【面颈】特别精彩病例|颈部疼痛3个月,颈部占位期待您的精彩解读!
呱呱叫了 达人已点赞病例信息
患者性别:男
患者年龄:43岁
主诉:颈部疼痛3个月
现病史:患者3个月前低头工作后感颈部疼痛,隐痛,活动颈部后稍好转,无上肢麻木不适,无肢体活动障碍,无头晕头痛,3个月来疼痛反复发作
实验室检查:(-)
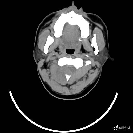
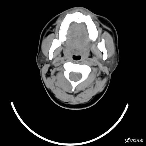
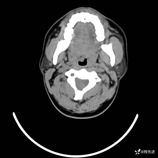
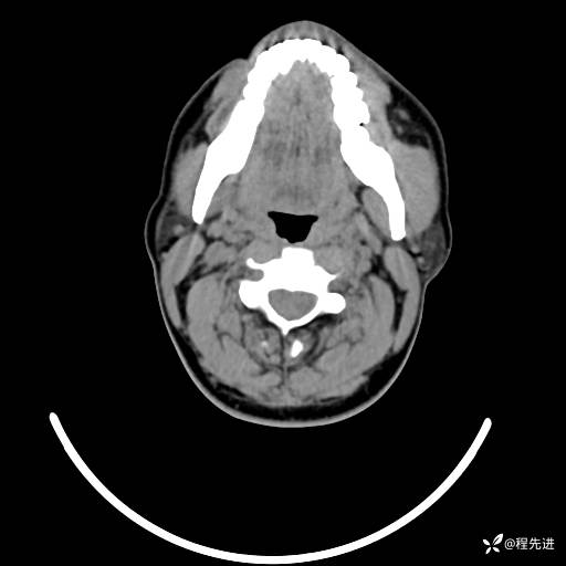
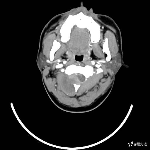
