老年男性,发现右下肺结节3天。结节+卫星灶,似曾相识---结果公布~
胡志勇HZY 达人已点赞患者性别:男
患者年龄:64岁
主诉:发现右下肺结节3天
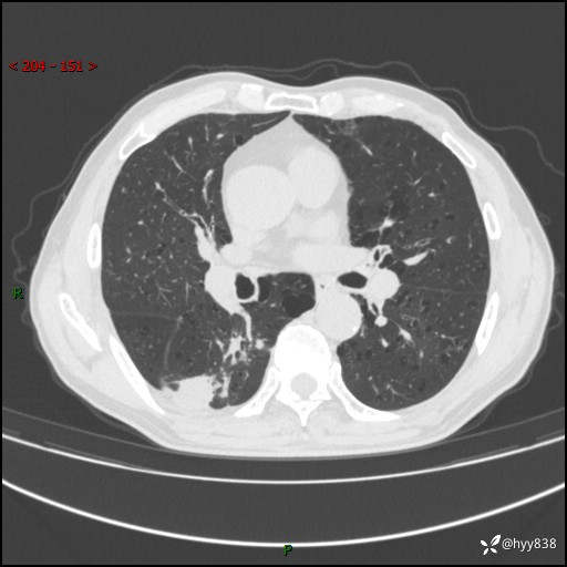
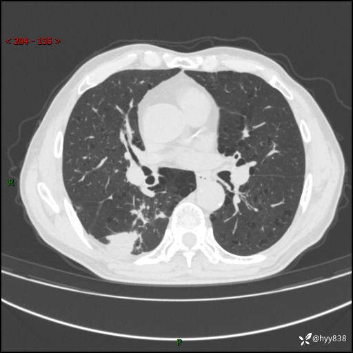
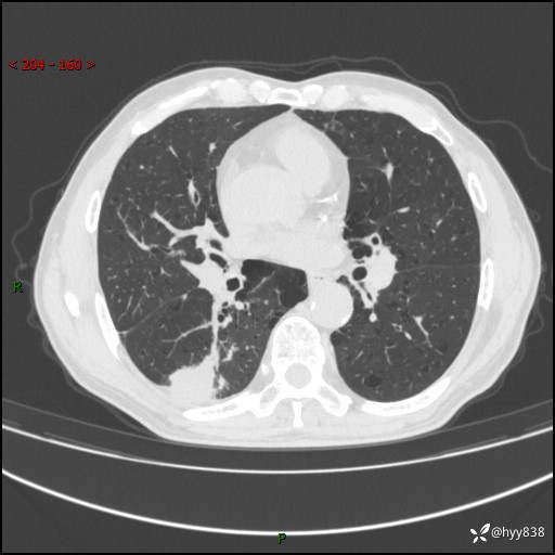
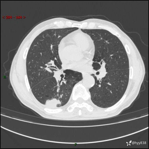
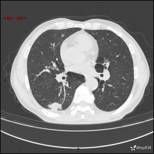
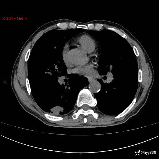
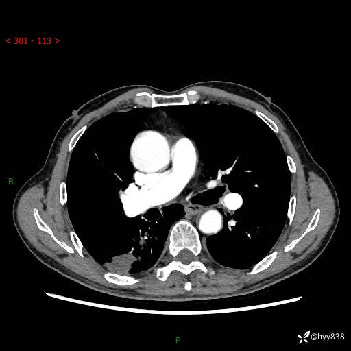
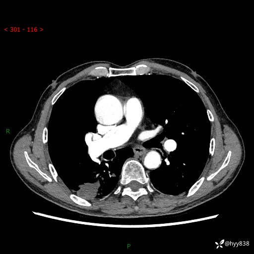
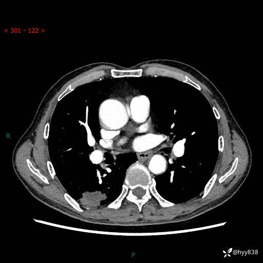
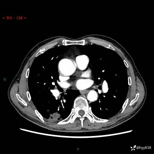
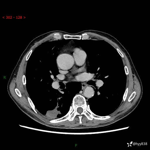
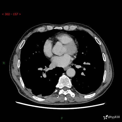
简要病史:患者3天前于我院常规体检时行胸部CT提示“右下肺结节35mm*24mm”,自觉无发热、咳嗽、咳痰,无胸痛、咯血、气促加重,无声嘶、吞咽困难,无乏力、盗汗、体重减轻等不适。为求进一步诊治,入我院求诊,门诊以“右下肺结节待查”收入我科。患者3天前于我院常规体检时行胸部CT提示“右下肺结节35mm*24mm”,自觉无发热、咳嗽、咳痰,无胸痛、咯血、气促加重,无声嘶、吞咽困难,无乏力、盗汗、体重减轻等不适。为求进一步诊治,入我院求诊,门诊以“右下肺结节待查”收入我科。 起病以来,患者精神、食欲、睡眠可,体力稍差,大小便正常,体重无明显变化。
体格检查:(-)
辅助检查:CT
临床诊断:肺结节
治疗经过:---
讨论:病变性质?
胸部CT平扫









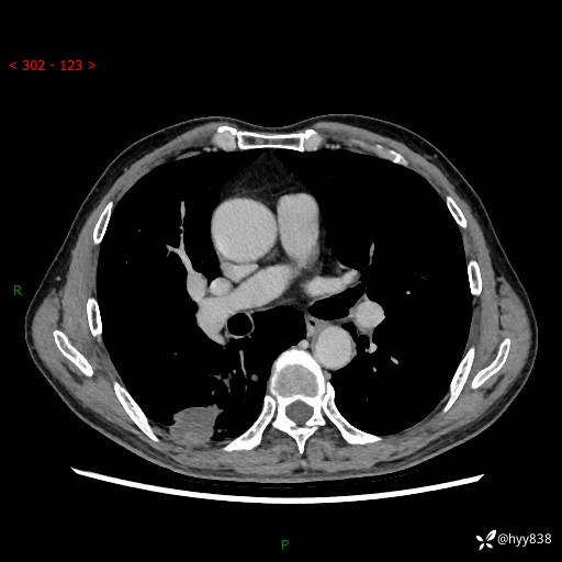
增强


























































