dxy logo
首页丁香园病例库全部版块
搜索
登录

老年男性,外院提示脑膜瘤。把握细节,提升诊断正确率---(有结果)

影像核医学版版主 · 发布于 2024-02-21 · IP 湖北湖北
3277 浏览
推荐、达人点赞 2 项荣誉
这个帖子发布于 1 年零 277 天前,其中的信息可能已发生改变或有所发展。

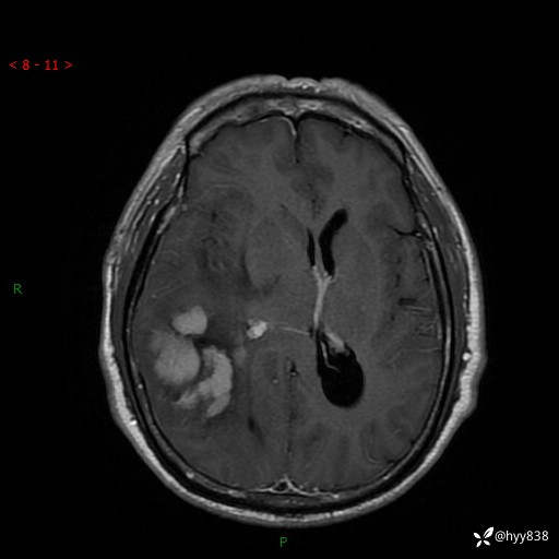
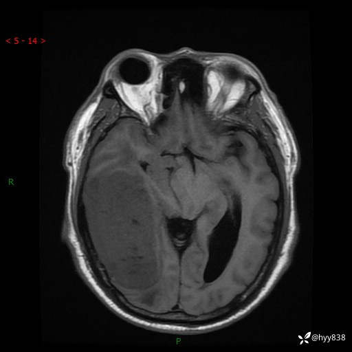
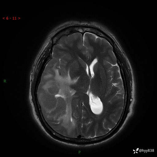
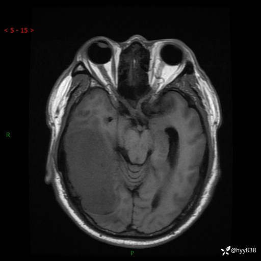
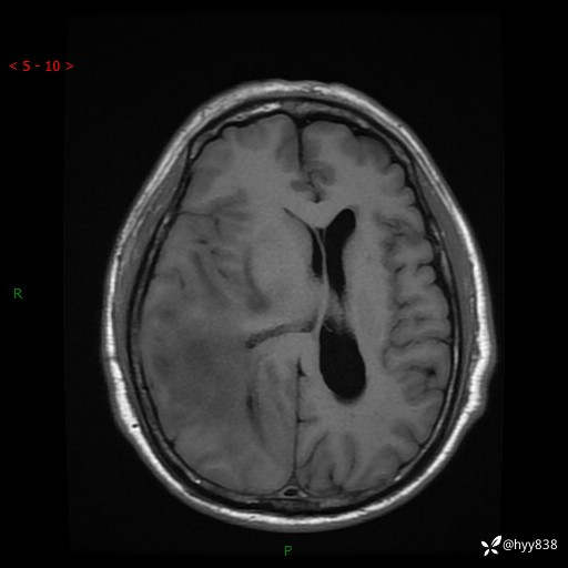
患者性别:男

患者年龄:56岁

简要病史:外院CT提示脑膜瘤,为进一步诊治来我院

体格检查:(-)

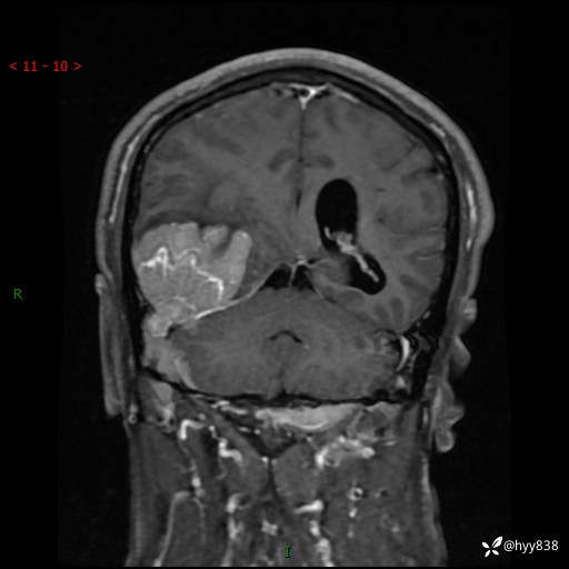
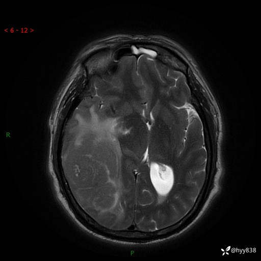
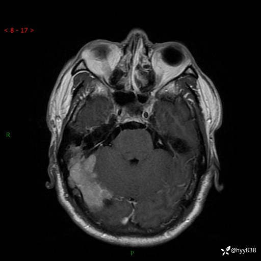
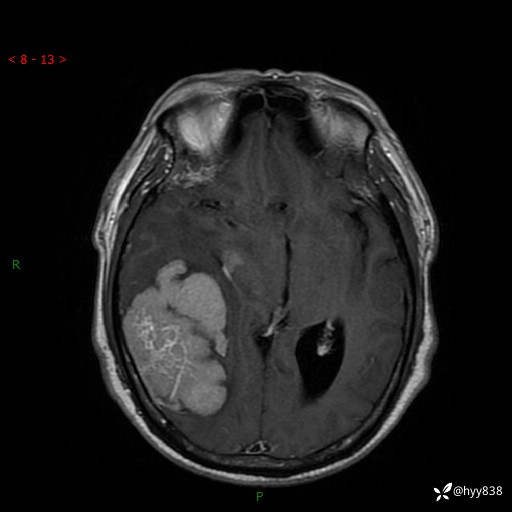
辅助检查:MRI