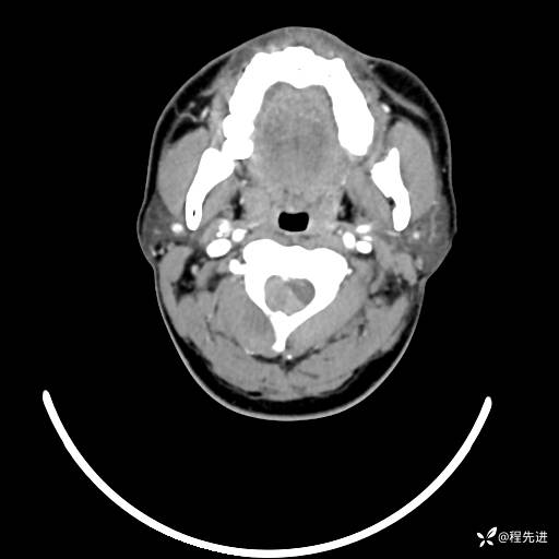
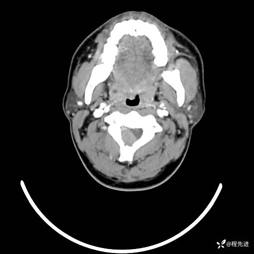
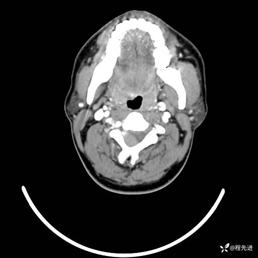
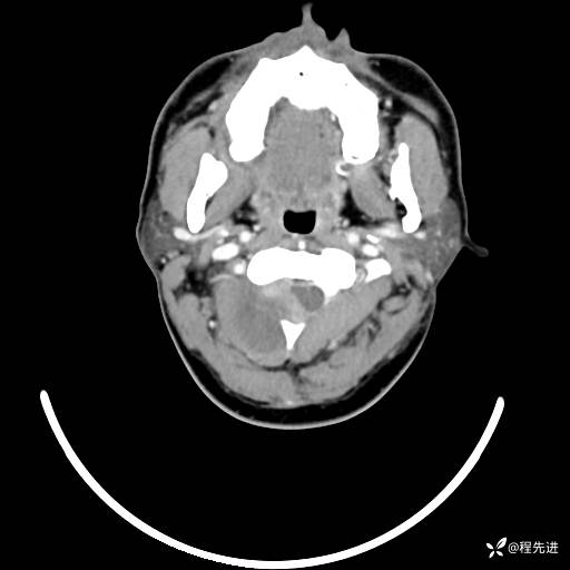
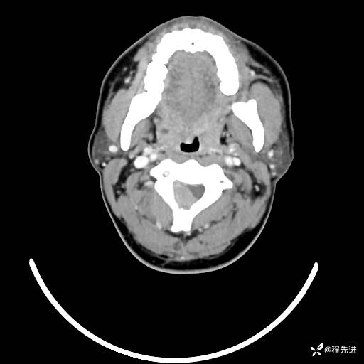
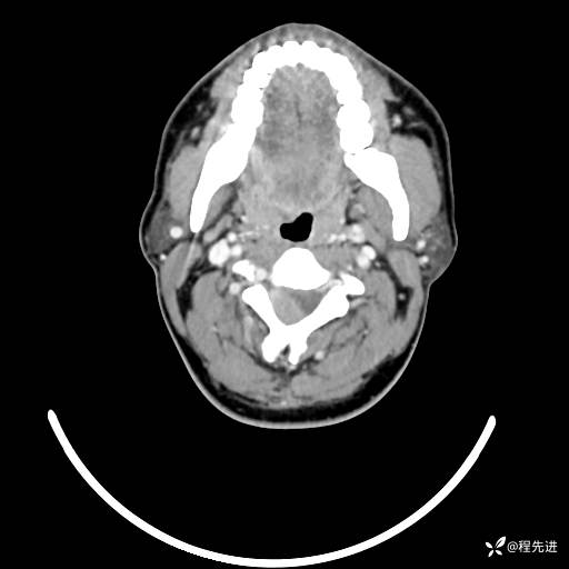
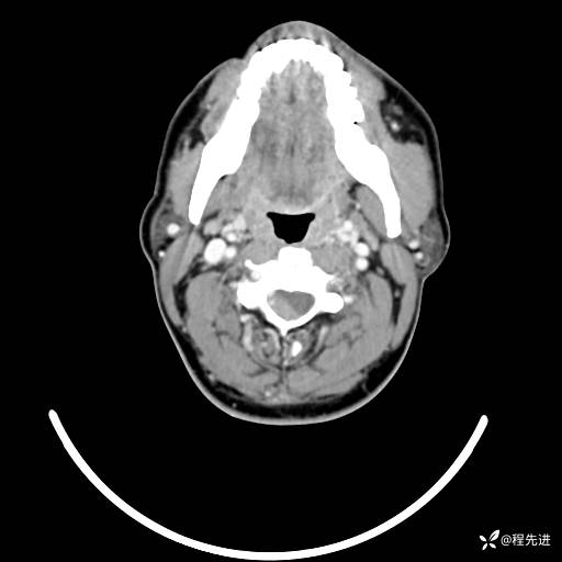
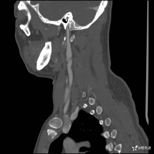
CT平扫+增强:







































