老年男性,肛门区疼痛伴坠胀1天。拟诊肛周脓肿,CT、MRI都有---结果公布~
胡志勇HZY 等 2 位达人已点赞病例信息
性别:男
年龄:64岁
主诉:肛门区疼痛伴坠胀1天
现病史:患者自诉1天前无明显诱因后出现肛门区疼痛,呈胀痛,伴便血,色鲜红,量大,伴大便次数增多的,共排便3次,呈稀水样便,伴腹痛,无发热,于我科门诊就诊,诊断为“肛周脓肿”,建议手术治疗。现为求手术遂来我科办理住院,门诊以“肛周脓肿”收住院。 自起病来,饮食、休息基本正常,便秘,体重较轻无明显增减,否认近期新冠中高风险地区旅居史。
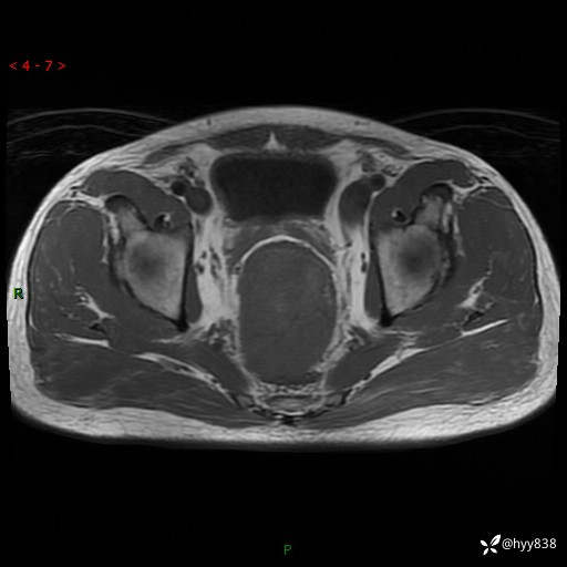
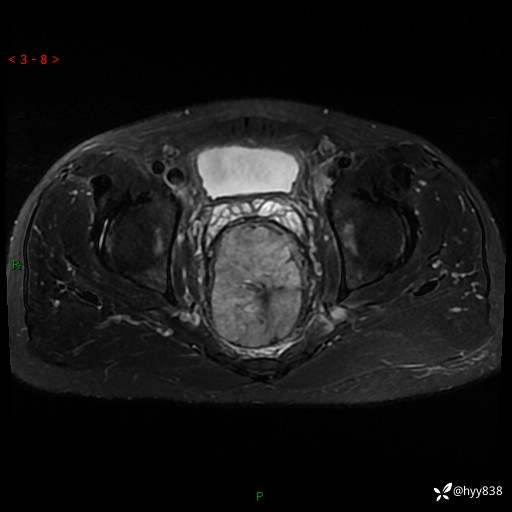
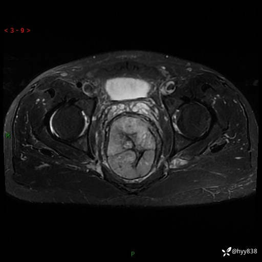
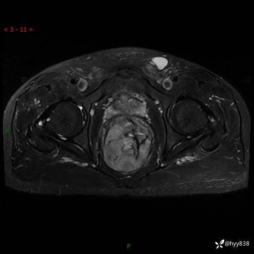
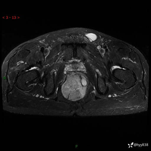
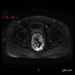
盆腔MRI平扫

















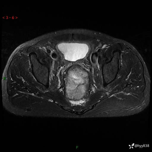
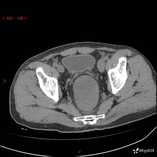
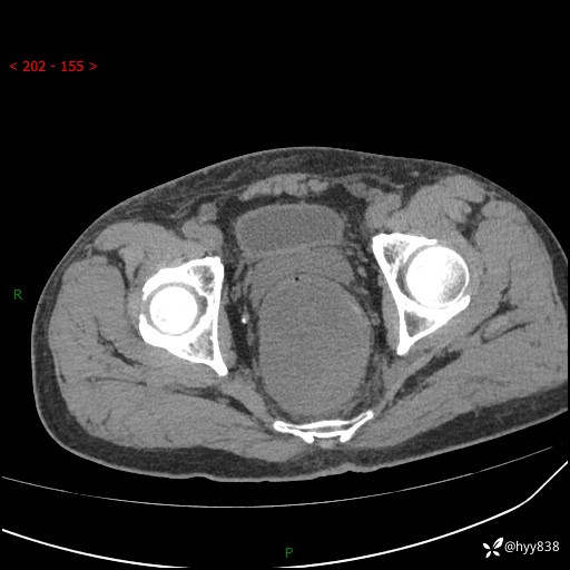
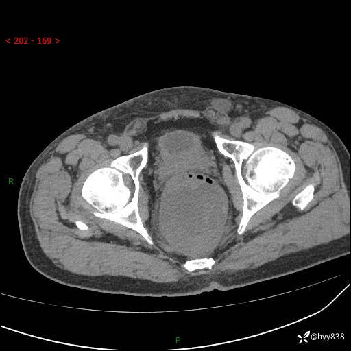
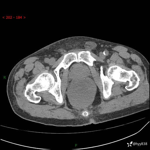
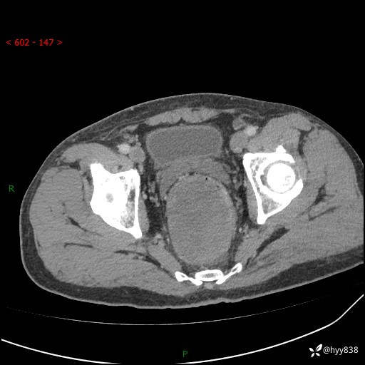
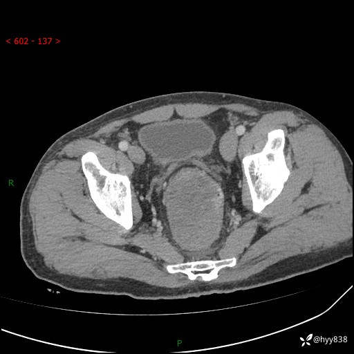
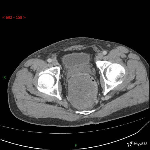
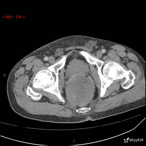
盆腔CT平扫+增强






























