临床诊断:颅脑占位

治疗经过:手术

讨论:病变性质?

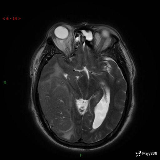
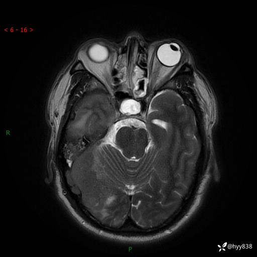
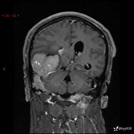
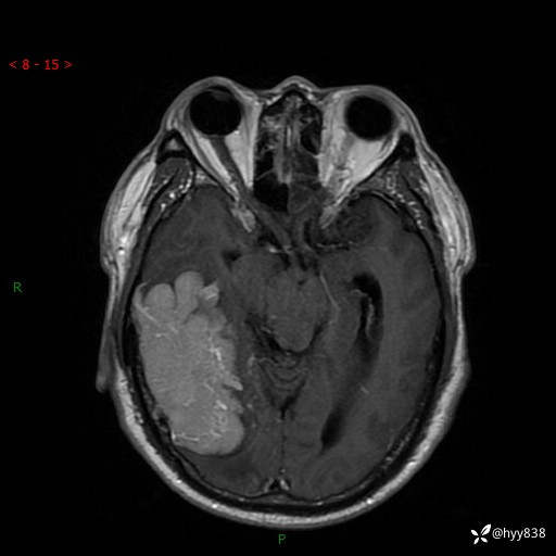
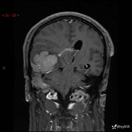
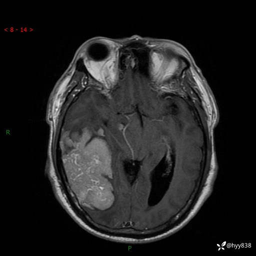
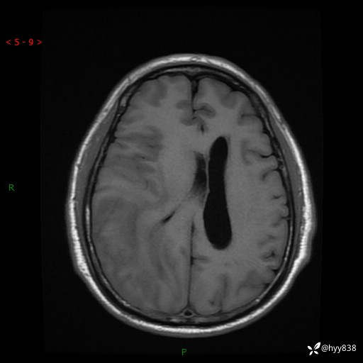
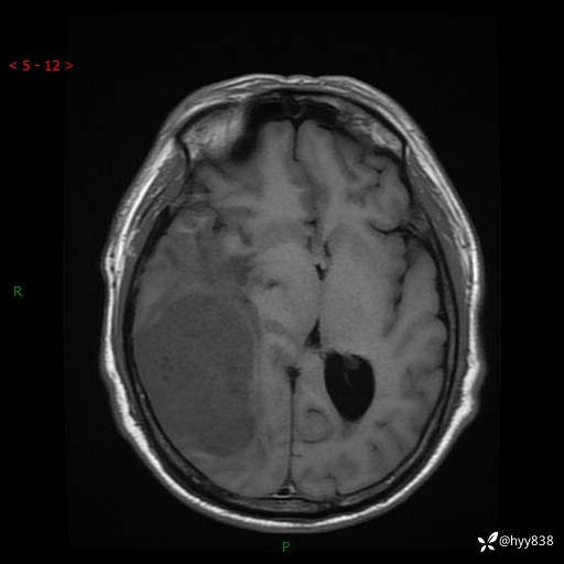
颅脑MRI平扫+增强

img
img
img
img
img
img
img
img
img
img
img
img
img
img
img
img
img
img
img
img
img
img
img
脑膜瘤 (78)
脑膜孤立性纤维性肿瘤/血管外皮瘤 (1)
单发性纤维性肿瘤 (39)
纠错
53 15 22
同行评议(0)
已评议
不开通精选
开通精选
精选已授权,待上线
评议结果暂未公布
参与评议
去邀请
NaN
病例完整NaN
临床实用NaN
诊疗科学NaN
学术价值NaN

全部讨论(0)

默认最新
avatar
53
分享帖子
share-weibo分享到微博
share-weibo分享到微信
认证
返回顶部