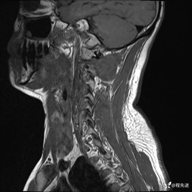
MRI平扫+增强:
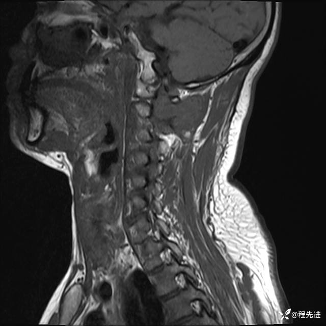
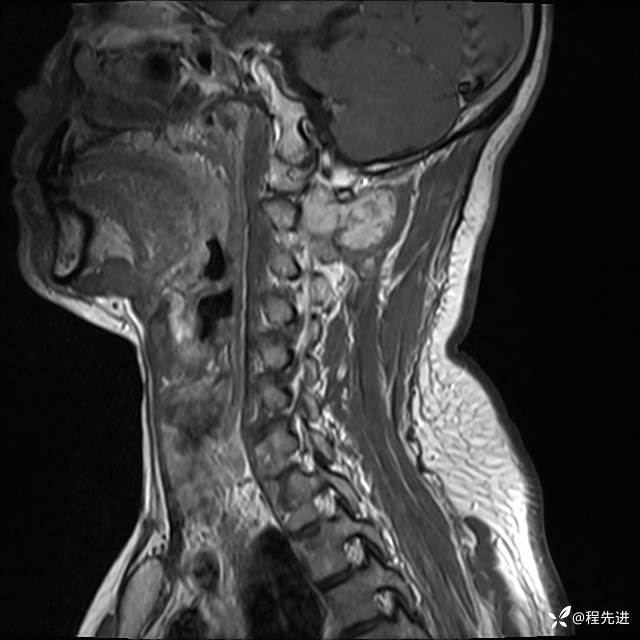
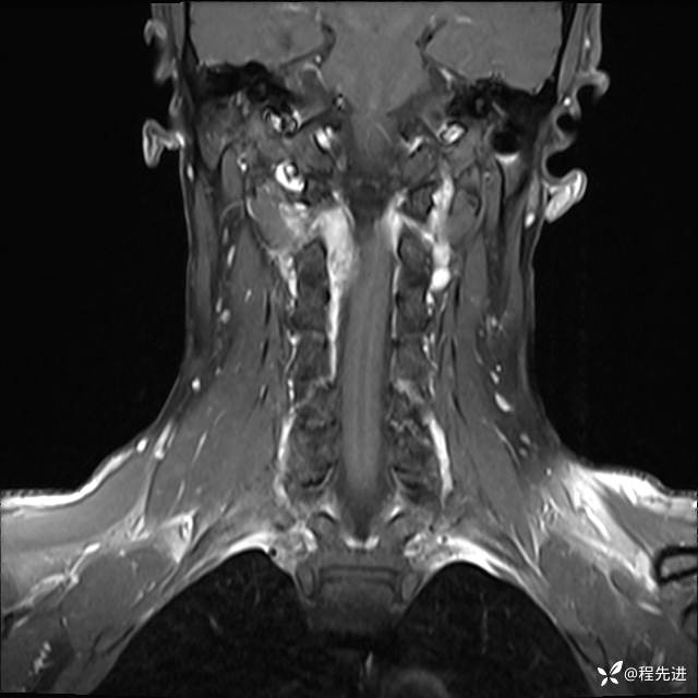
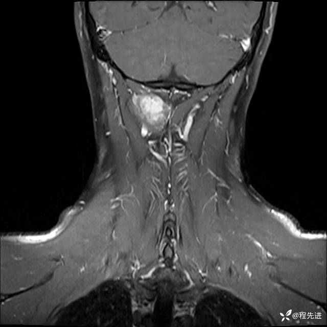
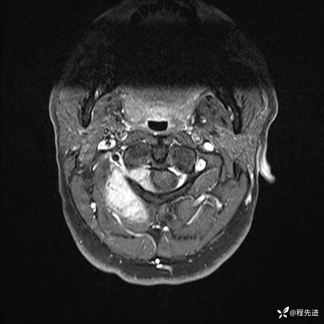
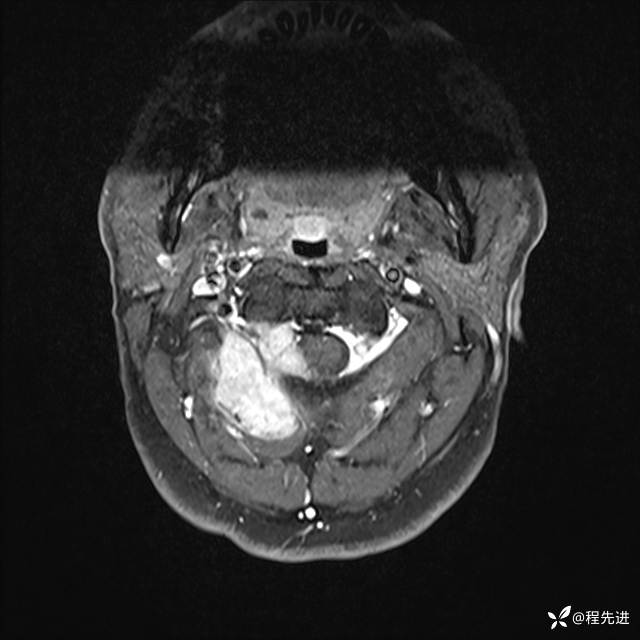
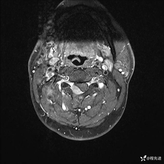
T2:






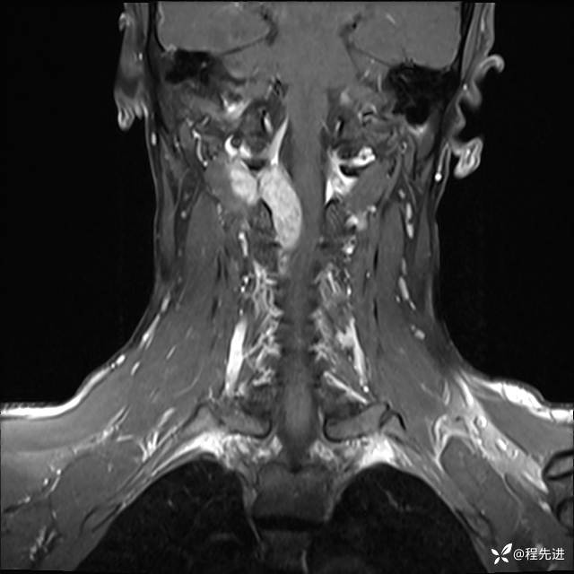
T1:






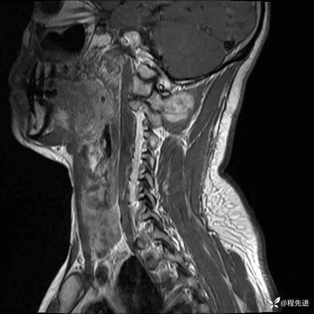
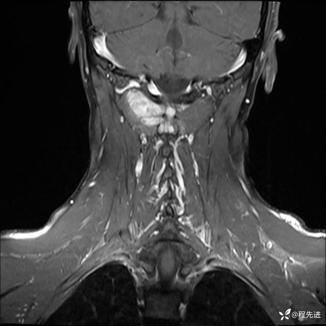
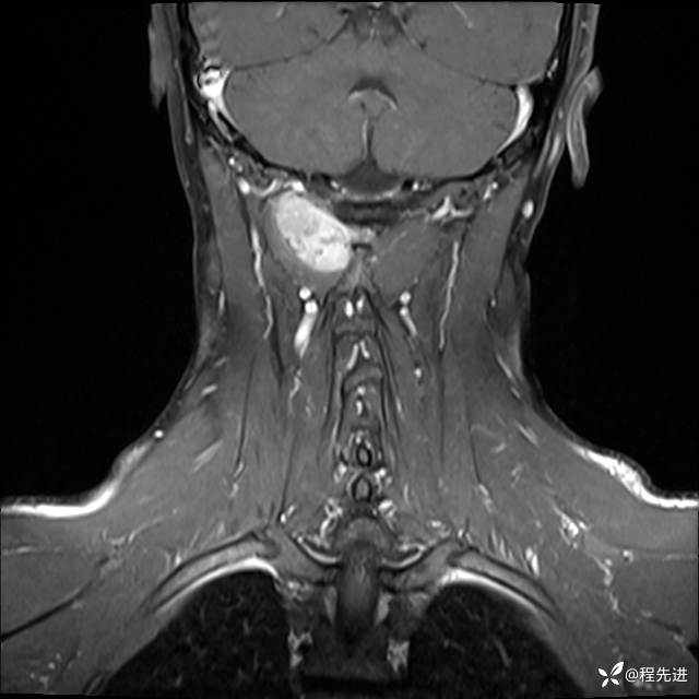
T1增强:






















期待您的点赞支持!
期待您的精彩解读!
呱呱叫了 达人已点赞病例信息
患者性别:男
患者年龄:43岁
主诉:颈部疼痛3个月
现病史:患者3个月前低头工作后感颈部疼痛,隐痛,活动颈部后稍好转,无上肢麻木不适,无肢体活动障碍,无头晕头痛,3个月来疼痛反复发作
实验室检查:(-)
CT平扫+增强:







































MRI平扫+增强:
T2:






T1:






T1增强:






















期待您的点赞支持!
期待您的精彩解读!
