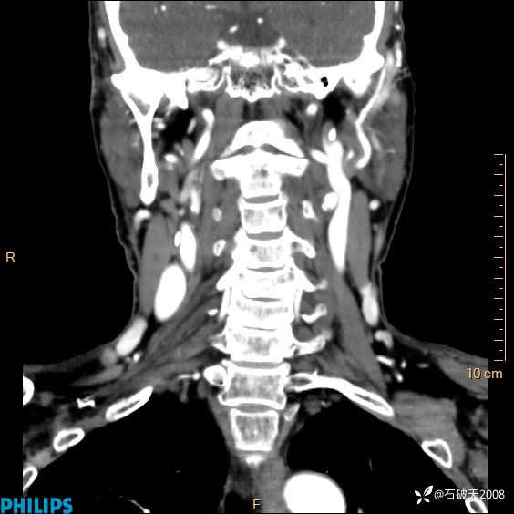
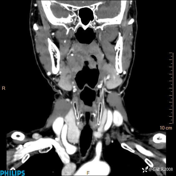
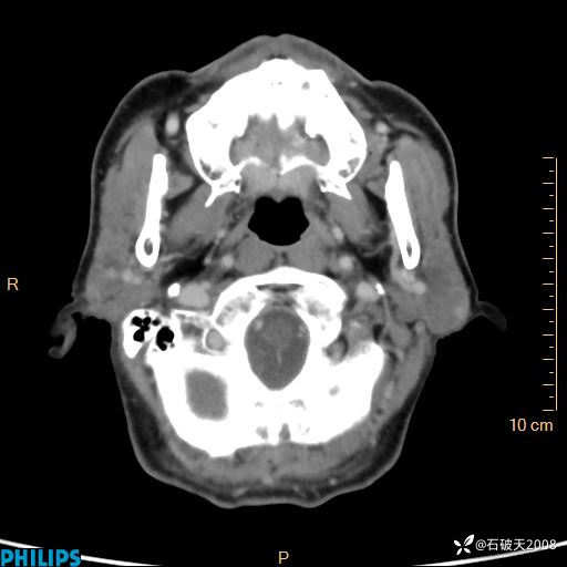
静脉期



































































