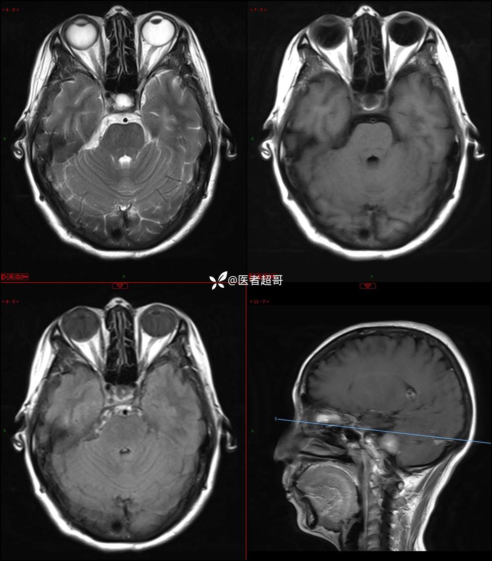
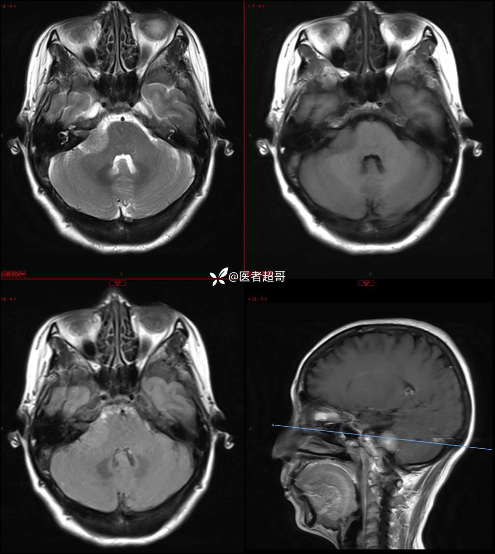
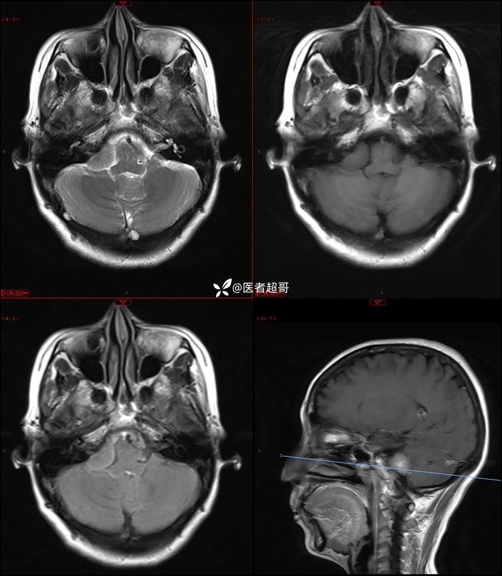
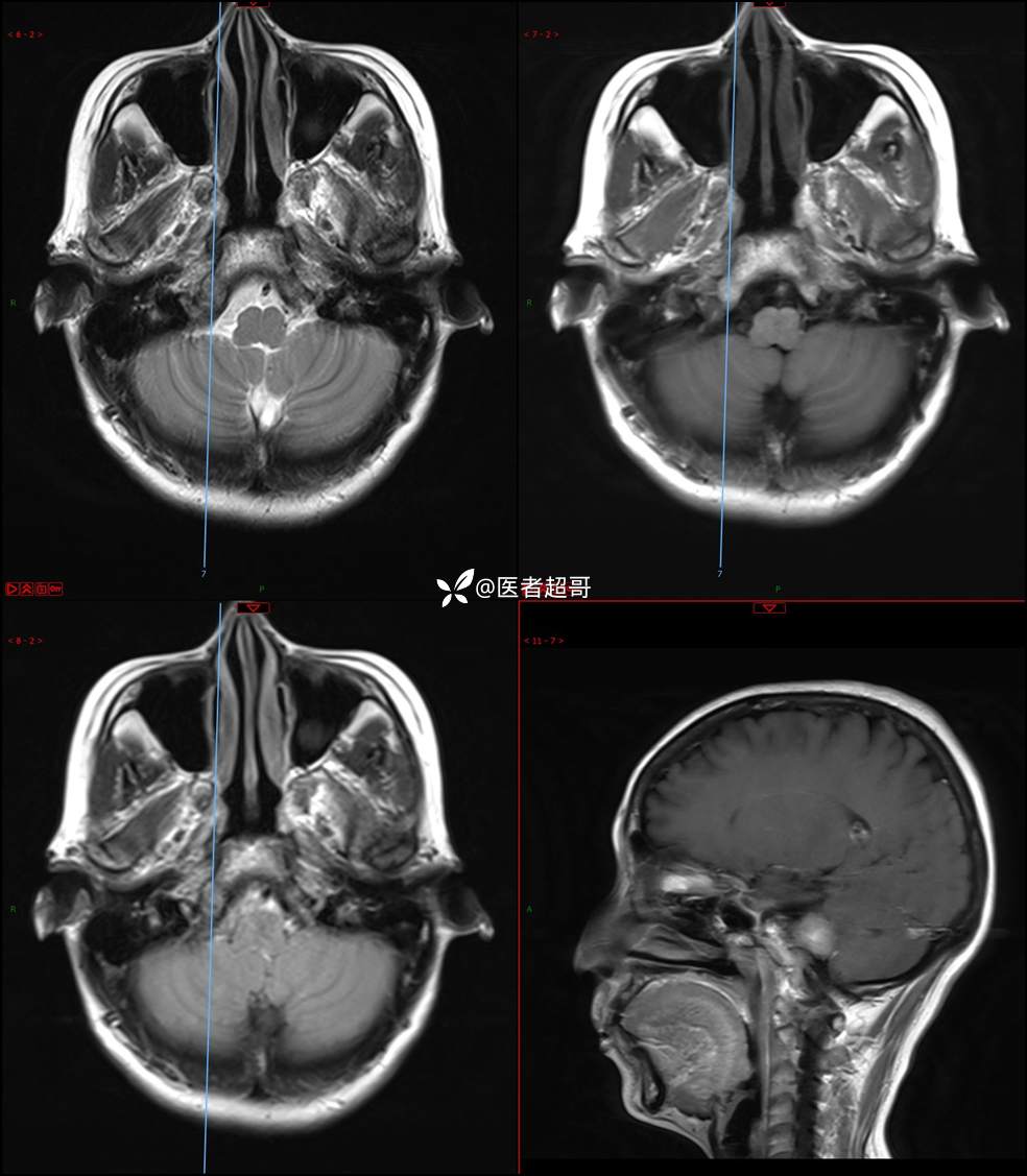
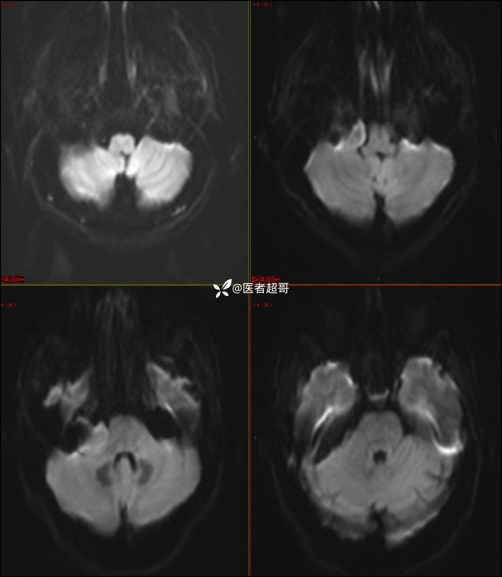
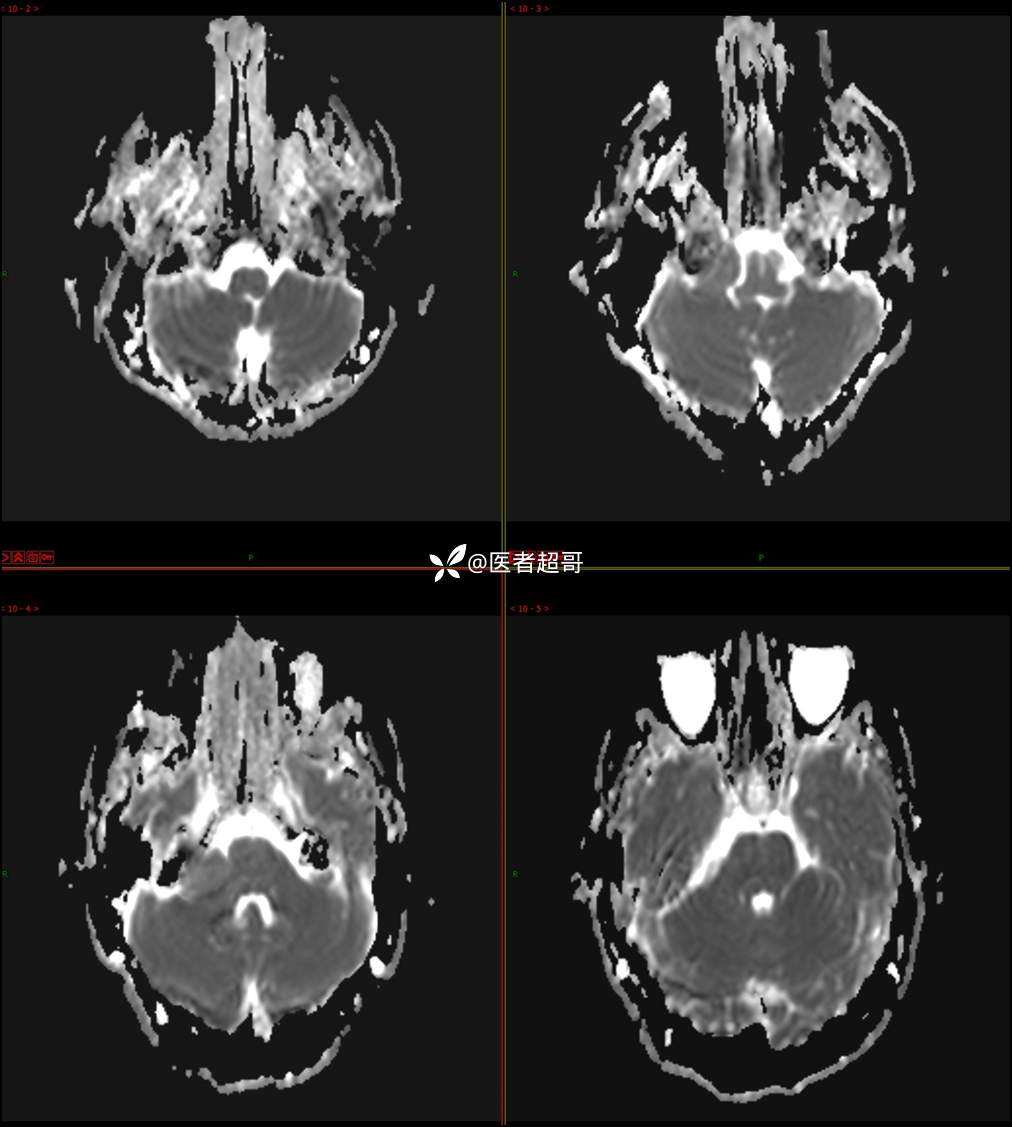
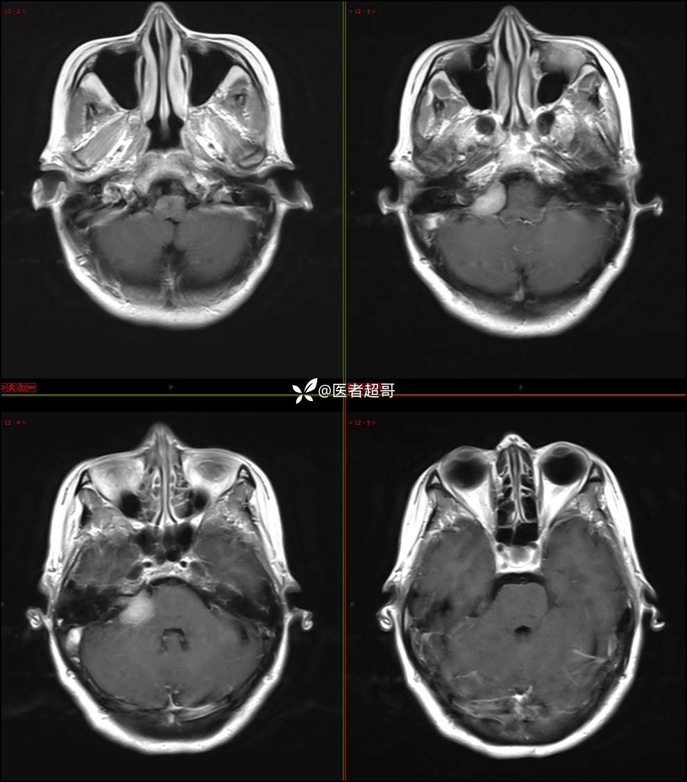
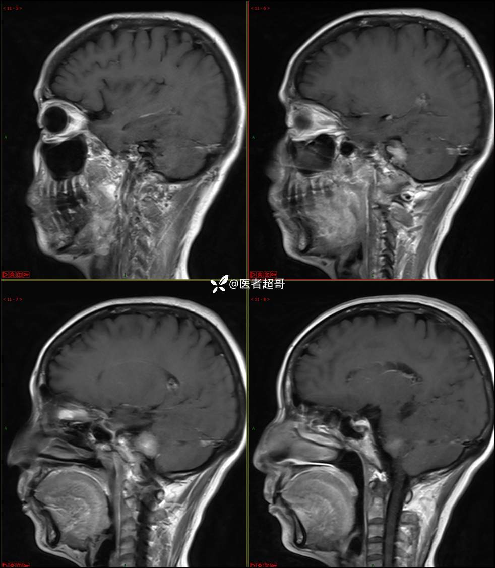
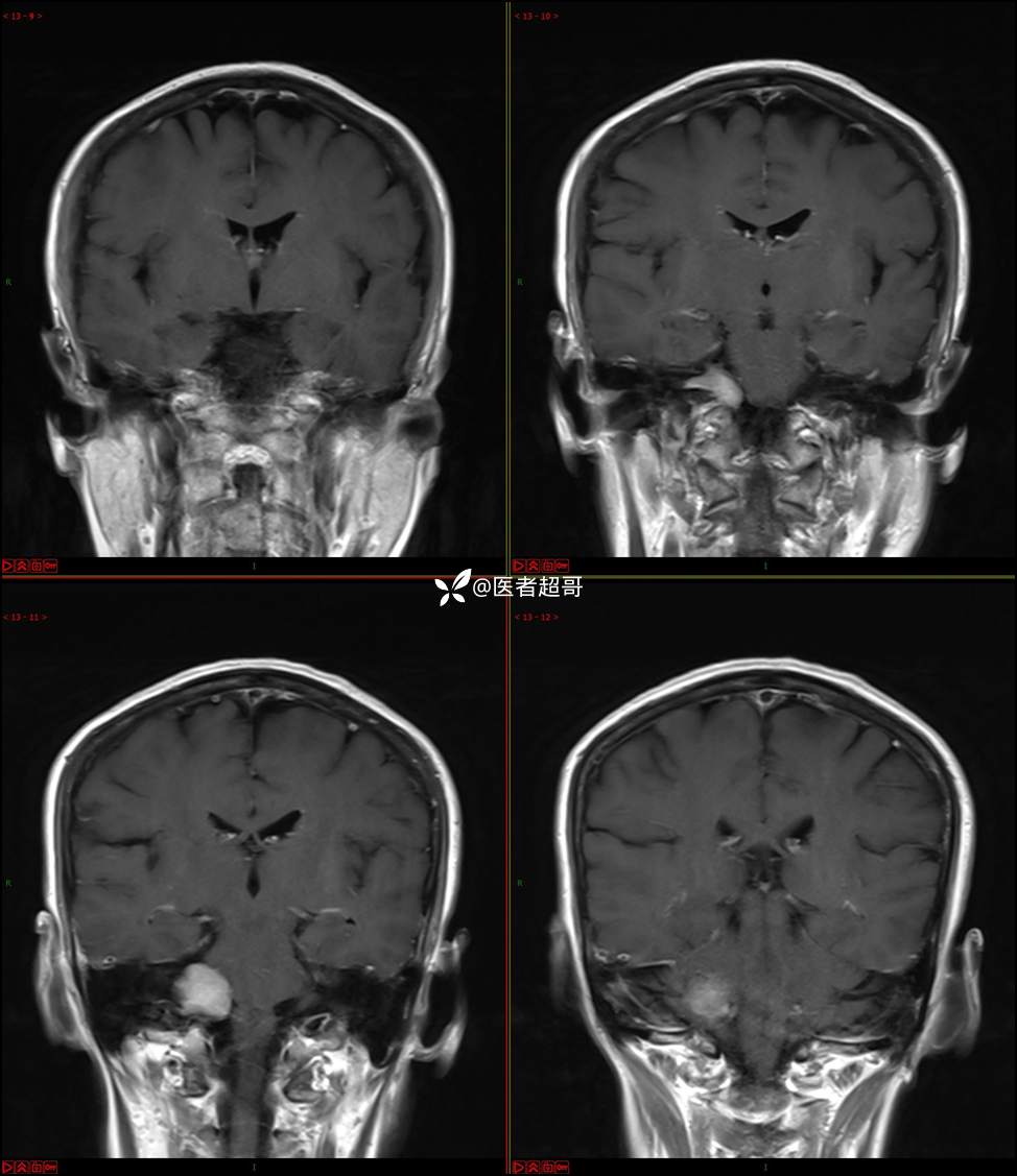
CPA区占位,是鞘瘤?脑膜瘤?请赏析!
F 54Y
主 诉:耳鸣3年,头晕伴恶心4天。
现病史:患者3年前出现耳鸣,蝉鸣音,反复发作,夜间自觉明显,于2018年8月至我院耳鼻喉科就诊,行颅脑CT检查未发现明显异常改变,给予对症处理(具体不详);4天前突发头晕,伴明显恶心,至市人民医院就诊,行颅脑CT未见明显异常,颅脑MRI发现右侧桥脑小脑角区占位性病变。本次发病来无明显头痛,无肢体抽动,无大小便失禁。为求进一步诊治,遂来我院门诊,以“听神经良性肿瘤”收住入院。发病来,患者神志清,精神可,二便正常,饮食可,睡眠不佳,近期体重无明显变化,否认癫痫发作病史。
既往史:既往无特殊。


























































